Suppr超能文献

评价 AXL 在融合阳性小儿横纹肌肉瘤中的作用,发现小分子抑制剂贝美替尼(BGB324)作为有效的化疗增敏剂。

Evaluation of the Role of AXL in Fusion-positive Pediatric Rhabdomyosarcoma Identifies the Small-molecule Inhibitor Bemcentinib (BGB324) as Potent Chemosensitizer.

机构信息

Department of Oncology and Children's Research Center, University Children's Hospital of Zürich, Zürich, Switzerland.

Balgrist University Hospital, Faculty of Medicine, University of Zürich (UZH), Zürich, Switzerland.

出版信息

Mol Cancer Ther. 2024 Jun 4;23(6):864-876. doi: 10.1158/1535-7163.MCT-23-0285.

Abstract

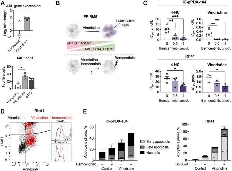
Rhabdomyosarcoma (RMS) is a highly aggressive pediatric cancer with features of skeletal muscle differentiation. More than 80% of the high-risk patients ultimately fail to respond to chemotherapy treatment, leading to limited therapeutic options and dismal prognostic rates. The lack of response and subsequent tumor recurrence is driven in part by stem cell-like cells, the tumor subpopulation that is enriched after treatment, and characterized by expression of the AXL receptor tyrosine kinase (AXL). AXL mediates survival, migration, and therapy resistance in several cancer types; however, its function in RMS remains unclear. In this study, we investigated the role of AXL in RMS tumorigenesis, migration, and chemotherapy response, and whether targeting of AXL with small-molecule inhibitors could potentiate the efficacy of chemotherapy. We show that AXL is expressed in a heterogeneous manner in patient-derived xenografts (PDX), primary cultures and cell line models of RMS, consistent with its stem cell-state selectivity. By generating a CRISPR/Cas9 AXL knock-out and overexpressing models, we show that AXL contributes to the migratory phenotype of RMS, but not to chemotherapy resistance. Instead, pharmacologic blockade with the AXL inhibitors bemcentinib (BGB324), cabozantinib and NPS-1034 rapidly killed RMS cells in an AXL-independent manner and augmented the efficacy of the chemotherapeutics vincristine and cyclophosphamide. In vivo administration of the combination of bemcentinib and vincristine exerted strong antitumoral activity in a rapidly progressing PDX mouse model, significantly reducing tumor burden compared with single-agent treatment. Collectively, our data identify bemcentinib as a promising drug to improve chemotherapy efficacy in patients with RMS.

摘要

横纹肌肉瘤(RMS)是一种具有骨骼肌分化特征的高度侵袭性小儿癌症。超过 80%的高危患者最终无法对化疗治疗产生反应,导致治疗选择有限且预后率较差。缺乏反应和随后的肿瘤复发部分是由干细胞样细胞驱动的,这些肿瘤亚群在治疗后得到富集,并表现出 AXL 受体酪氨酸激酶(AXL)的表达。AXL 在几种癌症类型中介导存活、迁移和治疗耐药性;然而,其在 RMS 中的功能尚不清楚。在这项研究中,我们研究了 AXL 在 RMS 肿瘤发生、迁移和化疗反应中的作用,以及用小分子抑制剂靶向 AXL 是否可以增强化疗的疗效。我们表明,AXL 在患者来源的异种移植(PDX)、RMS 的原代培养物和细胞系模型中以异质方式表达,与它的干细胞状态选择性一致。通过生成 CRISPR/Cas9 AXL 敲除和过表达模型,我们表明 AXL 有助于 RMS 的迁移表型,但与化疗耐药性无关。相反,用 AXL 抑制剂 bemcentinib(BGB324)、cabozantinib 和 NPS-1034 进行药理学阻断以 AXL 非依赖性方式迅速杀死 RMS 细胞,并增强了长春新碱和环磷酰胺等化疗药物的疗效。在快速进展的 PDX 小鼠模型中,bemcentinib 与长春新碱联合给药具有强大的抗肿瘤活性,与单一药物治疗相比,显著降低了肿瘤负担。总之,我们的数据确定 bemcentinib 是一种有前途的药物,可以提高 RMS 患者的化疗疗效。

https://cdn.ncbi.nlm.nih.gov/pmc/blobs/114d/11148551/3d3cf1ac4734/864fig1.jpg

文献AI研究员

20分钟写一篇综述,助力文献阅读效率提升50倍。

立即体验

用中文搜PubMed

大模型驱动的PubMed中文搜索引擎

马上搜索

文档翻译

学术文献翻译模型,支持多种主流文档格式。

立即体验