Xing Yanan, Chen Lin, Hu Bin, Li Yi, Mai Huan, Li Gaojian, Han Shuyi, Wang Ye, Huang Yanyi, Tian Ying, Zhang Wei, Gao Yan, He Hongxuan
Institute of Zoology, Chinese Academy of Sciences, Beijing, China.
University of Chinese Academy of Sciences, Beijing, China.
Mol Ther Nucleic Acids. 2024 Feb 15;35(1):102149. doi: 10.1016/j.omtn.2024.102149. eCollection 2024 Mar 12.
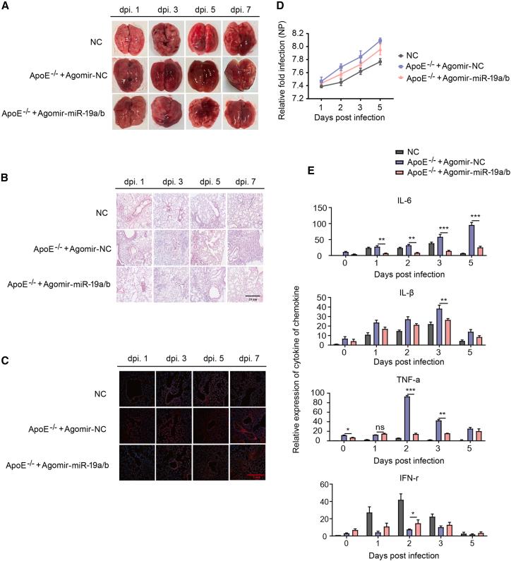
Patients with pre-existing medical conditions are at a heightened risk of contracting severe acute respiratory syndrome (SARS), SARS-CoV-2, and influenza viruses, which can result in more severe disease progression and increased mortality rates. Nevertheless, the molecular mechanism behind this phenomenon remained largely unidentified. Here, we found that microRNA-19a/b (miR-19a/b), which is a constituent of the miR-17-92 cluster, exhibits reduced expression levels in patients with coronary heart disease in comparison to healthy individuals. The downregulation of miR-19a/b has been observed to facilitate the replication of influenza A virus (IAV). miR-19a/b can effectively inhibit IAV replication by targeting and reducing the expression of SOCS1, as observed in cell-based and coronary heart disease mouse models. This mechanism leads to the alleviation of the inhibitory effect of SOCS1 on the interferon (IFN)/JAK/STAT signaling pathway. The results indicate that the IAV employs a unique approach to inhibit the host's type I IFN-mediated antiviral immune responses by decreasing miR-19a/b. These findings provide additional insights into the underlying mechanisms of susceptibility to flu in patients with coronary heart disease. miR-19a/b can be considered as a preventative/therapy strategy for patients with coronary heart disease against influenza virus infection.
患有基础疾病的患者感染严重急性呼吸综合征(SARS)、SARS-CoV-2和流感病毒的风险更高,这可能导致更严重的疾病进展和更高的死亡率。然而,这一现象背后的分子机制在很大程度上仍不明确。在此,我们发现作为miR-17-92簇组成部分的微小RNA-19a/b(miR-19a/b),与健康个体相比,在冠心病患者中表达水平降低。已观察到miR-19a/b的下调促进甲型流感病毒(IAV)的复制。在基于细胞的模型和冠心病小鼠模型中均观察到,miR-19a/b可通过靶向并降低SOCS1的表达来有效抑制IAV复制。这一机制导致SOCS1对干扰素(IFN)/JAK/STAT信号通路的抑制作用得到缓解。结果表明,IAV通过降低miR-19a/b采用独特方式抑制宿主的I型IFN介导的抗病毒免疫反应。这些发现为冠心病患者易患流感的潜在机制提供了更多见解。miR-19a/b可被视为冠心病患者预防/治疗流感病毒感染的一种策略。