Suppr超能文献

血红蛋白水平与中国克罗恩病患者肌少症的关系。

The association between hemoglobin level and sarcopenia in Chinese patients with Crohn's disease.

机构信息

Department of Radiology, Affiliated Hospital of Nanjing University of Chinese Medicine, 155 Hanzhong road, 210029, Nanjing, China.

Department of Radiology, Funan County People's Hospital, 36 santa road, 236300, Fuyang, Anhui, China.

出版信息

BMC Gastroenterol. 2024 Mar 4;24(1):95. doi: 10.1186/s12876-024-03182-2.

Abstract

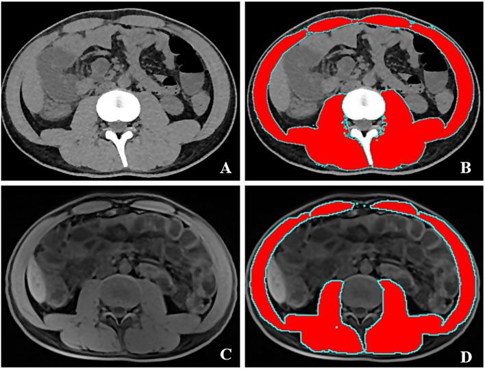
Sarcopenia and anemia are common complications in patients with Crohn's Disease (CD). However, few studies have shown the association between sarcopenia and hemoglobin levels in CD patients. This retrospective study aimed to explore such association in Chinese patients with CD. Two hundred and twelve adult CD inpatients who underwent computed tomography (CT) or magnetic resonance imaging (MRI) examinations from July 2019 to December 2021 were included in the study. Sarcopenia was defined according to the cutoff value of skeletal muscle index of lumbar spine 3 (SMI-L3) (< 44.77cm/m for males and < 32.5cm/m for females). The CD patients were divided into two groups based on the presence or absence of sarcopenia. Clinical data, hemoglobin levels, and other laboratory data were retrospectively collected. The association between hemoglobin levels and sarcopenia was analyzed by univariable and multivariable logistic regression analysis. Sarcopenia occurred in 114 CD patients (53.8%). Compared to patients without sarcopenia, patients with sarcopenia had a lower proportion of L1 (30.7% vs. 45.8%, p = 0.032) and B1 classification (58.8% vs. 72.4%, p = 0.037). Patients with sarcopenia had significantly lower levels of hemoglobin (Hb) (116.5 ± 22.8 vs. 128.1 ± 21.0, p < 0.001). The prevalence of sarcopenia increased with the decrease in hemoglobin level (p for trend < 0.05). Linear regression analysis showed that hemoglobin levels were associated with SMI-L3 (β = 0.091, p = 0.001). Multivariable logistic regression analysis found that higher hemoglobin levels (OR:0.944; 95% CI: 0.947,0.998; p = 0.036) were independent protective factors for sarcopenia. Lower hemoglobin levels are independently associated factors of sarcopenia in adult Chinese patients with CD.

摘要

肌肉减少症和贫血是克罗恩病(CD)患者的常见并发症。然而,很少有研究表明 CD 患者的肌肉减少症与血红蛋白水平之间存在关联。本回顾性研究旨在探讨中国 CD 患者中这种关联。2019 年 7 月至 2021 年 12 月期间,212 名接受计算机断层扫描(CT)或磁共振成像(MRI)检查的成年 CD 住院患者纳入本研究。根据腰椎 3 节段骨骼肌指数(SMI-L3)的截断值(男性<44.77cm/m,女性<32.5cm/m)定义肌肉减少症。根据是否存在肌肉减少症,将 CD 患者分为两组。回顾性收集临床资料、血红蛋白水平和其他实验室数据。采用单变量和多变量逻辑回归分析血红蛋白水平与肌肉减少症之间的关系。114 例 CD 患者(53.8%)发生肌肉减少症。与无肌肉减少症的患者相比,有肌肉减少症的患者 L1 (30.7% vs. 45.8%,p=0.032)和 B1 分类(58.8% vs. 72.4%,p=0.037)的比例较低。有肌肉减少症的患者血红蛋白(Hb)水平显著降低(116.5±22.8 vs. 128.1±21.0,p<0.001)。肌肉减少症的患病率随血红蛋白水平的降低而增加(p 趋势<0.05)。线性回归分析显示,血红蛋白水平与 SMI-L3 相关(β=0.091,p=0.001)。多变量逻辑回归分析发现,较高的血红蛋白水平(OR:0.944;95%CI:0.947,0.998;p=0.036)是肌肉减少症的独立保护因素。较低的血红蛋白水平是中国成年 CD 患者肌肉减少症的独立相关因素。

https://cdn.ncbi.nlm.nih.gov/pmc/blobs/18b0/10910814/8c305a70e02c/12876_2024_3182_Fig1_HTML.jpg

文献AI研究员

20分钟写一篇综述,助力文献阅读效率提升50倍。

立即体验

用中文搜PubMed

大模型驱动的PubMed中文搜索引擎

马上搜索

文档翻译

学术文献翻译模型,支持多种主流文档格式。

立即体验