Suppr超能文献

胃束带侵蚀入胃的取出:一例通过腹腔镜和结肠镜联合方法处理的胃肠瘘病例

Retrieval of Gastric Band Eroding Into the Stomach: A Gastrointestinal Fistula Case Managed Through a Combined Laparoscopic and Colonoscopic Approach.

作者信息

Binjaloud Ahmed, Alotaibi Ahad, Alsubhi Samar, Altamimi Anfal, Nafea Osamah, Al Yousef Zeyad

机构信息

Department of Surgery, King Saud University Medical City, King Saud University, Riyadh, SAU.

Department of General Surgery, King Abdulaziz Medical City, Riyadh, SAU.

出版信息

Cureus. 2024 Feb 8;16(2):e53846. doi: 10.7759/cureus.53846. eCollection 2024 Feb.

Abstract

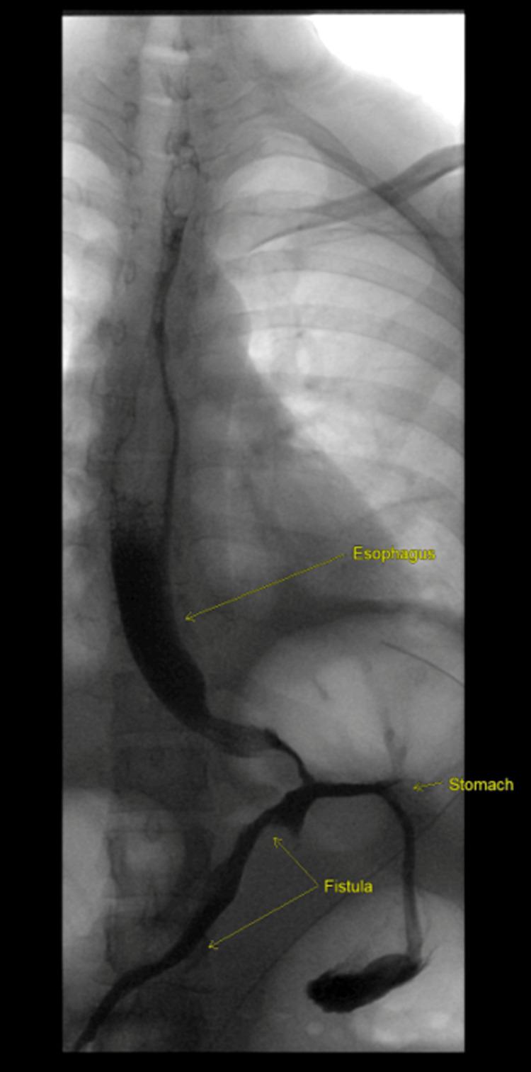
Obesity is an important public health concern worldwide. In Saudi Arabia, the overall prevalence of obesity has increased in both men and women in recent decades. The laparoscopic approach to bariatric surgery was first reported in the 1990s, with laparoscopic adjustable gastric banding (LAGB) developed soon after. The performance of bariatric procedures has increased rapidly in recent years, with safety and efficacy data available for the surgical treatment of obesity and related metabolic disorders. Herein, we report a challenging condition of a female patient who underwent LAGB insertion in 2013. The patient presented with a complaint of a foreign body passing through her rectum during defecation that was manually pushed back by the patient. Radiological imaging and upper/lower endoscopy confirmed the diagnosis of complete gastric band erosion into the stomach, and the reservoir with the remaining tube was observed inside the colon near the splenic flexure. This case was complicated by complete band erosion and gastrointestinal (GI) fistula formation following the delivery of her second child in January 2022. Colonic band erosion is a rare complication of LAGB. Most patients with gastric band erosion are asymptomatic or exhibit nonspecific symptoms. The definitive management of gastric band erosion involves band removal. Several approaches are commonly used in clinical practice. In our case, the band was removed using a combined laparoscopic and endoscopic retrieval approach, which is the first such report in the literature.

摘要

肥胖是全球重要的公共卫生问题。在沙特阿拉伯,近几十年来,男性和女性的肥胖总体患病率均有所上升。腹腔镜减肥手术方法于20世纪90年代首次报道,随后不久便开发出了腹腔镜可调节胃束带术(LAGB)。近年来,减肥手术的实施迅速增加,有关于肥胖及相关代谢紊乱手术治疗的安全性和有效性数据。在此,我们报告一例具有挑战性的病例,一名女性患者于2013年接受了LAGB植入术。患者主诉排便时有异物从直肠排出,患者自行将其推回。放射影像学检查及上/下消化道内镜检查确诊为胃束带完全侵蚀入胃,在脾曲附近的结肠内观察到带有剩余导管的贮液器。该病例在2022年1月患者分娩第二个孩子后并发胃束带完全侵蚀和胃肠道(GI)瘘形成。结肠束带侵蚀是LAGB的一种罕见并发症。大多数胃束带侵蚀患者无症状或表现出非特异性症状。胃束带侵蚀的最终治疗方法是取出束带。临床实践中常用几种方法。在我们的病例中,采用腹腔镜和内镜联合取出束带的方法,这是文献中首次此类报道。

https://cdn.ncbi.nlm.nih.gov/pmc/blobs/8d48/10924469/cacc45d81962/cureus-0016-00000053846-i01.jpg

文献检索

告别复杂PubMed语法,用中文像聊天一样搜索,搜遍4000万医学文献。AI智能推荐,让科研检索更轻松。

立即免费搜索

文件翻译

保留排版,准确专业,支持PDF/Word/PPT等文件格式,支持 12+语言互译。

免费翻译文档

深度研究

AI帮你快速写综述,25分钟生成高质量综述,智能提取关键信息,辅助科研写作。

立即免费体验