Suppr超能文献

应激性心肌病的参数化心血管磁共振成像:一例报告

Parametric cardiovascular magnetic resonance imaging in takotsubo syndrome: a case report.

作者信息

Sunnasy Ritesh, Mohiaddin Raad Hashem

机构信息

Royal Brompton and Harefield Hospitals, Guy's and St Thomas' NHS Foundation Trust, Sydney Street, SW3 6NP London, UK.

National Heart and Lung Institute, Imperial College London, London, UK.

出版信息

Eur Heart J Case Rep. 2024 Jan 8;8(1):ytae016. doi: 10.1093/ehjcr/ytae016. eCollection 2024 Jan.

Abstract

BACKGROUND

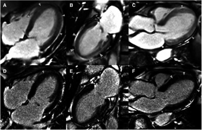
Takotsubo syndrome (TTS) causes angina with ventricular dysfunction that can mimic acute coronary syndrome. Normal coronary angiography leads to cardiovascular magnetic resonance imaging (CMR) in the diagnostic pathway. Historically, TTS was thought to be associated with the absence of late gadolinium enhancement on CMR. This case report highlights the presence of late gadolinium enhancement in a case of TTS while demonstrating the other characteristic findings, including quantitative parametric T/T mapping.

CASE SUMMARY

A 69-year-old lady was admitted with chest pain and shortness of breath. She was found to have classical TTS with the characteristic wall motion abnormalities on echocardiogram, left ventricular angiogram, and CMR. Her CMR also demonstrated strongly positive myocardial T/T mapping that matched the wall motion abnormalities and the less frequently described positive early and late gadolinium enhancement.

DISCUSSION

This case highlights the diagnostic pathway in TTS and the ability of CMR to make a diagnosis in myocardial infarction with non-obstructed coronary arteries. We describe the characteristic cardiac imaging features of TTS while discussing the positive late gadolinium enhancement patterns that may help confirm the diagnosis.

摘要

背景

应激性心肌病(TTS)可导致伴有心室功能障碍的心绞痛,其表现可酷似急性冠状动脉综合征。正常的冠状动脉造影检查会促使在诊断流程中进行心血管磁共振成像(CMR)检查。以往认为,TTS与CMR检查时无延迟钆增强有关。本病例报告着重介绍了一例TTS患者存在延迟钆增强的情况,同时展示了其他特征性表现,包括定量参数T/T映射。

病例摘要

一名69岁女性因胸痛和气短入院。经超声心动图、左心室血管造影和CMR检查,发现她患有典型的TTS,伴有特征性的室壁运动异常。她的CMR检查还显示心肌T/T映射呈强阳性,与室壁运动异常相符,且有较少被描述的早期和延迟钆增强阳性表现。

讨论

本病例突出了TTS的诊断流程以及CMR对无阻塞性冠状动脉的心肌梗死进行诊断的能力。我们描述了TTS的特征性心脏影像学表现,同时讨论了可能有助于确诊的延迟钆增强阳性模式。

https://cdn.ncbi.nlm.nih.gov/pmc/blobs/c688/10903182/a16e1b2e729d/ytae016il2.jpg

文献检索

告别复杂PubMed语法,用中文像聊天一样搜索,搜遍4000万医学文献。AI智能推荐,让科研检索更轻松。

立即免费搜索

文件翻译

保留排版,准确专业,支持PDF/Word/PPT等文件格式,支持 12+语言互译。

免费翻译文档

深度研究

AI帮你快速写综述,25分钟生成高质量综述,智能提取关键信息,辅助科研写作。

立即免费体验