• 文献检索
  • 文档翻译
  • 深度研究
  • 学术资讯
  • Suppr Zotero 插件Zotero 插件
  • 邀请有礼
  • 套餐&价格
  • 历史记录
应用&插件
Suppr Zotero 插件Zotero 插件浏览器插件Mac 客户端Windows 客户端微信小程序
定价
高级版会员购买积分包购买API积分包
服务
文献检索文档翻译深度研究API 文档MCP 服务
关于我们
关于 Suppr公司介绍联系我们用户协议隐私条款
关注我们

Suppr 超能文献

核心技术专利:CN118964589B侵权必究
粤ICP备2023148730 号-1Suppr @ 2026

文献检索

告别复杂PubMed语法,用中文像聊天一样搜索,搜遍4000万医学文献。AI智能推荐,让科研检索更轻松。

立即免费搜索

文件翻译

保留排版,准确专业,支持PDF/Word/PPT等文件格式,支持 12+语言互译。

免费翻译文档

深度研究

AI帮你快速写综述,25分钟生成高质量综述,智能提取关键信息,辅助科研写作。

立即免费体验

黄色肉芽肿性肾盂肾炎合并气肿性肾盂肾炎:一例罕见病例报告。

Xanthogranulomatous pyelonephritis combined with emphysematous pyelonephritis: A rare case report.

作者信息

Moudi Emadoddin, Darzi Mohammadmehdi, Ramzani Sepehr, Akbarzadeh Pasha Abazar

机构信息

Department of Urology, Babol University of Medical Sciences, Babol, Iran.

Cancer Research Center, Health Research Institute, Babol University of Medical Sciences, Babol, Iran.

出版信息

Caspian J Intern Med. 2021;12(Suppl 2):S505-S508. doi: 10.22088/cjim.12.0.505.

DOI:10.22088/cjim.12.0.505
PMID:34760116
原文链接:https://pmc.ncbi.nlm.nih.gov/articles/PMC8559650/
Abstract

BACKGROUND

Xanthogranulomatous pyelonephritis (XGP) is a rare and intense type of chronic kidney infection characterized by subversion of the renal tissue and its replacement by lipid- laden macrophages. XGP combined with emphysematous pyelonephritis(EPN) is rare and up until now only 7 cases with these presentations have been reported; so abundant clinical skills and appropriate radiographic imaging is required to reach the correct diagnosis. In this report, we present a case with two uncommon variants of pyelonephritis.

CASE PRESENTATION

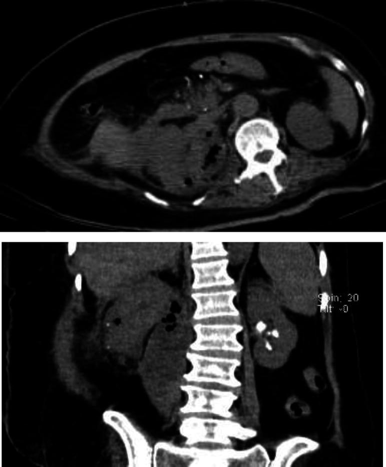
A 55-year-old female presented with a history of type 2 diabetes mellitus, and a stroke leading to a left-sided hemiplegia state for 7 years, coronary artery bypass grafting(CABG), hypertension(HTN) , seizure, progressive fatigue, loss of appetite , fecal and urinary incontinence and right costovertebral angle tenderness. According to clinical signs, symptoms and documentation of gas within the renal parenchyma on computed tomography (CT) of abdomen, of EPN diagnosis was suggested; however histopathologic evaluation showed acute emphysematous pyelonephritis on chronic xanthogranulomatous pyelonephritis.

CONCLUSION

EPN can emerge in a patient suffering from XPG which would add to the severity of the situation. In the case presented, concurrent underlying diseases such as diabetes mellitus, stroke, CABG, HTN along with severe fatigue and loss of appetite existed. Surgical treatment produces dramatic results.

摘要

背景

黄色肉芽肿性肾盂肾炎(XGP)是一种罕见且严重的慢性肾脏感染类型,其特征是肾组织被破坏并被充满脂质的巨噬细胞取代。XGP合并气肿性肾盂肾炎(EPN)很罕见,截至目前仅有7例有此类表现的病例被报道;因此需要丰富的临床技能和合适的影像学检查才能做出正确诊断。在本报告中,我们呈现了一例患有两种不常见肾盂肾炎变体的病例。

病例介绍

一名55岁女性,有2型糖尿病病史,因中风导致左侧偏瘫状态7年,曾接受冠状动脉搭桥术(CABG)、患有高血压(HTN)、癫痫,出现进行性疲劳、食欲不振、大小便失禁以及右肋脊角压痛。根据临床体征、症状以及腹部计算机断层扫描(CT)显示肾实质内有气体,提示为EPN诊断;然而组织病理学评估显示为慢性黄色肉芽肿性肾盂肾炎合并急性气肿性肾盂肾炎。

结论

EPN可出现在患有XPG的患者中,这会使病情更加严重。在本病例中,患者同时存在糖尿病、中风、CABG、HTN等基础疾病,伴有严重疲劳和食欲不振。手术治疗产生了显著效果。

https://cdn.ncbi.nlm.nih.gov/pmc/blobs/b72a/8559650/456d38a3f0cd/cjim-12-505-g002.jpg
https://cdn.ncbi.nlm.nih.gov/pmc/blobs/b72a/8559650/e45fe3a056bc/cjim-12-505-g001.jpg
https://cdn.ncbi.nlm.nih.gov/pmc/blobs/b72a/8559650/456d38a3f0cd/cjim-12-505-g002.jpg
https://cdn.ncbi.nlm.nih.gov/pmc/blobs/b72a/8559650/e45fe3a056bc/cjim-12-505-g001.jpg
https://cdn.ncbi.nlm.nih.gov/pmc/blobs/b72a/8559650/456d38a3f0cd/cjim-12-505-g002.jpg

相似文献

1
Xanthogranulomatous pyelonephritis combined with emphysematous pyelonephritis: A rare case report.黄色肉芽肿性肾盂肾炎合并气肿性肾盂肾炎:一例罕见病例报告。
Caspian J Intern Med. 2021;12(Suppl 2):S505-S508. doi: 10.22088/cjim.12.0.505.
2
Xanthogranulomatous pyelonephritis complicated by emphysematous pyelonephritis in a hemodialysis patient.一名血液透析患者发生黄色肉芽肿性肾盂肾炎并伴有气肿性肾盂肾炎。
Clin Nephrol. 2007 Dec;68(6):422-7. doi: 10.5414/cnp68422.
3
[Xanthogranulonatous pyelonephritis: report of 5 cases].[黄色肉芽肿性肾盂肾炎:5例报告]
Beijing Da Xue Xue Bao Yi Xue Ban. 2018 Aug 18;50(4):743-746.
4
Treatment of a case of emphysematous pyelonephritis that presented with acute abdomen and pneumoperitoneum: a case report.以急腹症和气腹表现的气肿性肾盂肾炎一例的治疗:病例报告
BMC Nephrol. 2015 Aug 1;16:124. doi: 10.1186/s12882-015-0125-2.
5
Xanthogranulomatous and Emphysematous Pyelonephritis: Two Rare Entities Occurring in One Kidney.黄色肉芽肿性和气肿性肾盂肾炎:发生于一侧肾脏的两种罕见病症。
J Belg Soc Radiol. 2024 Feb 14;108(1):16. doi: 10.5334/jbsr.3424. eCollection 2024.
6
Xanthogranulomatous pyelonephritis presentation in the ED: a case report.Xanthogranulomatous 肾盂肾炎在急诊科的表现:病例报告。
Am J Emerg Med. 2009 Nov;27(9):1175.e1-3. doi: 10.1016/j.ajem.2009.01.028.
7
Xanthogranulomatous pyelonephritis: a case with rare adhesion to pancreas.黄色肉芽肿性肾盂肾炎:一例与胰腺罕见粘连的病例。
CEN Case Rep. 2018 May;7(1):44-47. doi: 10.1007/s13730-017-0289-7. Epub 2017 Nov 25.
8
Massive Renal Replacement Lipomatosis With Foci of Xanthogranulomatous Pyelonephritis in a Horseshoe Kidney.马蹄肾合并大量肾替代脂肪瘤病伴黄肉芽肿性肾盂肾炎病灶
Urol Case Rep. 2017 Apr 19;13:45-47. doi: 10.1016/j.eucr.2016.10.014. eCollection 2017 Jul.
9
Xanthogranulomatous Pyelonephritis: Case Report.黄色肉芽肿性肾盂肾炎:病例报告。
J Emerg Med. 2024 Apr;66(4):e534-e537. doi: 10.1016/j.jemermed.2023.11.021. Epub 2023 Dec 5.
10
A Very Rare Case of Primary Renal Squamous Cell Carcinoma Presenting With Xanthogranulomatous Pyelonephritis on Radiological Imaging.一例极为罕见的原发性肾鳞状细胞癌,其在放射影像学上表现为黄色肉芽肿性肾盂肾炎。
Cureus. 2020 Dec 3;12(12):e11871. doi: 10.7759/cureus.11871.

本文引用的文献

1
Xanthogranulomatous Pyelonephritis.黄色肉芽肿性肾盂肾炎。
Arch Iran Med. 2016 Oct;19(10):712-714.
2
An unusual presentation of xanthogranulomatous pyelonephritis: psoas abscess with reno-colic fistula.黄色肉芽肿性肾盂肾炎的一种罕见表现:伴有肾结肠瘘的腰大肌脓肿。
Oxf Med Case Reports. 2016 Jul 27;2016(7):150-3. doi: 10.1093/omcr/omw063. eCollection 2016 Jul.
3
Analysis of 35 cases of Xanthogranulomatous pyelonephritis.35例黄色肉芽肿性肾盂肾炎的分析。
ANZ J Surg. 2015 Mar;85(3):150-3. doi: 10.1111/ans.12581. Epub 2014 Mar 25.
4
Xanthogranulomatous pyelonephritis: clinical experience with 21 cases.黄色肉芽肿性肾盂肾炎:21 例临床经验。
J Infect Chemother. 2013 Dec;19(6):1221-4. doi: 10.1007/s10156-013-0611-z. Epub 2013 May 25.
5
Xanthogranulomatous pyelonephritis: a retrospective review of 16 cases.黄色肉芽肿性肾盂肾炎:16例回顾性分析
Korean J Urol. 2011 Jun;52(6):421-4. doi: 10.4111/kju.2011.52.6.421. Epub 2011 Jun 17.
6
Xanthogranulomatous pyelonephritis.黄色肉芽肿性肾盂肾炎。
Arch Pathol Lab Med. 2011 May;135(5):671-4. doi: 10.5858/2009-0769-RSR.1.
7
Emphysematous pyelonephritis.气肿性肾盂肾炎。
BJU Int. 2011 May;107(9):1474-8. doi: 10.1111/j.1464-410X.2010.09660.x. Epub 2010 Sep 14.
8
Xanthogranulomatous pyelonephritis: clinical experience with 41 cases.黄色肉芽肿性肾盂肾炎:41例临床经验
Urology. 2008 Feb;71(2):178-80. doi: 10.1016/j.urology.2007.09.026.
9
Pyelonephritis: radiologic-pathologic review.肾盂肾炎:放射学与病理学综述
Radiographics. 2008 Jan-Feb;28(1):255-77; quiz 327-8. doi: 10.1148/rg.281075171.
10
Xanthogranulomatous pyelonephritis with a nephrocutaneous fistula.伴有肾皮肤瘘的黄色肉芽肿性肾盂肾炎
J Emerg Med. 2005 Oct;29(3):337-8. doi: 10.1016/j.jemermed.2005.01.029.