Suppr超能文献

一例源自脐尿管的黏液腺癌病例的管理

The Management of a Case With Mucin-Producing Adenocarcinoma Originating From the Urachus.

作者信息

Angelopoulos Panagiotis, Kapsalos-Dedes Sotirios, Manolitsis Ioannis, Katsimperis Stamatios, Bellos Themistoklis, Kyriazis Ioannis, Neofytou Panagiotis, Tzelves Lazaros, Berdempes Marinos, Skolarikos Andreas

机构信息

Urology, Second Department of Urology, National and Kapodistrian University of Athens, Sismanogleio General Hospital, Athens, GRC.

Urology, Second Department of Urology, National and Kapodistrian University of Athens, Athens, GRC.

出版信息

Cureus. 2024 Jan 16;16(1):e52376. doi: 10.7759/cureus.52376. eCollection 2024 Jan.

Abstract

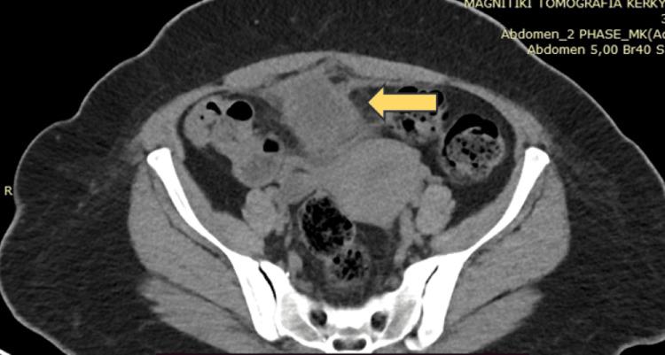
Urachal cancer is a rare and aggressive type of cancer, frequently characterized by a lack of prominent symptoms. We herein report a case of a 50-year-old female with mucin-producing adenocarcinoma originating from the urachus who underwent partial cystectomy and the patient remains disease-free for 30 months after treatment.

摘要

脐尿管癌是一种罕见且侵袭性强的癌症,通常表现为缺乏明显症状。我们在此报告一例50岁女性,患有起源于脐尿管的黏液腺癌,接受了部分膀胱切除术,治疗后患者已无病生存30个月。

https://cdn.ncbi.nlm.nih.gov/pmc/blobs/7cd2/10868626/2dac19de7289/cureus-0016-00000052376-i01.jpg

文献AI研究员

20分钟写一篇综述,助力文献阅读效率提升50倍。

立即体验

用中文搜PubMed

大模型驱动的PubMed中文搜索引擎

马上搜索

文档翻译

学术文献翻译模型,支持多种主流文档格式。

立即体验