Suppr超能文献

病例报告:并发小容量硬膜下血肿和同侧缺血性卒中表现为包膜警告综合征:一例存在抗凝困境和双重病理的复杂病例。

Case report: Concurrent low-volume subdural hematoma and ipsilateral ischemic stroke presenting as capsular warning syndrome: a complex case with anticoagulation dilemma and dual pathology.

作者信息

Strahnen Daniel, Stathi Angeliki, Beck Jürgen, Roelz Roland, Vasilikos Ioannis

机构信息

Department of Neurosurgery, University Medical Center Freiburg, Freiburg, Germany.

出版信息

Front Neurol. 2024 Feb 20;15:1358237. doi: 10.3389/fneur.2024.1358237. eCollection 2024.

Abstract

BACKGROUND

The simultaneous emergence of low-volume subdural hematoma and ipsilateral ischemic stroke in an atrial fibrillation patient who is under anticoagulation therapy is a rare and intricate clinical case. This report accentuates the diagnostic and treatment complexities associated with these consecutive neurological conditions.

CASE PRESENTATION

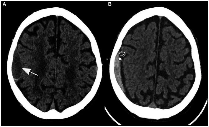
An 83 years-old male patient initially presented with acute dyspnea, raising the suspicion of pulmonary embolism. After exclusion of pulmonary embolism through CT angiography, the patient experienced a sudden onset of left-sided hemiparesis without prior history of head trauma but with chronic intake of apixaban due to atrial fibrillation. Subsequent cranial CT tomography revealed a small right parietal subdural hematoma. After reversal of the anticoagulation therapy, surgical evacuation of the subdural hematoma was successfully performed. However, in the postoperative period, the patient developed new neurological symptoms that could not be explained by the reduced size of the subdural hematoma on a follow-up CT scan. Cranial MRI revealed the coexistence of acute ischemic stroke in the right corona radiata. The recent surgical procedure precluded guideline-recommended stroke treatment.

DISCUSSION

This case underscores the complexities of diagnosing and treating concomitant small volume subdural hematoma and ischemic stroke, especially if the latter occurs in the corona radiata resulting in fluctuating symptoms known as "capsular warning syndrome." Reversal and secondary discontinuation of anticoagulant therapy for surgical intervention highlight the inherent risk of thrombotic events in anticoagulated patients. The development of tailored treatment strategies requires a multidisciplinary approach, and further research and guidelines are required in similar complex scenarios.

CONCLUSION

The presence of both a small subdural hematoma and an ipsilateral ischemic stroke presenting as capsular warning syndrome in an anticoagulated patient highlights the intricacy of their care. This case calls for a comprehensive and collaborative strategy to address complicated clinical scenarios.

摘要

背景

在接受抗凝治疗的心房颤动患者中,同时出现少量硬膜下血肿和同侧缺血性卒中是一种罕见且复杂的临床病例。本报告强调了与这些相继出现的神经系统疾病相关的诊断和治疗复杂性。

病例介绍

一名83岁男性患者最初表现为急性呼吸困难,引发了肺栓塞的怀疑。通过CT血管造影排除肺栓塞后,该患者在无头部外伤史但因心房颤动长期服用阿哌沙班的情况下,突然出现左侧偏瘫。随后的头颅CT断层扫描显示右侧顶叶有一个小的硬膜下血肿。在抗凝治疗逆转后,成功进行了硬膜下血肿的手术清除。然而,在术后期间,患者出现了新的神经系统症状,后续CT扫描显示硬膜下血肿缩小并不能解释这些症状。头颅MRI显示右侧放射冠存在急性缺血性卒中。近期的手术操作排除了指南推荐的卒中治疗方法。

讨论

本病例强调了诊断和治疗同时存在的少量硬膜下血肿和缺血性卒中的复杂性,特别是当后者发生在放射冠导致出现称为“囊膜警告综合征”的波动症状时。为进行手术干预而逆转和继发停用抗凝治疗凸显了抗凝患者发生血栓事件的固有风险。制定量身定制的治疗策略需要多学科方法,在类似的复杂情况下还需要进一步的研究和指南。

结论

抗凝患者中同时存在少量硬膜下血肿和表现为囊膜警告综合征的同侧缺血性卒中凸显了其护理的复杂性。该病例需要一种全面且协作的策略来应对复杂的临床情况。

https://cdn.ncbi.nlm.nih.gov/pmc/blobs/89df/10912296/172107e144b9/fneur-15-1358237-g001.jpg

文献检索

告别复杂PubMed语法,用中文像聊天一样搜索,搜遍4000万医学文献。AI智能推荐,让科研检索更轻松。

立即免费搜索

文件翻译

保留排版,准确专业,支持PDF/Word/PPT等文件格式,支持 12+语言互译。

免费翻译文档

深度研究

AI帮你快速写综述,25分钟生成高质量综述,智能提取关键信息,辅助科研写作。

立即免费体验