Hepatobiliary Center, Key Laboratory of Liver Transplantation, The First Affiliated Hospital of Nanjing Medical University, Chinese Academy of Medical Sciences, NHC Key Laboratory of Living Donor Liver Transplantation (Nanjing Medical University), Nanjing, Jiangsu Province, China.
Wuxi People's Hospital, Wuxi Medical Center, The Affiliated Wuxi People's Hospital of Nanjing Medical University, Nanjing Medical University, Wuxi, Jiangsu Province, China.
Mol Cancer. 2024 Feb 17;23(1):35. doi: 10.1186/s12943-024-01950-y.
circular RNAs (circRNAs) have been reported to exert important effects in the progression of numerous cancers. However, the functions of circRNAs in intrahepatic cholangiocarcinoma (ICC) are still unclear.
circPCNXL2 (has_circ_0016956) were identified in paired ICC by circRNA microarray. Then, we assessed the biological functions of circPCNXL2 by CCK8, EdU, clone formation, transwell, wound healing assays, and xenograft models. RNA pull-down, mass spectrometry, and RNA immunoprecipitation (RIP) were applied to explore the interaction between cirrcPCNXL2 and serine-threonine kinase receptor-associated protein (STRAP). RNA pull-down, RIP and luciferase reporter assays were used to investigate the sponge functions of circPCNXL2. In the end, we explore the effects of circPCNXL2 and trametinib (a MEK1/2 inhibitor) in vivo.
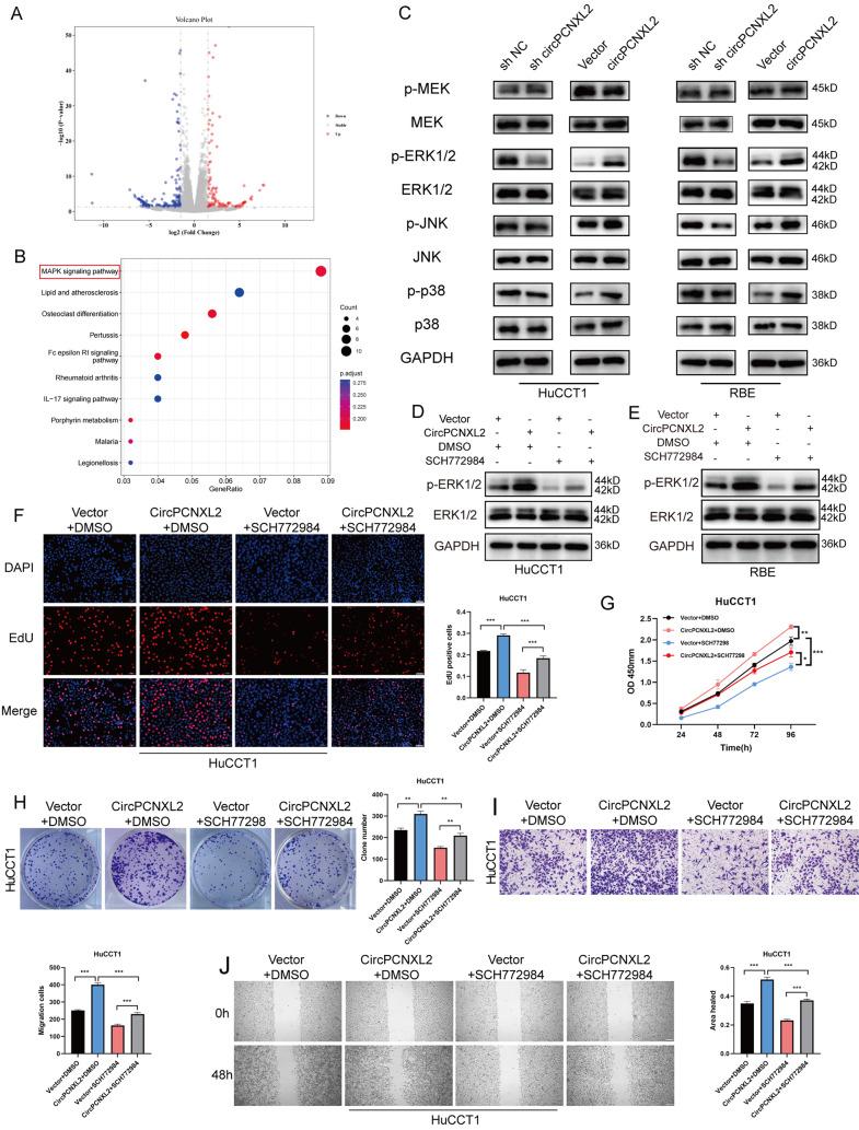
circPCNXL2 was upregulated in ICC tissues and cell lines, which promoted the proliferation and metastasis of ICC in vitro and in vivo. In terms of the mechanisms, circPCNXL2 could directly bind to STRAP and induce the interaction between STRAP and MEK1/2, resulting in the tumor promotion in ICC by activation of ERK/MAPK pathways. Besides, circPCNXL2 could regulate the expression of SRSF1 by sponging miR-766-3p and subsequently facilitated the growth of ICC. Finally, circPCNXL2 could partially inhibit the anti-tumor activity of trametinib in vivo.
circPCNXL2 played a crucial role in the progression of ICC by interacting with STRAP to activate the ERK signaling pathway, as well as by modulating the miR-766-3p/SRSF1 axis. These findings suggest that circPCNXL2 may be a promising biomarker and therapeutic target for ICC.
环状 RNA(circRNAs)已被报道在多种癌症的进展中发挥重要作用。然而,circRNAs 在肝内胆管癌(ICC)中的功能仍不清楚。
通过 circRNA 微阵列在配对的 ICC 中鉴定 circPCNXL2(has_circ_0016956)。然后,我们通过 CCK8、EdU、克隆形成、transwell、划痕愈合实验和异种移植模型评估 circPCNXL2 的生物学功能。应用 RNA 下拉、质谱和 RNA 免疫沉淀(RIP)来探索 cirrcPCNXL2 与丝氨酸-苏氨酸激酶受体相关蛋白(STRAP)之间的相互作用。RNA 下拉、RIP 和荧光素酶报告基因实验用于研究 circPCNXL2 的海绵功能。最后,我们在体内探索 circPCNXL2 和 trametinib(一种 MEK1/2 抑制剂)的作用。
circPCNXL2 在 ICC 组织和细胞系中上调,促进了 ICC 在体外和体内的增殖和转移。就机制而言,circPCNXL2 可以直接与 STRAP 结合,并诱导 STRAP 和 MEK1/2 之间的相互作用,通过激活 ERK/MAPK 通路促进 ICC 的肿瘤发生。此外,circPCNXL2 可以通过海绵 miR-766-3p 来调节 SRSF1 的表达,从而促进 ICC 的生长。最后,circPCNXL2 可以在体内部分抑制 trametinib 的抗肿瘤活性。
circPCNXL2 通过与 STRAP 相互作用激活 ERK 信号通路,以及通过调节 miR-766-3p/SRSF1 轴,在 ICC 的进展中发挥关键作用。这些发现表明,circPCNXL2 可能是 ICC 有前途的生物标志物和治疗靶点。