Suppr超能文献

[小儿患者左心室动脉瘤的血管内成功治疗]

[Tratamiento endovascular exitoso de aneurisma del ventrículo izquierdo en un paciente pediátrico].

作者信息

Sánchez-Escobar Isabel C, Galvis-Blanco Silvia J, Díaz-Medina Luis H, Correa-Velásquez Rafael, Lince-Varela Rafael

机构信息

Departamento de Cardiología Pediátrica, Universidad Pontificia Bolivariana, Medellín, Colombia.

Departamento de Pediatría, Universidad de Antioquia, Medellín, Colombia.

出版信息

Arch Cardiol Mex. 2024 Feb 20;94(3):292-299. doi: 10.24875/ACM.23000112.

Abstract

BACKGROUND

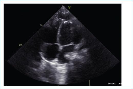
Aneurysms and diverticula of the left ventricle are rare entities in childhood, with a prevalence of less than 0.1%. Described since 1886, as a severe and potentially fatal disease if not corrected, mainly due to the presence of associated anomalies and the risk of rupture.

OBJETIVE

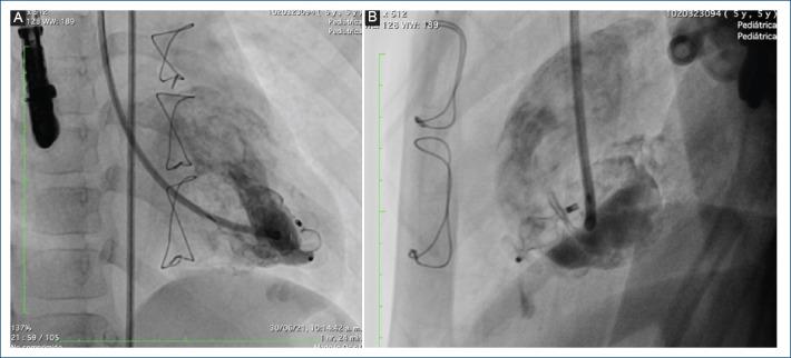
Present other management options for ventricular diverticula, different from surgical options, using alternative materials that are not used very often in daily practice.

METHOD

A detailed description of a case successfully managed with these new treatment modalities.

RESULTS

Endovascular management of the left ventricular diverticulum, diagnosed prenatally in the patient presented, was successful after initial failure with surgical management.

CONCLUSIONS

Endovascular management of ventricular diverticula, using alternative materials to those commonly used, is an attractive option with satisfactory results in these patients.

摘要

背景

左心室动脉瘤和憩室在儿童时期较为罕见,患病率低于0.1%。自1886年以来就有相关描述,若不纠正,这是一种严重且可能致命的疾病,主要是由于存在相关异常以及破裂风险。

目的

提出与手术选择不同的心室憩室管理方案,使用日常实践中不常用的替代材料。

方法

详细描述一例成功采用这些新治疗方式的病例。

结果

本文所呈现患者产前诊断出的左心室憩室,在手术治疗初次失败后,血管内治疗取得成功。

结论

使用不同于常用材料的血管内治疗心室憩室,对这些患者而言是一种具有吸引力且效果令人满意的选择。

https://cdn.ncbi.nlm.nih.gov/pmc/blobs/ca0e/11259426/0478eb791681/10125AMEX243-ACM-94-292-g001.jpg

文献AI研究员

20分钟写一篇综述,助力文献阅读效率提升50倍。

立即体验

用中文搜PubMed

大模型驱动的PubMed中文搜索引擎

马上搜索

文档翻译

学术文献翻译模型,支持多种主流文档格式。

立即体验