Suppr超能文献

肛门癌中β-人绒毛膜促性腺激素的异位产生:一例报告。

Ectopic production of beta-hCG in anal cancer: A case report.

作者信息

Silverwood Sierra, Kohler Peter, Kier Yelena

机构信息

Michigan State University College of Human Medicine Traverse City Michigan USA.

Cowell Cancer Center, Munson Healthcare Foundation Traverse City Michigan USA.

出版信息

Clin Case Rep. 2024 Mar 7;12(3):e8612. doi: 10.1002/ccr3.8612. eCollection 2024 Mar.

Abstract

KEY CLINICAL MESSAGE

Beta-hCG-producing anal cancer, though rare, poses significant diagnostic challenges and may resist standard therapies. Recognizing the potential for hormone production in anal cancer is important, as it underscores the need for more specialized diagnostic techniques and tailored treatments.

ABSTRACT

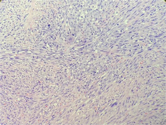
This case report describes the second reported case of ectopic production of beta-hCG in anal cancer. A 53-year-old female presented with a new anal lesion. Biopsy showed a poorly differentiated squamous cell cancer (SCC) with undifferentiated sarcomatoid features, stage IIIA (cT2cN1cM0). Before starting concurrent chemotherapy and radiation, the patient had a positive urine pregnancy test. The beta-human chorionic gonadotropin (beta-hCG) production was attributed to the tumor, and upon completion of treatment, beta-hCG normalized. Six weeks from treatment completion, recurrence was noted along with a positive beta-hCG urine test. This case aims to highlight beta-hCG as an ectopic hormone that can indicate the presence of squamous cell anal cancer and discuss the potential implications it may have on management.

摘要

关键临床信息

产生β-人绒毛膜促性腺激素(β-hCG)的肛管癌虽然罕见,但带来了重大的诊断挑战,且可能对标准治疗产生抵抗。认识到肛管癌产生激素的可能性很重要,因为这凸显了对更专业诊断技术和个性化治疗的需求。

摘要

本病例报告描述了第二例肛管癌异位产生β-hCG的病例。一名53岁女性出现新的肛管病变。活检显示为低分化鳞状细胞癌(SCC),具有未分化肉瘤样特征,ⅢA期(cT2cN1cM0)。在开始同步化疗和放疗之前,患者尿妊娠试验呈阳性。β-hCG的产生归因于肿瘤,治疗结束后,β-hCG恢复正常。治疗结束六周后,出现复发,同时尿β-hCG检测呈阳性。本病例旨在强调β-hCG作为一种异位激素可提示鳞状细胞肛管癌的存在,并探讨其对治疗可能产生的潜在影响。

https://cdn.ncbi.nlm.nih.gov/pmc/blobs/6384/10920316/edb1fa58b6b2/CCR3-12-e8612-g003.jpg

文献检索

告别复杂PubMed语法,用中文像聊天一样搜索,搜遍4000万医学文献。AI智能推荐,让科研检索更轻松。

立即免费搜索

文件翻译

保留排版,准确专业,支持PDF/Word/PPT等文件格式,支持 12+语言互译。

免费翻译文档

深度研究

AI帮你快速写综述,25分钟生成高质量综述,智能提取关键信息,辅助科研写作。

立即免费体验