Suppr超能文献

肝移植术中并发血管空气栓塞和心脏内血栓形成:一例报告。

Intraoperative vascular air embolism and intracardiac thrombosis complicating liver transplantation: a case report.

机构信息

Department of Critical Care, Mayo Clinic, 4500 San Pablo Road, Jacksonville, FL, USA.

Department of Anesthesiology, Mayo Clinic, Jacksonville, FL, USA.

出版信息

J Med Case Rep. 2024 Feb 18;18(1):59. doi: 10.1186/s13256-024-04376-8.

Abstract

BACKGROUND

Intracardiac thrombus and vascular air embolism represent rare complications in the context of orthotopic liver transplantation. While isolated reports exist for intracardiac thrombus and vascular air embolism during orthotopic liver transplantation, this report presents the first documentation of their simultaneous occurrence in this surgical setting.

CASE PRESENTATION

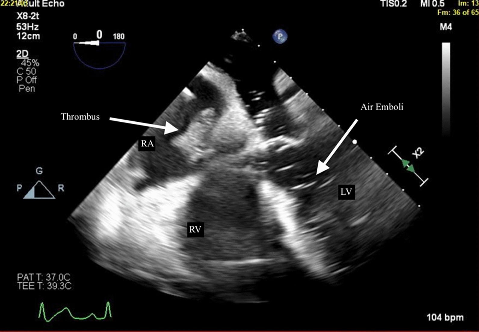
This case report outlines the clinical course of a 60-year-old white female patient with end-stage liver disease complicated by portal hypertension, ascites, and hepatocellular carcinoma. The patient underwent orthotopic liver transplantation and encountered concurrent intraoperative complications involving intracardiac thrombus and vascular air embolism. Transesophageal echocardiography revealed the presence of air in the left ventricle and a thrombus in the right atrium and ventricle. Successful management ensued, incorporating hemodynamic support, anticoagulation, and thrombolytic therapy, culminating in the patient's discharge after a week.

CONCLUSIONS

This report highlights the potential for simultaneous intraoperative complications during orthotopic liver transplantation, manifesting at any phase of the surgery. It underscores the critical importance of vigilant monitoring throughout orthotopic liver transplantation to promptly identify and effectively address these rare yet potentially catastrophic complications.

摘要

背景

在原位肝移植中,心内血栓和血管空气栓塞是罕见的并发症。虽然有关于原位肝移植中心内血栓和血管空气栓塞的孤立报告,但本报告首次记录了它们在这种手术环境中同时发生的情况。

病例介绍

本病例报告概述了一位 60 岁白人女性患者的临床病程,该患者患有终末期肝病,伴有门静脉高压、腹水和肝细胞癌。该患者接受了原位肝移植,并在术中遇到了涉及心内血栓和血管空气栓塞的同时性并发症。经食管超声心动图显示左心室存在空气,右心房和心室存在血栓。通过血流动力学支持、抗凝和溶栓治疗成功进行了管理,患者在一周后出院。

结论

本报告强调了原位肝移植过程中可能同时发生并发症的情况,这些并发症可能在手术的任何阶段出现。它强调了在整个原位肝移植过程中进行警惕监测的重要性,以便及时识别和有效地处理这些罕见但潜在灾难性的并发症。

https://cdn.ncbi.nlm.nih.gov/pmc/blobs/8d19/10874554/5103c8c4f1aa/13256_2024_4376_Fig1_HTML.jpg

文献AI研究员

20分钟写一篇综述,助力文献阅读效率提升50倍。

立即体验

用中文搜PubMed

大模型驱动的PubMed中文搜索引擎

马上搜索

文档翻译

学术文献翻译模型,支持多种主流文档格式。

立即体验