Suppr超能文献

单侧舌萎缩作为前列腺癌患者的初始临床表现。

Unilateral tongue atrophy as the initial clinical manifestation in a patient with prostate cancer.

作者信息

Zahran Mohammed, Larios Henry, Rosales Victor, Coulson Adrian

机构信息

Neurology Department Manolo Morales Peralta Hospital Managua Nicaragua.

Pathology Department Manolo Morales Peralta Hospital Managua Nicaragua.

出版信息

Clin Case Rep. 2024 Mar 7;12(3):e8615. doi: 10.1002/ccr3.8615. eCollection 2024 Mar.

Abstract

KEY CLINICAL MESSAGE

Unilateral tongue atrophy can be a rare and crucial early indicator of metastatic prostate cancer, highlighting the need for vigilant monitoring in clinical assessments. This case underscores the importance of considering cranial nerve involvement, especially the twelfth, for timely intervention and comprehensive patient care.

ABSTRACT

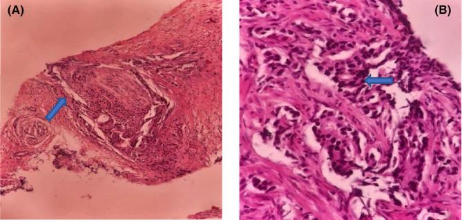
Prostate cancer, ranking among the most prevalent cancers, often manifests with skeletal metastases. Cranial nerve involvement, particularly the twelfth cranial nerve (XII), as an initial presentation is exceptionally rare. This case report outlines a unique instance of unilateral tongue atrophy as the primary clinical manifestation in a patient diagnosed with metastatic prostate cancer. A 54-year-old man presented with dysarthria and progressive weakness, later revealing signs of hypoglossal nerve paralysis, unilateral tongue atrophy, and skeletal metastases involving the base of the skull. Imaging studies, including CT and MRI, confirmed diffuse lytic lesions and cranial nerve entrapment. Further investigations identified elevated PSA levels, confirming acinar prostate adenocarcinoma. The patient underwent hormone therapy due to the poor prognosis. Prostate cancer's skeletal metastases are well-documented, but cranial nerve involvement remains rare, particularly with isolated XII nerve manifestation. The discussion emphasizes the diagnostic challenges, imaging techniques' roles, and the impact on prognosis and quality of life. This case underscores the rarity of unilateral XII nerve involvement as the initial presentation of metastatic prostate cancer. Clinicians should consider this manifestation, especially in men over 40, warranting a thorough diagnostic approach, including PSA measurement and referral for appropriate oncological and urological interventions.

摘要

关键临床信息

单侧舌萎缩可能是转移性前列腺癌罕见但关键的早期指标,凸显了临床评估中进行警惕监测的必要性。该病例强调了考虑颅神经受累,尤其是第十二对颅神经受累,以便及时干预和全面的患者护理的重要性。

摘要

前列腺癌是最常见的癌症之一,常表现为骨转移。以颅神经受累,尤其是第十二对颅神经(XII)作为初始表现极为罕见。本病例报告概述了一例独特的病例,一名被诊断为转移性前列腺癌的患者以单侧舌萎缩为主要临床表现。一名54岁男性出现构音障碍和进行性肌无力,随后出现舌下神经麻痹、单侧舌萎缩以及累及颅底的骨转移迹象。包括CT和MRI在内的影像学检查证实了弥漫性溶骨性病变和颅神经受压。进一步检查发现前列腺特异性抗原(PSA)水平升高,确诊为腺泡性前列腺腺癌。由于预后不良,患者接受了激素治疗。前列腺癌的骨转移已有充分记录,但颅神经受累仍然罕见,尤其是孤立的第十二对神经表现。讨论强调了诊断挑战、成像技术的作用以及对预后和生活质量的影响。该病例强调了单侧第十二对神经受累作为转移性前列腺癌初始表现的罕见性。临床医生应考虑这种表现,尤其是在40岁以上男性中,需要采取全面的诊断方法,包括PSA测量以及转诊以进行适当的肿瘤学和泌尿学干预。

https://cdn.ncbi.nlm.nih.gov/pmc/blobs/8684/10920314/52e299a3ec6b/CCR3-12-e8615-g002.jpg

文献检索

告别复杂PubMed语法,用中文像聊天一样搜索,搜遍4000万医学文献。AI智能推荐,让科研检索更轻松。

立即免费搜索

文件翻译

保留排版,准确专业,支持PDF/Word/PPT等文件格式,支持 12+语言互译。

免费翻译文档

深度研究

AI帮你快速写综述,25分钟生成高质量综述,智能提取关键信息,辅助科研写作。

立即免费体验