• 文献检索
  • 文档翻译
  • 深度研究
  • 学术资讯
  • Suppr Zotero 插件Zotero 插件
  • 邀请有礼
  • 套餐&价格
  • 历史记录
应用&插件
Suppr Zotero 插件Zotero 插件浏览器插件Mac 客户端Windows 客户端微信小程序
定价
高级版会员购买积分包购买API积分包
服务
文献检索文档翻译深度研究API 文档MCP 服务
关于我们
关于 Suppr公司介绍联系我们用户协议隐私条款
关注我们

Suppr 超能文献

核心技术专利:CN118964589B侵权必究
粤ICP备2023148730 号-1Suppr @ 2026

文献检索

告别复杂PubMed语法,用中文像聊天一样搜索,搜遍4000万医学文献。AI智能推荐,让科研检索更轻松。

立即免费搜索

文件翻译

保留排版,准确专业,支持PDF/Word/PPT等文件格式,支持 12+语言互译。

免费翻译文档

深度研究

AI帮你快速写综述,25分钟生成高质量综述,智能提取关键信息,辅助科研写作。

立即免费体验

多发性硬化症的诊断:诊断标准有哪些变化?

The diagnosis of multiple sclerosis: what has changed in diagnostic criteria?

作者信息

Jankowska Anna, Chwojnicki Kamil, Szurowska Edyta

机构信息

2 Department of Radiology, Medical University of Gdańsk, Poland.

Department of Anaesthesiology and Intensive Care, Medical University of Gdańsk, Poland.

出版信息

Pol J Radiol. 2023 Dec 12;88:e574-e581. doi: 10.5114/pjr.2023.133677. eCollection 2023.

DOI:10.5114/pjr.2023.133677
PMID:38362016
原文链接:https://pmc.ncbi.nlm.nih.gov/articles/PMC10867947/
Abstract

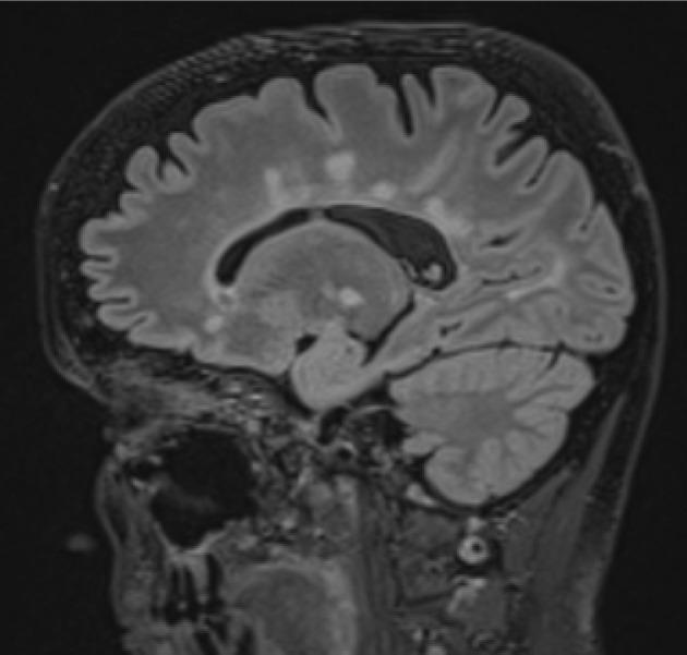
Multiple sclerosis (MS) is a chronic, demyelinating disease affecting the central nervous system. Diagnosis of MS is based on the proof of disease dissemination in time (DIT) and dissemination in space (DIS) and excluding other disorders that can mimic multiple sclerosis in laboratory tests and clinical manifestation. Over the years the diagnostic criteria have evolved; the introduction of magnetic resonance in the McDonald's 2001 criteria was revolutionary. Since then, the criteria have been modified up to the currently used McDonald 2017. The aim of this review is to analyse the 2017 McDonald criteria, assess what has changed from the 2010 criteria, and present the impact of revised criteria on rapid and accurate diagnosis of MS. The main differences are as follows: inclusion of oligoclonal bands in cerebrospinal fluid as a DIT criterion, and symptomatic and cortical lesions in magnetic resonance imaging are counted in the determination of DIS and DIT. We present also the newest recommendations of the Polish Medical Society of Radiology and the Polish Society of Neurology and international group of North American Imaging in Multiple Sclerosis and Consortium of Multiple Sclerosis Centers, as well as future directions for further investigations. A proper diagnosis is crucial for the patient's quality of life, to give the possibility of early treatment, and to help avoid misdiagnosis and unnecessary therapy.

摘要

多发性硬化症(MS)是一种影响中枢神经系统的慢性脱髓鞘疾病。MS的诊断基于疾病时间上的播散(DIT)和空间上的播散(DIS)的证据,并在实验室检查和临床表现中排除其他可模拟多发性硬化症的疾病。多年来,诊断标准不断演变;2001年麦克唐纳标准中引入磁共振成像具有革命性意义。从那时起,该标准不断修订,直至目前使用的2017年麦克唐纳标准。本综述的目的是分析2017年麦克唐纳标准,评估与2010年标准相比有哪些变化,并阐述修订后的标准对MS快速准确诊断的影响。主要差异如下:将脑脊液中的寡克隆带纳入作为DIT标准,磁共振成像中的症状性和皮质病变在DIS和DIT的判定中予以计数。我们还介绍了波兰放射医学学会、波兰神经病学学会以及北美多发性硬化症影像学国际组和多发性硬化症中心联盟的最新建议,以及进一步研究的未来方向。正确的诊断对于患者的生活质量、给予早期治疗的可能性以及帮助避免误诊和不必要的治疗至关重要。

https://cdn.ncbi.nlm.nih.gov/pmc/blobs/88f4/10867947/0b23e3de7ada/PJR-88-52041-g002.jpg
https://cdn.ncbi.nlm.nih.gov/pmc/blobs/88f4/10867947/99693b6ff277/PJR-88-52041-g001.jpg
https://cdn.ncbi.nlm.nih.gov/pmc/blobs/88f4/10867947/0b23e3de7ada/PJR-88-52041-g002.jpg
https://cdn.ncbi.nlm.nih.gov/pmc/blobs/88f4/10867947/99693b6ff277/PJR-88-52041-g001.jpg
https://cdn.ncbi.nlm.nih.gov/pmc/blobs/88f4/10867947/0b23e3de7ada/PJR-88-52041-g002.jpg

相似文献

1
The diagnosis of multiple sclerosis: what has changed in diagnostic criteria?多发性硬化症的诊断:诊断标准有哪些变化?
Pol J Radiol. 2023 Dec 12;88:e574-e581. doi: 10.5114/pjr.2023.133677. eCollection 2023.
2
Prediction of a multiple sclerosis diagnosis in patients with clinically isolated syndrome using the 2016 MAGNIMS and 2010 McDonald criteria: a retrospective study.采用 2016 年 MAGNIMS 和 2010 年 McDonald 标准预测临床孤立综合征患者的多发性硬化症诊断:一项回顾性研究。
Lancet Neurol. 2018 Feb;17(2):133-142. doi: 10.1016/S1474-4422(17)30469-6. Epub 2017 Dec 21.
3
Revised diagnostic criteria of multiple sclerosis.多发性硬化症的修订诊断标准。
Autoimmun Rev. 2014 Apr-May;13(4-5):518-24. doi: 10.1016/j.autrev.2014.01.012. Epub 2014 Jan 12.
4
Recommendations of the Polish Medical Society of Radiology and the Polish Society of Neurology for a protocol concerning routinely used magnetic resonance imaging in patients with multiple sclerosis.波兰放射医学学会和波兰神经病学学会关于多发性硬化症患者常规磁共振成像协议的建议。
Neurol Neurochir Pol. 2020;54(5):410-415. doi: 10.5603/PJNNS.a2020.0084. Epub 2020 Oct 21.
5
[Diagnosis of multiple sclerosis: A review of the 2017 revisions of the McDonald criteria].[多发性硬化症的诊断:2017年麦克唐纳标准修订版综述]
Ideggyogy Sz. 2018 Sep 30;71(9-10):321-329. doi: 10.18071/isz.71.0321.
6
Early predictors of multiple sclerosis after a typical clinically isolated syndrome.典型临床孤立综合征后多发性硬化的早期预测因素
Mult Scler. 2014 Nov;20(13):1721-6. doi: 10.1177/1352458514533397. Epub 2014 May 19.
7
Performance of the 2017 and 2010 Revised McDonald Criteria in Predicting MS Diagnosis After a Clinically Isolated Syndrome: A MAGNIMS Study.2017 年和 2010 年修订的 McDonald 标准在预测临床孤立综合征后 MS 诊断中的表现:MAGNIMS 研究。
Neurology. 2022 Jan 4;98(1):e1-e14. doi: 10.1212/WNL.0000000000013016. Epub 2021 Oct 29.
8
Impact of the McDonald Criteria 2017 on Early Diagnosis of Relapsing-Remitting Multiple Sclerosis.2017年麦克唐纳标准对复发缓解型多发性硬化症早期诊断的影响
Front Neurol. 2019 Mar 15;10:188. doi: 10.3389/fneur.2019.00188. eCollection 2019.
9
Improved performance of the 2017 McDonald criteria for diagnosis of multiple sclerosis in children in a real-life cohort.2017 年 McDonald 标准在真实队列儿童多发性硬化症诊断中的性能改善。
Mult Scler. 2020 Oct;26(11):1372-1380. doi: 10.1177/1352458519863781. Epub 2019 Jul 18.
10
Primary progressive multiple sclerosis diagnostic criteria: a reappraisal.原发性进行性多发性硬化症的诊断标准:再评价。
Mult Scler. 2009 Dec;15(12):1459-65. doi: 10.1177/1352458509348422. Epub 2009 Dec 7.

引用本文的文献

1
The Utility of Intravoxel Incoherent Motion Metrics in Assessing Disability in Relapsing-Remitting Multiple Sclerosis.体素内不相干运动指标在评估复发缓解型多发性硬化症残疾程度中的应用
Diagnostics (Basel). 2025 Aug 21;15(16):2113. doi: 10.3390/diagnostics15162113.
2
Physiotherapy for Sexual Dysfunctions in Multiple Sclerosis Patients: A Review of Clinical Trials.多发性硬化症患者性功能障碍的物理治疗:临床试验综述
J Clin Med. 2025 May 16;14(10):3509. doi: 10.3390/jcm14103509.
3
Investigating the Role of Intravoxel Incoherent Motion Diffusion-Weighted Imaging in Evaluating Multiple Sclerosis Lesions.

本文引用的文献

1
Choroid Plexus Volume Change-A Candidate for a New Radiological Marker of MS Progression.脉络丛体积变化——多发性硬化症进展新影像学标志物的候选指标
Diagnostics (Basel). 2023 Aug 14;13(16):2668. doi: 10.3390/diagnostics13162668.
2
Present and future of the diagnostic work-up of multiple sclerosis: the imaging perspective.多发性硬化症的诊断工作现状和未来:影像学视角。
J Neurol. 2023 Mar;270(3):1286-1299. doi: 10.1007/s00415-022-11488-y. Epub 2022 Nov 24.
3
Lesion size and shape in central vein sign assessment for multiple sclerosis diagnosis: An in vivo and postmortem MRI study.
体素内不相干运动扩散加权成像在评估多发性硬化症病灶中的作用研究
Diagnostics (Basel). 2025 May 15;15(10):1260. doi: 10.3390/diagnostics15101260.
基于体内和死后 MRI 研究的多发性硬化症诊断中中央静脉征的病灶大小和形状评估。
Mult Scler. 2022 Oct;28(12):1891-1902. doi: 10.1177/13524585221097560. Epub 2022 Jun 8.
4
Oligoclonal bands: clinical utility and interpretation cues.寡克隆带:临床应用和解读线索。
Crit Rev Clin Lab Sci. 2022 Sep;59(6):391-404. doi: 10.1080/10408363.2022.2039591. Epub 2022 Mar 11.
5
Performance of the 2017 and 2010 Revised McDonald Criteria in Predicting MS Diagnosis After a Clinically Isolated Syndrome: A MAGNIMS Study.2017 年和 2010 年修订的 McDonald 标准在预测临床孤立综合征后 MS 诊断中的表现:MAGNIMS 研究。
Neurology. 2022 Jan 4;98(1):e1-e14. doi: 10.1212/WNL.0000000000013016. Epub 2021 Oct 29.
6
Cerebrospinal fluid oligoclonal immunoglobulin gamma bands and long-term disability progression in multiple sclerosis: a retrospective cohort study.脑脊髓液寡克隆免疫球蛋白γ带与多发性硬化症的长期残疾进展:一项回顾性队列研究。
Sci Rep. 2021 Jul 22;11(1):14987. doi: 10.1038/s41598-021-94423-x.
7
2021 MAGNIMS-CMSC-NAIMS consensus recommendations on the use of MRI in patients with multiple sclerosis.2021 年 MAGNIMS-CMSC-NAIMS 关于多发性硬化症患者使用 MRI 的共识建议。
Lancet Neurol. 2021 Aug;20(8):653-670. doi: 10.1016/S1474-4422(21)00095-8. Epub 2021 Jun 14.
8
Deep grey matter injury in multiple sclerosis: a NAIMS consensus statement.多发性硬化症的深部灰质损伤:NAIMS 共识声明。
Brain. 2021 Aug 17;144(7):1974-1984. doi: 10.1093/brain/awab132.
9
The Use of the Central Vein Sign in the Diagnosis of Multiple Sclerosis: A Systematic Review and Meta-analysis.中心静脉征在多发性硬化症诊断中的应用:一项系统评价和荟萃分析
Diagnostics (Basel). 2020 Nov 29;10(12):1025. doi: 10.3390/diagnostics10121025.
10
Recommendations of the Polish Medical Society of Radiology and the Polish Society of Neurology for a protocol concerning routinely used magnetic resonance imaging in patients with multiple sclerosis.波兰放射医学学会和波兰神经病学学会关于多发性硬化症患者常规磁共振成像协议的建议。
Neurol Neurochir Pol. 2020;54(5):410-415. doi: 10.5603/PJNNS.a2020.0084. Epub 2020 Oct 21.