• 文献检索
  • 文档翻译
  • 深度研究
  • 学术资讯
  • Suppr Zotero 插件Zotero 插件
  • 邀请有礼
  • 套餐&价格
  • 历史记录
应用&插件
Suppr Zotero 插件Zotero 插件浏览器插件Mac 客户端Windows 客户端微信小程序
定价
高级版会员购买积分包购买API积分包
服务
文献检索文档翻译深度研究API 文档MCP 服务
关于我们
关于 Suppr公司介绍联系我们用户协议隐私条款
关注我们

Suppr 超能文献

核心技术专利:CN118964589B侵权必究
粤ICP备2023148730 号-1Suppr @ 2026

文献检索

告别复杂PubMed语法,用中文像聊天一样搜索,搜遍4000万医学文献。AI智能推荐,让科研检索更轻松。

立即免费搜索

文件翻译

保留排版,准确专业,支持PDF/Word/PPT等文件格式,支持 12+语言互译。

免费翻译文档

深度研究

AI帮你快速写综述,25分钟生成高质量综述,智能提取关键信息,辅助科研写作。

立即免费体验

齐默尔曼-拉班德综合征相关的遗传性牙龈纤维瘤病

Zimmermann-Laband syndrome-associated hereditary gingival fibromatosis.

作者信息

Kshirsagar Jaishree Tukaram, Dharani Kalaiselvan, Thangavel Priyangha

机构信息

Department of Periodontology, Tamil Nadu Government Dental College and Hospital, Chennai, Tamil Nadu, India.

出版信息

J Indian Soc Periodontol. 2023 Nov-Dec;27(6):645-650. doi: 10.4103/jisp.jisp_582_22. Epub 2024 Jan 24.

DOI:10.4103/jisp.jisp_582_22
PMID:38434504
原文链接:https://pmc.ncbi.nlm.nih.gov/articles/PMC10906793/
Abstract

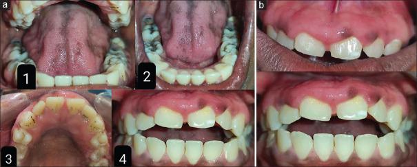
Hereditary gingival fibromatosis (HGF) is an uncommon slow-growing fibrous overgrowth characterized by connective tissue accumulation. It presents as an isolated feature or as a manifestation of any syndrome. Various syndromes associated with HGF are inherited by autosomal dominant/recessive/X-linked traits. Zimmermann-Laband syndrome (ZLS) is a rare, autosomal dominant inherited disease manifested with gingival fibromatosis (GF), nose and ears abnormalities, and hypoplastic/dysplastic nails or terminal phalanges of hand and feet. Although the pattern of inheritance was found to be both autosomal dominant and recessive traits, the molecular basis is still unclear. This report presents a possible case of ZLS-associated HGF in a 25-year-old female patient who presents with GF, hypertrichosis, and other syndrome-related features. Her father was similarly affected whereas her mother and sibling were asymptomatic. The patient and her family members were explained about the condition and surgical periodontal therapy was carried out for the patient to improve esthetics and was followed up regularly. Esthetics was significantly improved and no recurrence was noted at the end of 6 months.

摘要

遗传性牙龈纤维瘤病(HGF)是一种罕见的、生长缓慢的纤维组织过度增生疾病,其特征为结缔组织堆积。它可表现为一种孤立的症状,也可作为任何综合征的一种表现形式。与HGF相关的各种综合征通过常染色体显性/隐性/X连锁性状遗传。齐默尔曼-拉班德综合征(ZLS)是一种罕见的常染色体显性遗传病,表现为牙龈纤维瘤病(GF)、鼻和耳异常,以及手和脚的指甲或指骨发育不全/发育异常。尽管已发现其遗传模式为常染色体显性和隐性性状,但分子基础仍不清楚。本报告介绍了一名25岁女性患者可能患有与ZLS相关的HGF的病例,该患者表现为GF、多毛症及其他与综合征相关的特征。她的父亲有类似症状,而她的母亲和兄弟姐妹无症状。向患者及其家庭成员解释了病情,并对患者进行了牙周手术治疗以改善美观,并定期进行随访。6个月末时美观得到显著改善,且未观察到复发情况。

https://cdn.ncbi.nlm.nih.gov/pmc/blobs/ac9c/10906793/d8dbe18fa7bd/JISP-27-645-g008.jpg
https://cdn.ncbi.nlm.nih.gov/pmc/blobs/ac9c/10906793/45a39149d05e/JISP-27-645-g001.jpg
https://cdn.ncbi.nlm.nih.gov/pmc/blobs/ac9c/10906793/b62541007b24/JISP-27-645-g002.jpg
https://cdn.ncbi.nlm.nih.gov/pmc/blobs/ac9c/10906793/61bb972ba3e2/JISP-27-645-g003.jpg
https://cdn.ncbi.nlm.nih.gov/pmc/blobs/ac9c/10906793/05792fc68b00/JISP-27-645-g004.jpg
https://cdn.ncbi.nlm.nih.gov/pmc/blobs/ac9c/10906793/5ba33b46bc24/JISP-27-645-g005.jpg
https://cdn.ncbi.nlm.nih.gov/pmc/blobs/ac9c/10906793/a4993aa9fe0a/JISP-27-645-g006.jpg
https://cdn.ncbi.nlm.nih.gov/pmc/blobs/ac9c/10906793/19033bad49d5/JISP-27-645-g007.jpg
https://cdn.ncbi.nlm.nih.gov/pmc/blobs/ac9c/10906793/d8dbe18fa7bd/JISP-27-645-g008.jpg
https://cdn.ncbi.nlm.nih.gov/pmc/blobs/ac9c/10906793/45a39149d05e/JISP-27-645-g001.jpg
https://cdn.ncbi.nlm.nih.gov/pmc/blobs/ac9c/10906793/b62541007b24/JISP-27-645-g002.jpg
https://cdn.ncbi.nlm.nih.gov/pmc/blobs/ac9c/10906793/61bb972ba3e2/JISP-27-645-g003.jpg
https://cdn.ncbi.nlm.nih.gov/pmc/blobs/ac9c/10906793/05792fc68b00/JISP-27-645-g004.jpg
https://cdn.ncbi.nlm.nih.gov/pmc/blobs/ac9c/10906793/5ba33b46bc24/JISP-27-645-g005.jpg
https://cdn.ncbi.nlm.nih.gov/pmc/blobs/ac9c/10906793/a4993aa9fe0a/JISP-27-645-g006.jpg
https://cdn.ncbi.nlm.nih.gov/pmc/blobs/ac9c/10906793/19033bad49d5/JISP-27-645-g007.jpg
https://cdn.ncbi.nlm.nih.gov/pmc/blobs/ac9c/10906793/d8dbe18fa7bd/JISP-27-645-g008.jpg

相似文献

1
Zimmermann-Laband syndrome-associated hereditary gingival fibromatosis.齐默尔曼-拉班德综合征相关的遗传性牙龈纤维瘤病
J Indian Soc Periodontol. 2023 Nov-Dec;27(6):645-650. doi: 10.4103/jisp.jisp_582_22. Epub 2024 Jan 24.
2
Current concepts on gingival fibromatosis-related syndromes.牙龈纤维瘤病相关综合征的当前概念
J Investig Clin Dent. 2011 Aug;2(3):156-61. doi: 10.1111/j.2041-1626.2011.00054.x. Epub 2011 Mar 15.
3
Hereditary gingival fibromatosis in a family with the Zimmermann-Laband syndrome.一个患有齐默尔曼 - 拉班德综合征的家族中的遗传性牙龈纤维瘤病。
J Oral Pathol Med. 1991 Oct;20(9):457-9. doi: 10.1111/j.1600-0714.1991.tb00438.x.
4
Expanding the phenotype of gingival fibromatosis-mental retardation-hypertrichosis (Zimmermann-Laband) syndrome.扩展牙龈纤维瘤病-智力迟钝-多毛症(齐默尔曼-兰巴德)综合征的表型。
Am J Med Genet A. 2011 Jul;155A(7):1716-20. doi: 10.1002/ajmg.a.34030. Epub 2011 May 27.
5
[Syndromic gingival fibromatosis].[综合征性牙龈纤维瘤病]
Rev Stomatol Chir Maxillofac. 2006 Dec;107(6):477-80. doi: 10.1016/s0035-1768(06)77092-9.
6
Zimmermann-Laband-1 Syndrome: Clinical, Histological, and Proteomic Findings of a 3-Year-Old Patient with Hereditary Gingival Fibromatosis.齐默尔曼 - 拉班德1型综合征:一名3岁遗传性牙龈纤维瘤病患者的临床、组织学和蛋白质组学研究结果
Biomedicines. 2019 Jun 29;7(3):48. doi: 10.3390/biomedicines7030048.
7
Zimmermann-Laband syndrome in monozygotic twins with a mild neurobehavioral phenotype lacking gingival overgrowth-A case report of a novel KCNN3 gene variant.同卵双胞胎的齐默尔曼-兰巴德综合征,具有轻度神经行为表型,无牙龈过度生长-一种新型 KCNN3 基因突变的病例报告。
Am J Med Genet A. 2022 Apr;188(4):1083-1087. doi: 10.1002/ajmg.a.62616. Epub 2021 Dec 14.
8
Wide clinical spectrum in Zimmermann-Laband syndrome.齐默尔曼-拉班德综合征的临床谱广泛。
Genet Couns. 2011;22(1):1-10.
9
Cantú syndrome versus Zimmermann-Laband syndrome: Report of nine individuals with ABCC9 variants.坎图综合征与齐默尔曼-兰巴德综合征:9 例 ABCC9 变异患者报告。
Eur J Med Genet. 2020 Sep;63(9):103996. doi: 10.1016/j.ejmg.2020.103996. Epub 2020 Jul 2.
10
The phenotypic overlap of syndromes associated with hereditary gingival fibromatosis: follow-up of a family for five years.与遗传性牙龈纤维瘤病相关综合征的表型重叠:一个家族的五年随访
Oral Surg Oral Med Oral Pathol Oral Radiol Endod. 2007 Apr;103(4):521-7. doi: 10.1016/j.tripleo.2006.02.021. Epub 2006 Aug 10.

本文引用的文献

1
Case of Hypertrophy of the Gums, in the Practice of Professor Gross.格罗斯教授临床实践中的牙龈肥大病例。
Dent Regist. 1856 Apr;9(3):276-282.
2
Zimmermann-Laband syndrome: Clinical and cytogenetic study in two related patients.齐默尔曼-拉班德综合征:两名相关患者的临床及细胞遗传学研究
J Clin Exp Dent. 2019 May 1;11(5):e452-e456. doi: 10.4317/jced.55214. eCollection 2019 May.
3
Zimmermann-Laband-1 Syndrome: Clinical, Histological, and Proteomic Findings of a 3-Year-Old Patient with Hereditary Gingival Fibromatosis.齐默尔曼 - 拉班德1型综合征:一名3岁遗传性牙龈纤维瘤病患者的临床、组织学和蛋白质组学研究结果
Biomedicines. 2019 Jun 29;7(3):48. doi: 10.3390/biomedicines7030048.
4
A new classification scheme for periodontal and peri-implant diseases and conditions - Introduction and key changes from the 1999 classification.牙周病和种植体周围病及状况的新分类系统——1999 年分类的介绍和主要变化
J Periodontol. 2018 Jun;89 Suppl 1:S1-S8. doi: 10.1002/JPER.18-0157.
5
Current concepts on gingival fibromatosis-related syndromes.牙龈纤维瘤病相关综合征的当前概念
J Investig Clin Dent. 2011 Aug;2(3):156-61. doi: 10.1111/j.2041-1626.2011.00054.x. Epub 2011 Mar 15.
6
Clinical and genetic study of two patients with Zimmermann-Laband syndrome and literature review.两名齐默尔曼-拉班德综合征患者的临床与遗传学研究及文献综述
Eur J Med Genet. 2013 Oct;56(10):570-6. doi: 10.1016/j.ejmg.2013.08.004. Epub 2013 Aug 27.
7
Report of a case of Zimmermann-Laband syndrome with new manifestations.Zimmermann-Laband 综合征伴新表现病例报告。
Int J Oral Maxillofac Surg. 2010 Sep;39(9):937-41. doi: 10.1016/j.ijom.2010.01.023. Epub 2010 May 10.
8
Opposite effects of TGF-beta1 and IFN-gamma on transdifferentiation of myofibroblast in human gingival cell cultures.转化生长因子-β1(TGF-β1)和γ干扰素(IFN-γ)对人牙龈细胞培养物中肌成纤维细胞转分化的相反作用。
J Clin Periodontol. 2007 May;34(5):397-406. doi: 10.1111/j.1600-051X.2007.01063.x. Epub 2007 Apr 2.
9
The phenotypic overlap of syndromes associated with hereditary gingival fibromatosis: follow-up of a family for five years.与遗传性牙龈纤维瘤病相关综合征的表型重叠:一个家族的五年随访
Oral Surg Oral Med Oral Pathol Oral Radiol Endod. 2007 Apr;103(4):521-7. doi: 10.1016/j.tripleo.2006.02.021. Epub 2006 Aug 10.
10
Ultrastructural investigation of Zimmermann-Laband syndrome.齐默尔曼-拉班德综合征的超微结构研究。
Ultrastruct Pathol. 2006 Nov-Dec;30(6):423-6. doi: 10.1080/01913120601042245.