• 文献检索
  • 文档翻译
  • 深度研究
  • 学术资讯
  • Suppr Zotero 插件Zotero 插件
  • 邀请有礼
  • 套餐&价格
  • 历史记录
应用&插件
Suppr Zotero 插件Zotero 插件浏览器插件Mac 客户端Windows 客户端微信小程序
定价
高级版会员购买积分包购买API积分包
服务
文献检索文档翻译深度研究API 文档MCP 服务
关于我们
关于 Suppr公司介绍联系我们用户协议隐私条款
关注我们

Suppr 超能文献

核心技术专利:CN118964589B侵权必究
粤ICP备2023148730 号-1Suppr @ 2026

文献检索

告别复杂PubMed语法,用中文像聊天一样搜索,搜遍4000万医学文献。AI智能推荐,让科研检索更轻松。

立即免费搜索

文件翻译

保留排版,准确专业,支持PDF/Word/PPT等文件格式,支持 12+语言互译。

免费翻译文档

深度研究

AI帮你快速写综述,25分钟生成高质量综述,智能提取关键信息,辅助科研写作。

立即免费体验

罕见巧合:甲型流感相关急性肾损伤并发管型肾病和淋巴瘤浸润

Unusual Coincidence: Concurrent Cast Nephropathy and Lymphoma Infiltration in an Influenza A-Associated Acute Kidney Injury.

作者信息

Lee Wan-Ching, Tsai Chun-Kuang, Li Szu-Yuan

机构信息

Division of Nephrology, Department of Internal Medicine, Taipei Veterans General Hospital, Taipei 11217, Taiwan.

Division of Hematology, Department of Internal Medicine, Taipei Veterans General Hospital, Taipei 11217, Taiwan.

出版信息

Case Rep Nephrol. 2024 Mar 1;2024:5524746. doi: 10.1155/2024/5524746. eCollection 2024.

DOI:10.1155/2024/5524746
PMID:38463384
原文链接:https://pmc.ncbi.nlm.nih.gov/articles/PMC10923615/
Abstract

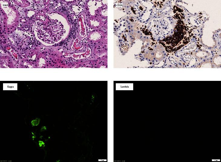
Acute kidney injury (AKI) poses a substantial challenge in the management of lymphoma patients and is frequently associated with diverse causative factors. Herein, we report an illustrative case involving a 47-year-old male with influenza A infection who developed severe AKI, which was incongruent with his medical history. Laboratory investigations disclosed aberrant immunoglobulin levels and urinary protein excretion, prompting further evaluation. A renal biopsy revealed the presence of infiltrating lymphoid cells and cast nephropathy, raising suspicion of an underlying hematological disorder. A comprehensive diagnostic workup, including positron emission tomography imaging and bone marrow biopsy, culminated in the definitive diagnosis of splenic marginal zone lymphoma. This case highlights the crucial significance of including lymphoma-associated kidney disorders in the evaluation of unexplained AKI, particularly when encountering unconventional clinical and laboratory results. Swift and precise intervention is of utmost importance in attaining positive results in these rare and complex clinical situations. This study underscores the persistent concern of AKI in lymphoma patients, with lymphocytic infiltration and cast nephropathy as notable elements contributing to the intricate nature of this condition.

摘要

急性肾损伤(AKI)在淋巴瘤患者的管理中构成了重大挑战,且常常与多种致病因素相关。在此,我们报告一例典型病例,一名47岁男性感染甲型流感后发生了严重的AKI,这与他的病史不符。实验室检查发现免疫球蛋白水平异常和尿蛋白排泄异常,促使进一步评估。肾活检显示有浸润性淋巴细胞和管型肾病,这引发了对潜在血液系统疾病的怀疑。包括正电子发射断层扫描成像和骨髓活检在内的全面诊断检查最终确诊为脾边缘区淋巴瘤。该病例凸显了在评估不明原因的AKI时纳入淋巴瘤相关肾脏疾病的至关重要性,尤其是在遇到非常规的临床和实验室结果时。在这些罕见且复杂的临床情况下,迅速而精确的干预对于取得积极结果至关重要。本研究强调了淋巴瘤患者中AKI这一持续存在的问题,淋巴细胞浸润和管型肾病是导致这种情况复杂性的显著因素。

https://cdn.ncbi.nlm.nih.gov/pmc/blobs/6d28/10923615/996c6cfa2b89/CRIN2024-5524746.003.jpg
https://cdn.ncbi.nlm.nih.gov/pmc/blobs/6d28/10923615/118605be760a/CRIN2024-5524746.001.jpg
https://cdn.ncbi.nlm.nih.gov/pmc/blobs/6d28/10923615/0d0bb5c03338/CRIN2024-5524746.002.jpg
https://cdn.ncbi.nlm.nih.gov/pmc/blobs/6d28/10923615/996c6cfa2b89/CRIN2024-5524746.003.jpg
https://cdn.ncbi.nlm.nih.gov/pmc/blobs/6d28/10923615/118605be760a/CRIN2024-5524746.001.jpg
https://cdn.ncbi.nlm.nih.gov/pmc/blobs/6d28/10923615/0d0bb5c03338/CRIN2024-5524746.002.jpg
https://cdn.ncbi.nlm.nih.gov/pmc/blobs/6d28/10923615/996c6cfa2b89/CRIN2024-5524746.003.jpg

相似文献

1
Unusual Coincidence: Concurrent Cast Nephropathy and Lymphoma Infiltration in an Influenza A-Associated Acute Kidney Injury.罕见巧合:甲型流感相关急性肾损伤并发管型肾病和淋巴瘤浸润
Case Rep Nephrol. 2024 Mar 1;2024:5524746. doi: 10.1155/2024/5524746. eCollection 2024.
2
Clinicopathological features and individualized treatment of kidney involvement in B-cell lymphoproliferative disorder.B 细胞淋巴增生性疾病肾脏累及的临床病理特征及个体化治疗。
Front Immunol. 2022 Sep 12;13:903315. doi: 10.3389/fimmu.2022.903315. eCollection 2022.
3
Cast nephropathy associated with monoclonal immunoglobulin M-secreting mucosa-associated lymphoid tissue B-cell lymphoma
.与分泌单克隆免疫球蛋白M的黏膜相关淋巴组织B细胞淋巴瘤相关的管型肾病
Clin Nephrol. 2019 Jun;91(6):380-385. doi: 10.5414/CN109682.
4
Acute kidney injury in an HIV patient with plasmablastic lymphoma - A double-edged sword.一名患有浆母细胞淋巴瘤的艾滋病患者出现急性肾损伤——一把双刃剑。
S Afr J Infect Dis. 2024 May 31;39(1):637. doi: 10.4102/sajid.v39i1.637. eCollection 2024.
5
Clinicopathological spectrum of renal parenchymal involvement in B-cell lymphoproliferative disorders.B 细胞淋巴增生性疾病肾实质浸润的临床病理特征。
Kidney Int. 2019 Jul;96(1):94-103. doi: 10.1016/j.kint.2019.01.027. Epub 2019 Mar 15.
6
Successful renal recovery from multiple myeloma-associated crystalline light chain cast nephropathy and accompanying acute kidney injury with early use of bortezomib-based therapy: a case report and literature review.多发性骨髓瘤相关结晶型轻链 casts 肾病伴急性肾损伤患者经硼替佐米为基础的早期治疗后成功恢复肾功能:病例报告及文献复习。
CEN Case Rep. 2023 Feb;12(1):56-62. doi: 10.1007/s13730-022-00721-2. Epub 2022 Jul 20.
7
All That Glitters Yellow Is Not Gold: Presentation and Pathophysiology of Bile Cast Nephropathy.黄如金者未必皆金:胆汁管型肾病的临床表现与病理生理学
Int J Surg Pathol. 2017 Oct;25(7):652-658. doi: 10.1177/1066896917713133. Epub 2017 Jun 14.
8
Crystals, crystals everywhere but not a clue till late… Light chain crystalline proximal tubulopathy with concomitant myeloma cast nephropathy.晶体,到处都是晶体,但直到很晚才找到线索……轻链结晶近端肾小管病伴伴发骨髓瘤 casts 肾病。
Indian J Pathol Microbiol. 2020 Jul-Sep;63(3):463-466. doi: 10.4103/IJPM.IJPM_756_18.
9
Light chain cast nephropathy caused by plasmablastic lymphoma of the bladder.膀胱浆母细胞淋巴瘤引起的轻链管型肾病。
Clin Nephrol Case Stud. 2021 Jul 1;9:72-80. doi: 10.5414/CNCS110339. eCollection 2021.
10
A Case of Myeloma Kidney with Perinuclear Anti-Neutrophil Cytoplasmic Antibody and Anti-Myeloperoxidase Positivity: The Importance of Determining the True Cause of Renal Impairment.一例伴有核周抗中性粒细胞胞浆抗体及抗髓过氧化物酶阳性的骨髓瘤肾病:明确肾损伤真正病因的重要性
Case Rep Nephrol Dial. 2020 Jul 29;10(2):79-85. doi: 10.1159/000509099. eCollection 2020 May-Aug.

引用本文的文献

1
Lambda Light Chain Cast Nephropathy Caused by Splenic Marginal Zone Lymphoma.脾边缘区淋巴瘤所致λ轻链管型肾病
Cureus. 2024 Dec 18;16(12):e75973. doi: 10.7759/cureus.75973. eCollection 2024 Dec.

本文引用的文献

1
Management of multiple myeloma-related renal impairment: recommendations from the International Myeloma Working Group.多发性骨髓瘤相关肾损害的管理:国际骨髓瘤工作组的建议。
Lancet Oncol. 2023 Jul;24(7):e293-e311. doi: 10.1016/S1470-2045(23)00223-1.
2
Multiple myeloma with acute light chain cast nephropathy.多发性骨髓瘤伴急性轻链型 Cast 肾病。
Blood Cancer J. 2023 Mar 29;13(1):46. doi: 10.1038/s41408-023-00806-w.
3
Acute Kidney Injury in Patients with Cancer.癌症患者的急性肾损伤
N Engl J Med. 2017 May 4;376(18):1770-1781. doi: 10.1056/NEJMra1613984.
4
Splenic marginal zone lymphoma: from genetics to management.脾脏边缘区淋巴瘤:从遗传学角度到治疗管理。
Blood. 2016 Apr 28;127(17):2072-81. doi: 10.1182/blood-2015-11-624312. Epub 2016 Mar 17.
5
Acute kidney injury in lymphoma: a single centre experience.淋巴瘤中的急性肾损伤:单中心经验
Int J Nephrol. 2014;2014:272961. doi: 10.1155/2014/272961. Epub 2014 Feb 3.
6
The many faces of marginal zone lymphoma.边缘区淋巴瘤的多面性。
Hematology Am Soc Hematol Educ Program. 2012;2012:426-32. doi: 10.1182/asheducation-2012.1.426.
7
The spectrum of kidney involvement in lymphoma: a case report and review of the literature.淋巴瘤肾脏受累的范围:病例报告及文献复习。
Am J Kidney Dis. 2010 Dec;56(6):1191-6. doi: 10.1053/j.ajkd.2010.07.009. Epub 2010 Sep 16.
8
Lymphomas diagnosed by percutaneous kidney biopsy.经皮肾活检诊断的淋巴瘤。
Am J Kidney Dis. 2003 Nov;42(5):960-71. doi: 10.1016/j.ajkd.2003.08.004.
9
Renal lesions associated with malignant lymphomas.与恶性淋巴瘤相关的肾脏病变。
Am J Med. 1962 Feb;32:184-207. doi: 10.1016/0002-9343(62)90289-9.
10
Acute renal failure due to lymphomatous infiltration of the kidneys.
J Am Soc Nephrol. 1997 Aug;8(8):1348-54. doi: 10.1681/ASN.V881348.