• 文献检索
  • 文档翻译
  • 深度研究
  • 学术资讯
  • Suppr Zotero 插件Zotero 插件
  • 邀请有礼
  • 套餐&价格
  • 历史记录
应用&插件
Suppr Zotero 插件Zotero 插件浏览器插件Mac 客户端Windows 客户端微信小程序
定价
高级版会员购买积分包购买API积分包
服务
文献检索文档翻译深度研究API 文档MCP 服务
关于我们
关于 Suppr公司介绍联系我们用户协议隐私条款
关注我们

Suppr 超能文献

核心技术专利:CN118964589B侵权必究
粤ICP备2023148730 号-1Suppr @ 2026

文献检索

告别复杂PubMed语法,用中文像聊天一样搜索,搜遍4000万医学文献。AI智能推荐,让科研检索更轻松。

立即免费搜索

文件翻译

保留排版,准确专业,支持PDF/Word/PPT等文件格式,支持 12+语言互译。

免费翻译文档

深度研究

AI帮你快速写综述,25分钟生成高质量综述,智能提取关键信息,辅助科研写作。

立即免费体验

维生素C对硫柳汞诱导的Wistar白化大鼠大脑皮质神经毒性保护作用的增强:一项实验和计算研究。

Enhancement of Vitamin C's Protective Effect against Thimerosal-Induced Neurotoxicity in the Cerebral Cortex of Wistar Albino Rats: An and Computational Study.

作者信息

Hassan Amr, Mohsen Reham, Rezk Ahmed, Bangay Gabrielle, Rijo Patrícia, Soliman Mona F M, G A Hablas Mohamed, Swidan Khalifa AbdulRazik K, Mohammed Tahseen S, Zoair Mohammad A, Mohamed Abir A Khalil, Abdalrhman Tamer I, Abdel-Aleem Desoky Ahmad M, Mohamed Dalia D, Mohamed Doaa D, Abd El Maksoud Ahmed I, Mohamed Aly F

机构信息

Department of Bioinformatics, Genetic Engineering and Biotechnology Research Institute (GEBRI), University of Sadat City, Sadat 32897, Egypt.

College of Biotechnology, October University for Modern Science and Arts (MSA), University Giza, Giza 11456, Egypt.

出版信息

ACS Omega. 2024 Feb 16;9(8):8973-8984. doi: 10.1021/acsomega.3c07239. eCollection 2024 Feb 27.

DOI:10.1021/acsomega.3c07239
PMID:
38434836
原文链接:https://pmc.ncbi.nlm.nih.gov/articles/PMC10905602/
Abstract

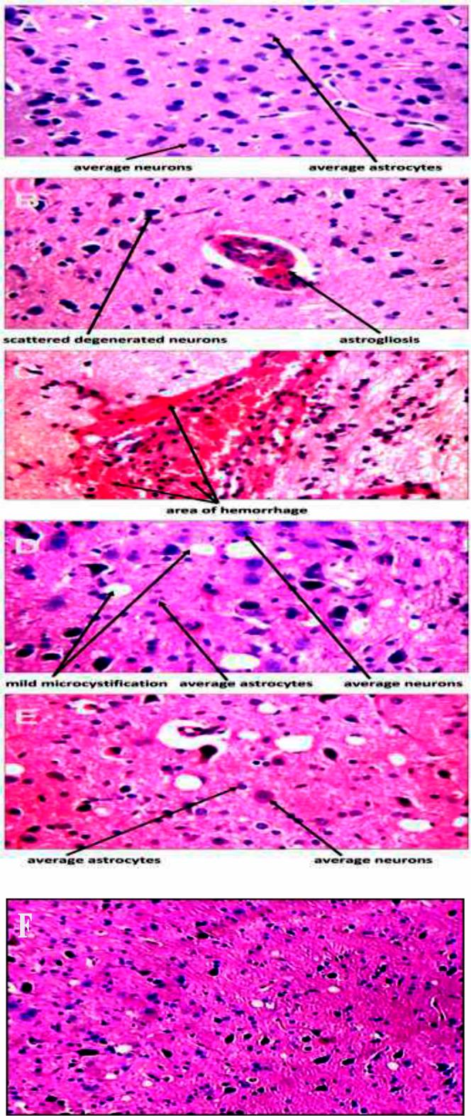
Vitamin C was examined to ameliorate the neurotoxicity of thimerosal (THIM) in an animal model (Wistar albino rats). In our work, oxidative and antioxidative biomarkers such as SOD, LPO, and GSH were investigated at various doses of THIM with or without concurrent vitamin C administration. Furthermore, the adverse effects of THIM on hepatic tissue and cerebral cortex morphology were examined in the absence or presence of associated vitamin C administration. Also, we studied the effect of vitamin C on the metallothionein isoforms (MT-1, MT-2, and MT-3) and using the RT-PCR assay. The results showed that the antioxidant biomarker was reduced as the THIM dose was raised and vice versa. THIM-associated vitamin C reduced the adverse effects of the THIM dose. The computation studies demonstrated that vitamin C has a lower Δ of -4.9 kcal/mol compared to -4.1 kcal/mol for THIM to bind to the MT-2 protein, which demonstrated that vitamin C has a greater ability to bind with MT-2 than THIM. This is due to multiple hydrogen bonds that exist between vitamin C and MT-2 residues Lys31, Gln23, Cys24, and Cys29, and the sodium ion represents key stabilizing interactions. Hydrogen bonds involve electrostatic interactions between hydrogen atom donors (, hydroxyl groups) and acceptors (, carbonyl oxygens). The distances between heavy atoms are typically 2.5-3.5 Å. H-bonds provide directed, high-affinity interactions to anchor the ligand to the binding site. The five H-bonds formed by vitamin C allow it to form a stable complex with MT, while THIM can form two H-bonds with Gln23 and Cys24. This provides less stabilization in the binding pocket, contributing to the lower affinity compared to vitamin C. The histopathological morphologies in hepatic tissue displayed an expansion in the portal tract and the hepatocytes surrounding the portal tract, including apoptosis, binucleation, and karyomegaly. The histopathological morphologies in the brain tissue revealed a significant decrease in the number of Purkinje cells due to THIM toxicity. Interestingly, THIM toxicity was associated with hemorrhage and astrogliosis. Both intracellular and vasogenic edema appeared as the concentrations of THIM rose. Finally, vitamin C ameliorated the adverse effect on the cerebral cortex in Wistar albino rats.

摘要

在动物模型(Wistar白化大鼠)中研究了维生素C对硫柳汞(THIM)神经毒性的改善作用。在我们的研究中,研究了不同剂量的THIM在同时给予或不给予维生素C的情况下,氧化和抗氧化生物标志物如超氧化物歧化酶(SOD)、脂质过氧化(LPO)和谷胱甘肽(GSH)的变化。此外,在给予或不给予相关维生素C的情况下,研究了THIM对肝组织和大脑皮层形态的不良影响。同时,我们使用逆转录聚合酶链反应(RT-PCR)检测方法研究了维生素C对金属硫蛋白亚型(MT-1、MT-2和MT-3)的影响。结果表明,随着THIM剂量的增加,抗氧化生物标志物减少,反之亦然。THIM联合维生素C可降低THIM剂量的不良影响。计算研究表明,与THIM结合MT-2蛋白时的-4.1千卡/摩尔相比,维生素C的结合能更低,为-4.9千卡/摩尔,这表明维生素C与MT-2结合的能力比THIM更强。这是由于维生素C与MT-2残基Lys31、Gln23、Cys24和Cys29之间存在多个氢键,并且钠离子代表关键的稳定相互作用。氢键涉及氢原子供体(如羟基)和受体(如羰基氧)之间的静电相互作用。重原子之间的距离通常为2.5 - 3.5埃。氢键提供定向的、高亲和力的相互作用,将配体锚定到结合位点。维生素C形成的五个氢键使其能够与MT形成稳定的复合物,而THIM可以与Gln23和Cys24形成两个氢键。这在结合口袋中提供的稳定性较低,导致与维生素C相比亲和力较低。肝组织的组织病理学形态显示门管区以及门管区周围的肝细胞扩张,包括凋亡、双核化和核肿大。脑组织的组织病理学形态显示由于THIM毒性,浦肯野细胞数量显著减少。有趣的是,THIM毒性与出血和星形胶质细胞增生有关。随着THIM浓度的升高,细胞内水肿和血管源性水肿均出现。最后,维生素C改善了Wistar白化大鼠大脑皮层的不良影响。

https://cdn.ncbi.nlm.nih.gov/pmc/blobs/b129/10905602/11283ccedcf0/ao3c07239_0005.jpg
https://cdn.ncbi.nlm.nih.gov/pmc/blobs/b129/10905602/a5beca876643/ao3c07239_0001.jpg
https://cdn.ncbi.nlm.nih.gov/pmc/blobs/b129/10905602/505c1be93c0e/ao3c07239_0002.jpg
https://cdn.ncbi.nlm.nih.gov/pmc/blobs/b129/10905602/11dfde9ccc81/ao3c07239_0003.jpg
https://cdn.ncbi.nlm.nih.gov/pmc/blobs/b129/10905602/5836448690ee/ao3c07239_0004.jpg
https://cdn.ncbi.nlm.nih.gov/pmc/blobs/b129/10905602/11283ccedcf0/ao3c07239_0005.jpg
https://cdn.ncbi.nlm.nih.gov/pmc/blobs/b129/10905602/a5beca876643/ao3c07239_0001.jpg
https://cdn.ncbi.nlm.nih.gov/pmc/blobs/b129/10905602/505c1be93c0e/ao3c07239_0002.jpg
https://cdn.ncbi.nlm.nih.gov/pmc/blobs/b129/10905602/11dfde9ccc81/ao3c07239_0003.jpg
https://cdn.ncbi.nlm.nih.gov/pmc/blobs/b129/10905602/5836448690ee/ao3c07239_0004.jpg
https://cdn.ncbi.nlm.nih.gov/pmc/blobs/b129/10905602/11283ccedcf0/ao3c07239_0005.jpg

相似文献

1
Enhancement of Vitamin C's Protective Effect against Thimerosal-Induced Neurotoxicity in the Cerebral Cortex of Wistar Albino Rats: An and Computational Study.维生素C对硫柳汞诱导的Wistar白化大鼠大脑皮质神经毒性保护作用的增强:一项实验和计算研究。
ACS Omega. 2024 Feb 16;9(8):8973-8984. doi: 10.1021/acsomega.3c07239. eCollection 2024 Feb 27.
2
Alpha lipoic acid ameliorates THIM-induced prefrontal cell loss and abnormal enzymatically contents in the developing rat.硫辛酸可改善 THIM 诱导的发育期大鼠前额叶细胞丢失和异常酶含量。
J Chem Neuroanat. 2020 Jan;103:101727. doi: 10.1016/j.jchemneu.2019.101727. Epub 2019 Nov 15.
3
Neonatal administration of a vaccine preservative, thimerosal, produces lasting impairment of nociception and apparent activation of opioid system in rats.新生儿接种疫苗防腐剂硫柳汞会导致持久的痛觉过敏损伤和明显的阿片系统激活。
Brain Res. 2009 Dec 8;1301:143-51. doi: 10.1016/j.brainres.2009.09.003. Epub 2009 Sep 9.
4
Persistent behavioral impairments and alterations of brain dopamine system after early postnatal administration of thimerosal in rats.早期给大鼠注射硫柳汞会导致持续性的行为损伤和大脑多巴胺系统的改变。
Behav Brain Res. 2011 Sep 30;223(1):107-18. doi: 10.1016/j.bbr.2011.04.026. Epub 2011 Apr 28.
5
The Novel Potential Therapeutic Utility of Montelukast in Alleviating Autistic Behavior Induced by Early Postnatal Administration of Thimerosal in Mice.麦考酚酸酯在减轻早期产后给予硫柳汞诱导的小鼠自闭症行为中的潜在治疗作用。
Cell Mol Neurobiol. 2021 Jan;41(1):129-150. doi: 10.1007/s10571-020-00841-2. Epub 2020 Apr 17.
6
Effects of Treadmill Exercise on the Expression Level of BAX, BAD, BCL-2, BCL-XL, TFAM, and PGC-1α in the Hippocampus of Thimerosal-Treated Rats.跑步机运动对他莫昔芬处理大鼠海马组织中 BAX、BAD、BCL-2、BCL-XL、TFAM 和 PGC-1α表达水平的影响。
Neurotox Res. 2021 Aug;39(4):1274-1284. doi: 10.1007/s12640-021-00370-w. Epub 2021 May 3.
7
Thimerosal inhibits Drosophila melanogaster tyrosine hydroxylase (DmTyrH) leading to changes in dopamine levels and impaired motor behavior: implications for neurotoxicity.硫柳汞抑制黑腹果蝇酪氨酸羟化酶(DmTyrH),导致多巴胺水平变化和运动行为障碍:神经毒性的影响。
Metallomics. 2019 Feb 20;11(2):362-374. doi: 10.1039/c8mt00268a.
8
Effects of Treadmill Exercise on Social Behavior in Rats Exposed to Thimerosal with Respect to the Hippocampal Level of GluN1, GluN2A, and GluN2B.四乙基汞暴露对大鼠社会行为的影响及与海马 GluN1、GluN2A 和 GluN2B 水平的关系。
J Mol Neurosci. 2022 Jun;72(6):1345-1357. doi: 10.1007/s12031-022-02027-5. Epub 2022 May 21.
9
Chronic vitamin E inadequacy and thermally treated oils affect the synthesis of hepatic metallothionein isoforms.慢性维生素E缺乏和经过热处理的油会影响肝脏金属硫蛋白异构体的合成。
Eur J Nutr. 2000 Jun;39(3):112-20. doi: 10.1007/s003940070027.
10
Evaluation of vitamin C protective effect on the cerebrocortical antioxidant defense, histopathological, pro-apoptotic p53 and anti-apoptotic Bcl2 expressions against tramadol neurotoxicity in rats.评价维生素 C 对曲马多神经毒性的脑皮质抗氧化防御、组织病理学、促凋亡 p53 和抗凋亡 Bcl2 表达的保护作用。
J Chem Neuroanat. 2021 Mar;112:101893. doi: 10.1016/j.jchemneu.2020.101893. Epub 2020 Dec 1.

引用本文的文献

1
Glycyrrhizic Acid Nanoparticles Subside the Activity of Methicillin-Resistant by Suppressing PBP2a.甘草酸纳米颗粒通过抑制PBP2a降低耐甲氧西林活性。
Pharmaceuticals (Basel). 2024 May 6;17(5):589. doi: 10.3390/ph17050589.

本文引用的文献

1
Synergistic Differential DNA Demethylation Activity of () Associated with Different Probiotics in Nonalcoholic Fatty Liver Disease.非酒精性脂肪性肝病中与不同益生菌相关的()的协同差异DNA去甲基化活性
Biomedicines. 2024 Jan 25;12(2):279. doi: 10.3390/biomedicines12020279.
2
Amelioration effect of 18β-Glycyrrhetinic acid on methylation inhibitors in hepatocarcinogenesis -induced by diethylnitrosamine.18β-甘草次酸对二乙基亚硝胺诱导的肝癌发生中甲基化抑制剂的改善作用。
Front Immunol. 2024 Jan 15;14:1206990. doi: 10.3389/fimmu.2023.1206990. eCollection 2023.
3
Inhibition Mechanism of Methicillin-Resistant by Zinc Oxide Nanorods via Suppresses Penicillin-Binding Protein 2a.
氧化锌纳米棒通过抑制青霉素结合蛋白2a对耐甲氧西林菌的抑制机制
ACS Omega. 2023 Mar 6;8(11):9969-9977. doi: 10.1021/acsomega.2c07142. eCollection 2023 Mar 21.
4
Integration of in vitro and in-silico analysis of Caulerpa racemosa against antioxidant, antidiabetic, and anticancer activities.运用体外和计算机模拟分析手段研究石莼(Caulerpa racemosa)的抗氧化、抗糖尿病和抗癌活性。
Sci Rep. 2022 Dec 2;12(1):20848. doi: 10.1038/s41598-022-24021-y.
5
Ultrastructural analysis of zinc oxide nanospheres enhances anti-tumor efficacy against Hepatoma.氧化锌纳米球的超微结构分析增强了对肝癌的抗肿瘤疗效。
Front Oncol. 2022 Oct 27;12:933750. doi: 10.3389/fonc.2022.933750. eCollection 2022.
6
Effects of Treadmill Exercise on Social Behavior in Rats Exposed to Thimerosal with Respect to the Hippocampal Level of GluN1, GluN2A, and GluN2B.四乙基汞暴露对大鼠社会行为的影响及与海马 GluN1、GluN2A 和 GluN2B 水平的关系。
J Mol Neurosci. 2022 Jun;72(6):1345-1357. doi: 10.1007/s12031-022-02027-5. Epub 2022 May 21.
7
Investigation of Angiogenesis and Wound Healing Potential Mechanisms of Zinc Oxide Nanorods.氧化锌纳米棒的血管生成及伤口愈合潜在机制研究
Front Pharmacol. 2021 Oct 11;12:661217. doi: 10.3389/fphar.2021.661217. eCollection 2021.
8
Effects of Treadmill Exercise on the Expression Level of BAX, BAD, BCL-2, BCL-XL, TFAM, and PGC-1α in the Hippocampus of Thimerosal-Treated Rats.跑步机运动对他莫昔芬处理大鼠海马组织中 BAX、BAD、BCL-2、BCL-XL、TFAM 和 PGC-1α表达水平的影响。
Neurotox Res. 2021 Aug;39(4):1274-1284. doi: 10.1007/s12640-021-00370-w. Epub 2021 May 3.
9
PubChem in 2021: new data content and improved web interfaces.PubChem 在 2021 年:新增数据内容和改进的网络界面。
Nucleic Acids Res. 2021 Jan 8;49(D1):D1388-D1395. doi: 10.1093/nar/gkaa971.
10
Indirect voltammetric determination of thiomersal in influenza vaccine using photo-degradation and graphene quantum dots modified glassy carbon electrode.基于光降解和石墨烯量子点修饰玻碳电极的间接伏安法测定流感疫苗中的硫柳汞
Talanta. 2020 Aug 1;215:120938. doi: 10.1016/j.talanta.2020.120938. Epub 2020 Mar 19.