Department of Oncology, The First Affiliated Hospital, Jiangxi Medical College, Nanchang University, Nanchang, Jiangxi, People's Republic of China.
Jiangxi Key Laboratory for Individual Cancer Therapy, Nanchang, Jiangxi, People's Republic of China.
Cell Mol Life Sci. 2024 Mar 17;81(1):143. doi: 10.1007/s00018-024-05178-3.
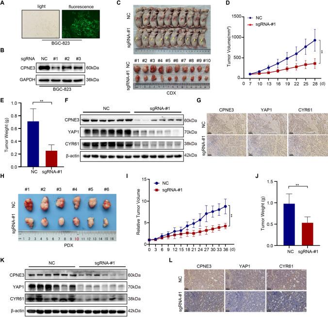
Hippo-Yes-associated protein 1 (YAP1) plays an important role in gastric cancer (GC) progression; however, its regulatory network remains unclear. In this study, we identified Copine III (CPNE3) was identified as a novel direct target gene regulated by the YAP1/TEADs transcription factor complex. The downregulation of CPNE3 inhibited proliferation and invasion, and increased the chemosensitivity of GC cells, whereas the overexpression of CPNE3 had the opposite biological effects. Mechanistically, CPNE3 binds to the YAP1 protein in the cytoplasm, inhibiting YAP1 ubiquitination and degradation mediated by the E3 ubiquitination ligase β-transducin repeat-containing protein (β-TRCP). Thereby activating the transcription of YAP1 downstream target genes, which creates a positive feedback cycle to facilitate GC progression. Immunohistochemical analysis demonstrated significant upregulation of CPNE3 in GC tissues. Survival and Cox regression analyses indicated that high CPNE3 expression was an independent prognostic marker for GC. This study elucidated the pivotal involvement of an aberrantly activated CPNE3/YAP1 positive feedback loop in the malignant progression of GC, thereby uncovering novel prognostic factors and therapeutic targets in GC.
Hippo-Yes 相关蛋白 1(YAP1)在胃癌(GC)进展中发挥重要作用;然而,其调控网络仍不清楚。在本研究中,我们鉴定出 Copine III(CPNE3)是 YAP1/TEADs 转录因子复合物调控的新型直接靶基因。CPNE3 的下调抑制了 GC 细胞的增殖和侵袭,并增加了其化疗敏感性,而 CPNE3 的过表达则具有相反的生物学效应。机制上,CPNE3 在细胞质中与 YAP1 蛋白结合,抑制由 E3 泛素连接酶 β-转导重复蛋白(β-TRCP)介导的 YAP1 泛素化和降解。从而激活 YAP1 下游靶基因的转录,形成正反馈循环,促进 GC 的进展。免疫组织化学分析表明 CPNE3 在 GC 组织中显著上调。生存和 Cox 回归分析表明,CPNE3 高表达是 GC 的独立预后标志物。本研究阐明了异常激活的 CPNE3/YAP1 正反馈环在 GC 恶性进展中的关键作用,从而揭示了 GC 的新型预后因素和治疗靶点。