Suppr超能文献

黄色肉芽肿性和气肿性肾盂肾炎:发生于一侧肾脏的两种罕见病症。

Xanthogranulomatous and Emphysematous Pyelonephritis: Two Rare Entities Occurring in One Kidney.

作者信息

Alberts Vincent, Delbare Felix, Leenknegt Benjamin

机构信息

Ziekenhuis Oost-Limburg, Genk, Belgium.

AZ Sint-Lucas, Ghent, Belgium.

出版信息

J Belg Soc Radiol. 2024 Feb 14;108(1):16. doi: 10.5334/jbsr.3424. eCollection 2024.

Abstract

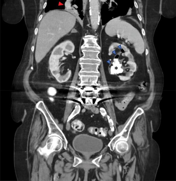
Both xanthogranulomatous and emphysematous pyelonephritis are severe renal inflammatory disorders, occurring simultaneously in extremely rare cases.

摘要

黄色肉芽肿性肾盂肾炎和气肿性肾盂肾炎均为严重的肾脏炎症性疾病,在极为罕见的情况下会同时发生。

https://cdn.ncbi.nlm.nih.gov/pmc/blobs/631b/10870945/68cb5dc460f7/jbsr-108-1-3424-g1.jpg

文献AI研究员

20分钟写一篇综述,助力文献阅读效率提升50倍。

立即体验

用中文搜PubMed

大模型驱动的PubMed中文搜索引擎

马上搜索

文档翻译

学术文献翻译模型,支持多种主流文档格式。

立即体验