Suppr超能文献

经皮超声引导同轴芯针活检诊断脾脏多发病变:病例报告

Percutaneous ultrasound-guided coaxial core needle biopsy for the diagnosis of multiple splenic lesions: A case report.

作者信息

Pu Sha-Hong, Bao Wu-Yong-Ga, Jiang Zhen-Peng, Yang Rui, Lu Qiang

机构信息

Department of Medical Ultrasound, West China Hospital of Sichuan University, Chengdu 610041, Sichuan Province, China.

出版信息

World J Gastrointest Surg. 2024 Feb 27;16(2):616-621. doi: 10.4240/wjgs.v16.i2.616.

Abstract

BACKGROUND

The overlap of imaging manifestations among distinct splenic lesions gives rise to a diagnostic dilemma. Consequently, a definitive diagnosis primarily relies on histological results. The ultrasound (US)-guided coaxial core needle biopsy (CNB) not only procures sufficient tissue to help clarify the diagnosis, but reduces the incidence of puncture-related complications.

CASE SUMMARY

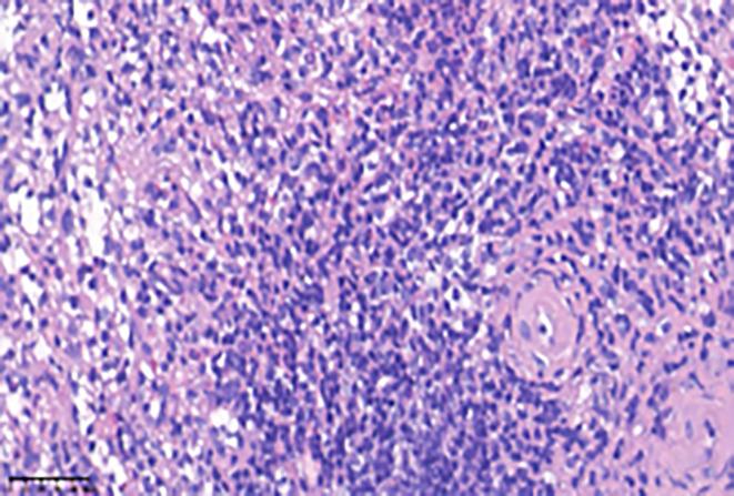
A 41-year-old female, with a history of pulmonary tuberculosis, was admitted to our hospital with multiple indeterminate splenic lesions. Gray-scale ultrasonography demonstrated splenomegaly with numerous well-defined hypoechoic masses. Abdominal contrast-enhanced computed tomography (CT) showed an enlarged spleen with multiple irregular-shaped, peripherally enhancing, hypodense lesions. Positron emission CT revealed numerous abnormal hyperglycemia foci. These imaging findings strongly indicated the possibility of infectious disease as the primary concern, with neoplastic lesions requiring exclusion. To obtain the precise pathological diagnosis, the US-guided coaxial CNB of the spleen was carried out. The patient did not express any discomfort during the procedure.

CONCLUSION

Percutaneous US-guided coaxial CNB is an excellent and safe option for obtaining precise splenic tissue samples, as it significantly enhances sample yield for exact pathological analysis with minimum trauma to the spleen parenchyma and surrounding tissue.

摘要

背景

不同脾脏病变的影像学表现存在重叠,这引发了诊断难题。因此,明确诊断主要依赖组织学结果。超声(US)引导下同轴芯针活检(CNB)不仅能获取足够组织以助于明确诊断,还能降低穿刺相关并发症的发生率。

病例摘要

一名41岁女性,有肺结核病史,因脾脏多发不确定病变入院。灰阶超声显示脾肿大,有众多边界清晰的低回声肿块。腹部增强计算机断层扫描(CT)显示脾脏增大,有多个不规则形状、周边强化的低密度病变。正电子发射CT显示众多异常高血糖病灶。这些影像学表现强烈提示主要需考虑感染性疾病的可能性,同时需排除肿瘤性病变。为获得精确的病理诊断,对脾脏进行了超声引导下同轴CNB。患者在操作过程中未感到任何不适。

结论

经皮超声引导下同轴CNB是获取精确脾脏组织样本的一种出色且安全的选择,因为它能显著提高样本获取量,用于精确的病理分析,同时对脾实质和周围组织的创伤最小。

https://cdn.ncbi.nlm.nih.gov/pmc/blobs/1443/10921196/5ebcab6e2fcd/WJGS-16-616-g001.jpg

文献AI研究员

20分钟写一篇综述,助力文献阅读效率提升50倍。

立即体验

用中文搜PubMed

大模型驱动的PubMed中文搜索引擎

马上搜索

文档翻译

学术文献翻译模型,支持多种主流文档格式。

立即体验