Suppr超能文献

产后绒癌——产后晚期出血的罕见原因:四例病例报告及文献复习。

Postpartum choriocarcinoma - a rare cause of delayed postpartum hemorrhage: Four case reports and literature review.

机构信息

Department of Obstetrics and Gynecology, West China Second University Hospital of Sichuan University, Chengdu, Sichuan, China.

Key Laboratory of Birth Defects and Related Diseases of Women and Children (Sichuan University), Ministry of Education, Chengdu, Sichuan, China.

出版信息

Medicine (Baltimore). 2024 Mar 15;103(11):e37510. doi: 10.1097/MD.0000000000037510.

Abstract

BACKGROUND

Delayed postpartum hemorrhage is rare, with an incidence of 0.5% to 2.0% in all pregnancies. The most important causes are placental remnants, infections, and placental bed subinvolution. Postpartum choriocarcinoma, a highly malignant complication of pregnancy, is a rare condition that can be easily misdiagnosed as other common causes, such as gestational remnants, and delays the diagnosis.

METHODS

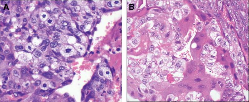
Four patients visited our clinic complaining of delayed postpartum hemorrhage, combined with respiratory and neurological symptoms in 2 cases. Two cases were confirmed by histopathological examination and in addition, medical history, elevated human chorionic gonadotropin (hCG) level, and imaging findings help confirm the diagnosis of delayed postpartum hemorrhage caused by postpartum choriocarcinoma in other cases. Individualized combination chemotherapies were prescribed. In the light of massive cerebral metastasis in case 2, intrathecal methotrexate injection combined with whole-brain radiotherapy was prescribed.

RESULTS

Due to the absence of routine monitoring of β-hCG following full-term delivery, there was widespread metastasis at the time of diagnosis. Three patients got complete remission and there is no sign of recurrence. One patient had relapse and widespread metastasis and died at home 6 months after the last chemotherapy.

CONCLUSION

It is important to be aware of the possibility of choriocarcinoma in patients with delayed postpartum hemorrhage. Clinicians should improve the recognition of choriocarcinoma following full-term delivery, emphasize the monitoring of β-hCG, comprehensively analyze the general condition of patients, and conduct standardized and individualized chemotherapy protocols.

摘要

背景

产后出血延迟罕见,发病率为所有妊娠的 0.5%至 2.0%。最常见的原因是胎盘残留、感染和胎盘床复旧不全。绒癌是妊娠的一种高度恶性并发症,较为罕见,易误诊为其他常见原因,如妊娠残留物,并导致诊断延迟。

方法

4 名患者因产后出血延迟就诊,其中 2 例伴有呼吸和神经系统症状。2 例经组织病理学检查确诊,此外,病史、人绒毛膜促性腺激素(hCG)水平升高和影像学检查有助于确诊其他病例因产后绒癌导致的产后出血。给予个体化联合化疗。鉴于第 2 例患者有大量脑转移,给予鞘内注射甲氨蝶呤联合全脑放疗。

结果

由于足月分娩后未常规监测β-hCG,因此诊断时已广泛转移。3 例患者完全缓解,无复发迹象。1 例患者复发且广泛转移,末次化疗后 6 个月在家中死亡。

结论

对于产后出血延迟的患者,应警惕绒癌的可能。临床医生应提高对足月分娩后绒癌的认识,强调β-hCG 的监测,综合分析患者的一般情况,并进行规范化、个体化的化疗方案。

https://cdn.ncbi.nlm.nih.gov/pmc/blobs/97a0/10939666/ee2d83fce207/medi-103-e37510-g001.jpg

文献AI研究员

20分钟写一篇综述,助力文献阅读效率提升50倍。

立即体验

用中文搜PubMed

大模型驱动的PubMed中文搜索引擎

马上搜索

文档翻译

学术文献翻译模型,支持多种主流文档格式。

立即体验