Suppr超能文献

右心肿瘤的多模态成像:通向准确诊断的拟议算法

Multimodality Imaging in Right Heart Tumors: Proposed Algorithm towards an Appropriate Diagnosis.

作者信息

Floria Mariana, Burlacu Alexandru, Morariu Paula Cristina, Oancea Alexandru-Florinel, Iov Diana-Elena, Baroi Genoveva Livia, Stafie Celina Silvia, Scripcariu Viorel, Tănase Daniela Maria

机构信息

Department of Internal Medicine, Faculty of Medicine, University of Medicine and Pharmacy Grigore T. Popa, 700115 Iasi, Romania.

Saint Spiridon Emergency Hospital, 700115 Iasi, Romania.

出版信息

J Clin Med. 2024 Feb 9;13(4):1000. doi: 10.3390/jcm13041000.

Abstract

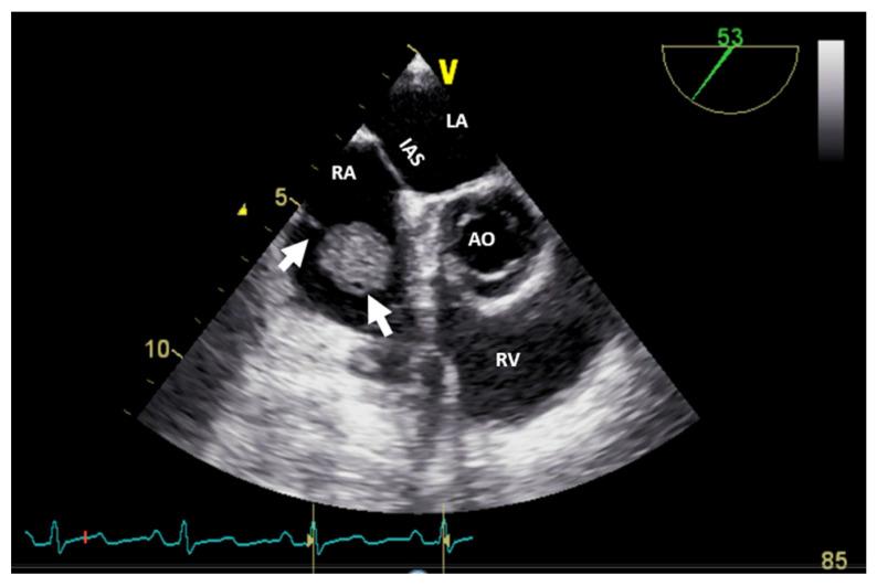
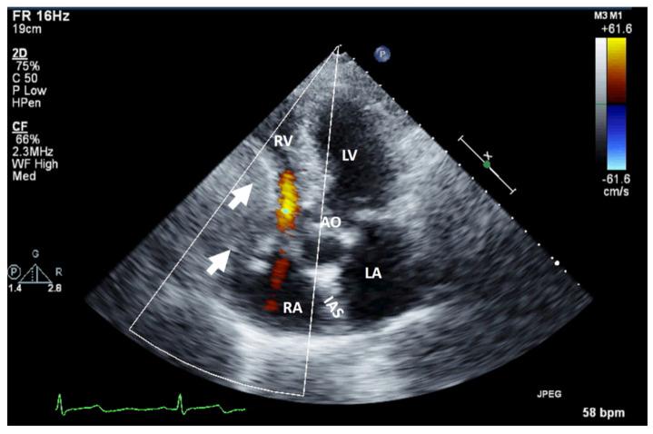
A right heart tumor can be identified by transthoracic echocardiography during a routine examination or due to cardiac symptoms. The first step is the assessment by echocardiography, with its multiple techniques, and the obtained information must be judged in a clinical and biological context. The second step comprises one, sometimes even two, of the more complex modality imaging methods. The choice is driven not only by the advantages of each imaging technique but also by local expertise or the preferred imaging modality in the center. This step is followed by staging, follow-up, and/or imaging-guided excision or biopsy, which is performed in selected cases in order to obtain anatomopathological confirmation. In the presence of features suggestive of malignancy or causing hemodynamic impairment, a transvenous biopsy is essential before the more complex imaging modalities (which are still relevant in the staging process). Using a structured imaging approach, it is possible to reach an appropriate diagnosis without a biopsy. Frequently, these imaging techniques have a complementary role, so an integrated imaging approach is recommended. This proposed algorithm for appropriate diagnosis of right heart tumors could serve as a practical guide for clinicians (not only imaging specialists).

摘要

右心肿瘤可在常规检查期间或因心脏症状通过经胸超声心动图得以识别。第一步是采用多种技术进行超声心动图评估,且必须在临床和生物学背景下对所获信息进行判断。第二步包括一种,有时甚至是两种更为复杂的影像学检查方法。其选择不仅取决于每种成像技术的优势,还取决于当地的专业水平或该中心首选的成像方式。此步骤之后是分期、随访和/或成像引导下的切除或活检,在特定病例中进行这些操作以获得解剖病理学确认。若存在提示恶性或导致血流动力学损害的特征,则在采用更复杂的成像方式(在分期过程中仍具有相关性)之前,经静脉活检至关重要。采用结构化成像方法,无需活检也有可能做出恰当诊断。这些成像技术常常具有互补作用,因此建议采用综合成像方法。这种针对右心肿瘤恰当诊断的提议算法可为临床医生(不仅是影像专家)提供实用指南。

https://cdn.ncbi.nlm.nih.gov/pmc/blobs/2397/10888584/29ddc5a06079/jcm-13-01000-g001.jpg

文献AI研究员

20分钟写一篇综述,助力文献阅读效率提升50倍。

立即体验

用中文搜PubMed

大模型驱动的PubMed中文搜索引擎

马上搜索

文档翻译

学术文献翻译模型,支持多种主流文档格式。

立即体验