• 文献检索
  • 文档翻译
  • 深度研究
  • 学术资讯
  • Suppr Zotero 插件Zotero 插件
  • 邀请有礼
  • 套餐&价格
  • 历史记录
应用&插件
Suppr Zotero 插件Zotero 插件浏览器插件Mac 客户端Windows 客户端微信小程序
定价
高级版会员购买积分包购买API积分包
服务
文献检索文档翻译深度研究API 文档MCP 服务
关于我们
关于 Suppr公司介绍联系我们用户协议隐私条款
关注我们

Suppr 超能文献

核心技术专利:CN118964589B侵权必究
粤ICP备2023148730 号-1Suppr @ 2026

文献检索

告别复杂PubMed语法,用中文像聊天一样搜索,搜遍4000万医学文献。AI智能推荐,让科研检索更轻松。

立即免费搜索

文件翻译

保留排版,准确专业,支持PDF/Word/PPT等文件格式,支持 12+语言互译。

免费翻译文档

深度研究

AI帮你快速写综述,25分钟生成高质量综述,智能提取关键信息,辅助科研写作。

立即免费体验

误诊为胆囊腺癌腹腔种植的溢出性胆结石:一例报告

Spilled gallstone mimicking intra-abdominal seeding of gallbladder adenocarcinoma: A case report.

作者信息

Huang Cheng-Ken, Lu Ruey-Hwa, Chen Chien-Cheng, Chen Po-Chun, Hsu Wen-Chang, Tsai Meng-Jui, Ting Chin-Tsung

机构信息

Division of Gastrointestinal Surgery, Department of Surgery, Ren-Ai Branch, Taipei City Hospital, Taipei 106, Taiwan.

Division of General Surgery, Department of Surgery, Zhongxing Branch, Taipei City Hospital, Taipei 103, Taiwan.

出版信息

World J Gastrointest Surg. 2024 Feb 27;16(2):622-627. doi: 10.4240/wjgs.v16.i2.622.

DOI:10.4240/wjgs.v16.i2.622
PMID:38463373
原文链接:https://pmc.ncbi.nlm.nih.gov/articles/PMC10921212/
Abstract

BACKGROUND

Gallbladder rupture is common in laparoscopic cholecystectomy because the gallbladder is usually in acute or chronic inflammation status. The gallstones may sometime be spilled into the peritoneal cavity, resulting in intra-abdominal abscess if the gallstones were not retrieved. The diagnosis of intra-abdominal abscess caused by unretrieved gallstone can usually be correctly identified in the routine imaging studies, such as abdominal ultrasonography or computed tomography (CT). Here we present a case of abscess formation from unretrieved gallstone following laparoscopic cholecystectomy, which mimics the imaging findings of metastatic gallbladder adenocarcinoma.

CASE SUMMARY

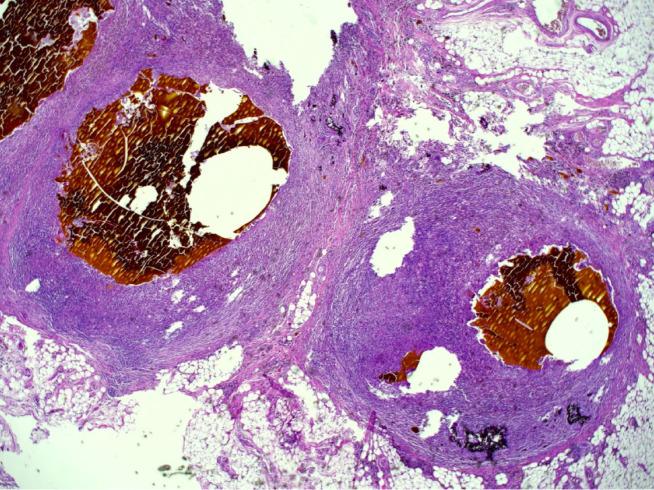
This case described a 78-year-old man who received laparoscopic cholecystectomy and gallbladder adenocarcinoma was diagnosed after surgery. After adjuvant chemotherapy, the following up abdominal CT showed several small nodules at right upper abdomen and peritoneal carcinomatosis is considered. Repeated laparoscopic surgery for the excision of seeding tumor was conducted and the pathological diagnosis of the nodules and mass was inflammatory tissues and gallbladder stone.

CONCLUSION

Spilled gallstones are a common complication during laparoscopic cholecystectomy and some gallstones fail to be retrieved due to the size or the restricted view of laparoscopic surgery. For spilled gall bladder stones, surgeons may consider regular computerized tomography follow-up, and if necessary, laparoscopic examination can be used as a means of confirming the diagnostic and treatment.

摘要

背景

胆囊破裂在腹腔镜胆囊切除术中很常见,因为胆囊通常处于急性或慢性炎症状态。有时胆结石可能会掉入腹腔,如果未取出胆结石,可能会导致腹腔脓肿。在常规影像学检查中,如腹部超声或计算机断层扫描(CT),通常可以正确诊断由未取出的胆结石引起的腹腔脓肿。在此,我们报告一例腹腔镜胆囊切除术后因未取出的胆结石形成脓肿的病例,其影像学表现酷似胆囊转移性腺癌。

病例摘要

该病例为一名78岁男性,接受了腹腔镜胆囊切除术,术后诊断为胆囊腺癌。辅助化疗后,腹部CT随访显示右上腹有几个小结节,考虑为腹膜癌转移。遂再次行腹腔镜手术切除种植性肿瘤,结节及肿块的病理诊断为炎性组织及胆结石。

结论

胆结石溢出是腹腔镜胆囊切除术中的常见并发症,由于结石大小或腹腔镜手术视野受限,一些胆结石未能取出。对于溢出的胆囊结石,外科医生可考虑定期进行CT随访,必要时可采用腹腔镜检查作为确诊和治疗的手段。

https://cdn.ncbi.nlm.nih.gov/pmc/blobs/b58d/10921212/82800562ef75/WJGS-16-622-g004.jpg
https://cdn.ncbi.nlm.nih.gov/pmc/blobs/b58d/10921212/f763d2f3e426/WJGS-16-622-g001.jpg
https://cdn.ncbi.nlm.nih.gov/pmc/blobs/b58d/10921212/00f57bfce162/WJGS-16-622-g002.jpg
https://cdn.ncbi.nlm.nih.gov/pmc/blobs/b58d/10921212/2436eca730ee/WJGS-16-622-g003.jpg
https://cdn.ncbi.nlm.nih.gov/pmc/blobs/b58d/10921212/82800562ef75/WJGS-16-622-g004.jpg
https://cdn.ncbi.nlm.nih.gov/pmc/blobs/b58d/10921212/f763d2f3e426/WJGS-16-622-g001.jpg
https://cdn.ncbi.nlm.nih.gov/pmc/blobs/b58d/10921212/00f57bfce162/WJGS-16-622-g002.jpg
https://cdn.ncbi.nlm.nih.gov/pmc/blobs/b58d/10921212/2436eca730ee/WJGS-16-622-g003.jpg
https://cdn.ncbi.nlm.nih.gov/pmc/blobs/b58d/10921212/82800562ef75/WJGS-16-622-g004.jpg

相似文献

1
Spilled gallstone mimicking intra-abdominal seeding of gallbladder adenocarcinoma: A case report.误诊为胆囊腺癌腹腔种植的溢出性胆结石:一例报告
World J Gastrointest Surg. 2024 Feb 27;16(2):622-627. doi: 10.4240/wjgs.v16.i2.622.
2
Spilled gallstones mimicking a retroperitoneal sarcoma following laparoscopic cholecystectomy.腹腔镜胆囊切除术后胆囊结石外溢酷似腹膜后肉瘤
World J Gastroenterol. 2016 May 7;22(17):4421-6. doi: 10.3748/wjg.v22.i17.4421.
3
Omental abscess due to a spilled gallstone after laparoscopic cholecystectomy.腹腔镜胆囊切除术后因胆结石溢出导致的网膜脓肿。
Clin J Gastroenterol. 2018 Oct;11(5):433-436. doi: 10.1007/s12328-018-0853-5. Epub 2018 Mar 21.
4
An unusual site of gallstones five years after laparoscopic cholecystectomy.腹腔镜胆囊切除术后五年胆结石出现的不寻常部位。
Int J Surg Case Rep. 2019;56:107-109. doi: 10.1016/j.ijscr.2019.02.038. Epub 2019 Mar 5.
5
Gallstone-related abdominal cystic mass presenting 6 years after laparoscopic cholecystectomy: A case report.腹腔镜胆囊切除术后6年出现的胆囊结石相关腹部囊性肿块:病例报告
Int J Surg Case Rep. 2017;32:70-72. doi: 10.1016/j.ijscr.2017.01.059. Epub 2017 Feb 11.
6
Port site metastases a year after initial laparoscopic cholecystectomy. Should the use of retrieval bags during laparoscopic cholecystectomy be the new gold standard?初次腹腔镜胆囊切除术后一年出现穿刺孔转移。腹腔镜胆囊切除术期间使用取物袋应成为新的金标准吗?
Pol Przegl Chir. 2021 May 31;93(6):61-65. doi: 10.5604/01.3001.0015.3280.
7
Dropped Gallstone Mimicking Retroperitoneal Tumor 5 Years After Laparoscopic Cholecystectomy Posing a Diagnostic Challenge.腹腔镜胆囊切除术后5年出现酷似腹膜后肿瘤的脱落胆囊结石,带来诊断挑战。
Cureus. 2022 Nov 9;14(11):e31284. doi: 10.7759/cureus.31284. eCollection 2022 Nov.
8
The outcome of unretrieved gallstones in the peritoneal cavity during laparoscopic cholecystectomy. A prospective analysis.腹腔镜胆囊切除术中腹腔内未取出胆结石的结局。一项前瞻性分析。
Surg Endosc. 1999 Sep;13(9):848-57. doi: 10.1007/s004649901118.
9
Spilled gallstones after laparoscopic cholecystectomy: a systematic review.腹腔镜胆囊切除术后胆石溢出:系统评价。
Pol Przegl Chir. 2022 May 24;95(2):1-20. doi: 10.5604/01.3001.0015.8571.
10
Sonographic features of intra-abdominal abscess caused by spilled stones during laparoscopic cholecystectomy.腹腔镜胆囊切除术期间结石溢出所致腹腔内脓肿的超声特征
J Med Ultrason (2001). 2003 Dec;30(4):233-9. doi: 10.1007/BF02481286.

本文引用的文献

1
Iatrogenic gallbladder perforation during laparoscopic cholecystectomy and outcomes: a systematic review and meta-analysis.腹腔镜胆囊切除术中医源性胆囊穿孔及其结局的系统评价和荟萃分析。
Langenbecks Arch Surg. 2022 May;407(3):937-946. doi: 10.1007/s00423-022-02439-2. Epub 2022 Jan 17.
2
Adverse Outcomes After Bile Spillage in Incidental Gallbladder Cancers: A Population-based Study.偶然胆囊癌胆汁外溢后的不良结局:一项基于人群的研究。
Ann Surg. 2021 Jan 1;273(1):139-144. doi: 10.1097/SLA.0000000000003325.
3
Bile Granuloma Mimicking Peritoneal Seeding: A Case Report.
酷似腹膜种植的胆汁肉芽肿:一例报告
J Pathol Transl Med. 2018 Sep;52(5):339-343. doi: 10.4132/jptm.2018.06.02. Epub 2018 Jul 16.
4
Spilled gallstones simulating peritoneal carcinomatosis: A case report and literature review.误诊为腹膜癌病的胆囊结石外漏:一例报告及文献复习
Int J Surg Case Rep. 2018;48:113-121. doi: 10.1016/j.ijscr.2018.04.016. Epub 2018 May 4.
5
Intraperitoneal Granulomas Unexpectedly Found during a Cesarean Delivery: A Late Complication of Dropped Gallstones.剖宫产术中意外发现的腹腔内肉芽肿:胆囊结石脱落的晚期并发症
Case Rep Pathol. 2017;2017:4873273. doi: 10.1155/2017/4873273. Epub 2017 Nov 23.
6
Spilled gallstones mimicking a retroperitoneal sarcoma following laparoscopic cholecystectomy.腹腔镜胆囊切除术后胆囊结石外溢酷似腹膜后肉瘤
World J Gastroenterol. 2016 May 7;22(17):4421-6. doi: 10.3748/wjg.v22.i17.4421.
7
Retained abdominal gallstones after laparoscopic cholecystectomy: a systematic review.腹腔镜胆囊切除术后残留腹腔胆结石:一项系统评价
Surg Laparosc Endosc Percutan Tech. 2015 Apr;25(2):97-9. doi: 10.1097/SLE.0000000000000105.
8
Spilled gallstones mimicking a liver tumor.
Clin Gastroenterol Hepatol. 2012 Nov;10(11):A32. doi: 10.1016/j.cgh.2012.06.026. Epub 2012 Jul 16.
9
Peritoneal bile granulomas identified at Cesarean section and mimicking disseminated malignancy.
Int J Surg Pathol. 2012 Feb;20(1):89-91. doi: 10.1177/1066896911409930. Epub 2011 Jun 1.
10
Spilled gallstones mimicking peritoneal metastases.溢出的胆结石酷似腹膜转移瘤。
JSLS. 2009 Jan-Mar;13(1):73-6.