• 文献检索
  • 文档翻译
  • 深度研究
  • 学术资讯
  • Suppr Zotero 插件Zotero 插件
  • 邀请有礼
  • 套餐&价格
  • 历史记录
应用&插件
Suppr Zotero 插件Zotero 插件浏览器插件Mac 客户端Windows 客户端微信小程序
定价
高级版会员购买积分包购买API积分包
服务
文献检索文档翻译深度研究API 文档MCP 服务
关于我们
关于 Suppr公司介绍联系我们用户协议隐私条款
关注我们

Suppr 超能文献

核心技术专利:CN118964589B侵权必究
粤ICP备2023148730 号-1Suppr @ 2026

文献检索

告别复杂PubMed语法,用中文像聊天一样搜索,搜遍4000万医学文献。AI智能推荐,让科研检索更轻松。

立即免费搜索

文件翻译

保留排版,准确专业,支持PDF/Word/PPT等文件格式,支持 12+语言互译。

免费翻译文档

深度研究

AI帮你快速写综述,25分钟生成高质量综述,智能提取关键信息,辅助科研写作。

立即免费体验

建立载脂蛋白 E 基因敲除小鼠动脉粥样硬化合并急性结肠炎的杂交模型。

Establishment of a hybrid model of atherosclerosis and acute colitis in ApoE-/- mice.

机构信息

Shenzhen Key Laboratory for Drug Addiction and Medication Safety, Department of Ultrasound, Institute of Ultrasonic Medicine, Peking University Shenzhen Hospital, The Hong Kong University of Science and Technology Medical Center, Shenzhen- Peking University, Shenzhen, P. R. China.

Department of Ultrasound, Nanjing Drum Tower Hospital, Nanjing, P. R. China.

出版信息

PLoS One. 2024 Mar 18;19(3):e0289820. doi: 10.1371/journal.pone.0289820. eCollection 2024.

DOI:10.1371/journal.pone.0289820
PMID:38498570
原文链接:https://pmc.ncbi.nlm.nih.gov/articles/PMC10947657/
Abstract

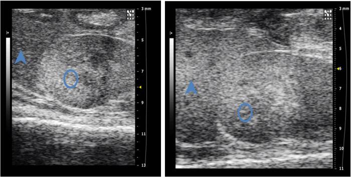
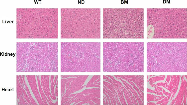
Inflammatory bowel disease (IBD) and atherosclerosis (AS) are both common chronic inflammatory diseases with similar pathophysiological mechanisms. Some studies have shown that IBD patients are at increased risk for early atherosclerosis, myocardial infarction and venous thrombosis. Here we set up a hybrid mouse model associated with atherosclerosis and acute colitis in order to investigate the interplay of the two diseases. We fed ApoE-/- mice with high fat diet to establish atherosclerosis model, and used animal ultrasound machine to detect the artery of mice noninvasively. Then a new hybrid model of atherosclerosis and acute colitis was prepared by drinking water for 7 days. At the end of the experiment, the hybrid model mice showed typically pathological and intuitionistic changes of atherosclerosis and acute colitis. We found the shortened colon length, high histopathological scores of the colon with mucosal erosion and necrosis, hyperlipidemia, a plaque-covered mouse aorta and plaque with foam cells and lipid deposition in the hybrid model group, which proved that the hybrid model was successfully established. At the same time, ultrasonic detection showed that the end-diastolic blood flow velocity and the relative dilation value were decreased, while systolic time / diastolic time, the wall thickness, systolic diameters as well as diastolic diameters were gradually increased, and statistical significance appeared as early as 8 weeks. We clearly described the process of establishing a hybrid model of atherosclerosis and acute colitis, which might provide a repeatable platform for the interaction mechanism exploring and drug screening of atherosclerosis and inflammatory bowel disease in preclinical study.

摘要

炎症性肠病(IBD)和动脉粥样硬化(AS)都是常见的慢性炎症性疾病,具有相似的病理生理机制。一些研究表明,IBD 患者发生早发动脉粥样硬化、心肌梗死和静脉血栓形成的风险增加。在这里,我们建立了一个与动脉粥样硬化和急性结肠炎相关的杂交小鼠模型,以研究这两种疾病的相互作用。我们用高脂肪饮食喂养 ApoE-/- 小鼠以建立动脉粥样硬化模型,并使用动物超声机对小鼠的动脉进行非侵入性检测。然后,通过连续 7 天饮水建立了新的动脉粥样硬化和急性结肠炎杂交模型。实验结束时,杂交模型小鼠表现出典型的动脉粥样硬化和急性结肠炎的病理和直观变化。我们发现,杂交模型组小鼠的结肠缩短,结肠黏膜糜烂和坏死的组织学评分较高,存在高脂血症、斑块覆盖的小鼠主动脉以及斑块中泡沫细胞和脂质沉积,证明该杂交模型成功建立。同时,超声检测显示,舒张末期血流速度和相对扩张值降低,而收缩时间/舒张时间、壁厚度、收缩直径以及舒张直径逐渐增加,早在 8 周时就出现了统计学意义。我们清楚地描述了建立动脉粥样硬化和急性结肠炎杂交模型的过程,为临床前研究中动脉粥样硬化和炎症性肠病的相互作用机制探索和药物筛选提供了一个可重复的平台。

https://cdn.ncbi.nlm.nih.gov/pmc/blobs/74ef/10947657/3dd2dba8ce7c/pone.0289820.g005.jpg
https://cdn.ncbi.nlm.nih.gov/pmc/blobs/74ef/10947657/4ea3f7c6741f/pone.0289820.g001.jpg
https://cdn.ncbi.nlm.nih.gov/pmc/blobs/74ef/10947657/6b4d4bd49154/pone.0289820.g002.jpg
https://cdn.ncbi.nlm.nih.gov/pmc/blobs/74ef/10947657/751693d7cc3c/pone.0289820.g003.jpg
https://cdn.ncbi.nlm.nih.gov/pmc/blobs/74ef/10947657/fdfd0554cfd4/pone.0289820.g004.jpg
https://cdn.ncbi.nlm.nih.gov/pmc/blobs/74ef/10947657/3dd2dba8ce7c/pone.0289820.g005.jpg
https://cdn.ncbi.nlm.nih.gov/pmc/blobs/74ef/10947657/4ea3f7c6741f/pone.0289820.g001.jpg
https://cdn.ncbi.nlm.nih.gov/pmc/blobs/74ef/10947657/6b4d4bd49154/pone.0289820.g002.jpg
https://cdn.ncbi.nlm.nih.gov/pmc/blobs/74ef/10947657/751693d7cc3c/pone.0289820.g003.jpg
https://cdn.ncbi.nlm.nih.gov/pmc/blobs/74ef/10947657/fdfd0554cfd4/pone.0289820.g004.jpg
https://cdn.ncbi.nlm.nih.gov/pmc/blobs/74ef/10947657/3dd2dba8ce7c/pone.0289820.g005.jpg

相似文献

1
Establishment of a hybrid model of atherosclerosis and acute colitis in ApoE-/- mice.建立载脂蛋白 E 基因敲除小鼠动脉粥样硬化合并急性结肠炎的杂交模型。
PLoS One. 2024 Mar 18;19(3):e0289820. doi: 10.1371/journal.pone.0289820. eCollection 2024.
2
Comprehensive Analysis of 1-Year-Old Female Apolipoprotein E-Deficient Mice Reveals Advanced Atherosclerosis with Vulnerable Plaque Characteristics.对1岁雌性载脂蛋白E缺陷小鼠的综合分析揭示了具有易损斑块特征的晚期动脉粥样硬化。
Int J Mol Sci. 2024 Jan 22;25(2):1355. doi: 10.3390/ijms25021355.
3
[Impact of rosuvastatin on atherosclerosis lesions in apolipoprotein E knockout mice].[瑞舒伐他汀对载脂蛋白E基因敲除小鼠动脉粥样硬化病变的影响]
Zhonghua Xin Xue Guan Bing Za Zhi. 2011 Aug;39(8):743-8.
4
Dengyinnaotong attenuates atherosclerotic lesions, gut dysbiosis and intestinal epithelial barrier impairment in the high fat diet-fed ApoE mice.灯银脑通能减轻高脂饮食喂养的 ApoE 小鼠的动脉粥样硬化病变、肠道菌群失调和肠道上皮屏障损伤。
J Ethnopharmacol. 2024 Jan 10;318(Pt A):116916. doi: 10.1016/j.jep.2023.116916. Epub 2023 Jul 13.
5
Ultrasound Biomicroscopic Imaging for Interleukin-1 Receptor Antagonist-Inhibiting Atherosclerosis and Markers of Inflammation in Atherosclerotic Development in Apolipoprotein-E Knockout Mice.超声生物显微镜成像用于白细胞介素-1受体拮抗剂抑制载脂蛋白E基因敲除小鼠动脉粥样硬化发展及动脉粥样硬化形成过程中的炎症标志物研究
Tex Heart Inst J. 2015 Aug 1;42(4):319-26. doi: 10.14503/THIJ-14-4318. eCollection 2015 Aug.
6
Nicotinamide phosphoribosyltransferase aggravates inflammation and promotes atherosclerosis in ApoE knockout mice.烟酰胺磷酸核糖基转移酶加剧载脂蛋白 E 基因敲除小鼠的炎症反应并促进动脉粥样硬化形成。
Acta Pharmacol Sin. 2019 Sep;40(9):1184-1192. doi: 10.1038/s41401-018-0207-3. Epub 2019 Mar 4.
7
Endothelin-1 overexpression exacerbates atherosclerosis and induces aortic aneurysms in apolipoprotein E knockout mice.内皮素-1 过表达加剧载脂蛋白 E 基因敲除小鼠的动脉粥样硬化并诱导其发生主动脉瘤。
Arterioscler Thromb Vasc Biol. 2013 Oct;33(10):2306-15. doi: 10.1161/ATVBAHA.113.302028. Epub 2013 Jul 25.
8
Low dose dietary nitrate improves endothelial dysfunction and plaque stability in the ApoE mouse fed a high fat diet.低剂量膳食硝酸盐可改善高脂饮食喂养的载脂蛋白E小鼠的内皮功能障碍和斑块稳定性。
Free Radic Biol Med. 2016 Oct;99:189-198. doi: 10.1016/j.freeradbiomed.2016.08.009. Epub 2016 Aug 9.
9
Nur77 decreases atherosclerosis progression in apoE(-/-) mice fed a high-fat/high-cholesterol diet.在喂食高脂/高胆固醇饮食的载脂蛋白E基因敲除(apoE(-/-))小鼠中,Nur77可减缓动脉粥样硬化的进展。
PLoS One. 2014 Jan 31;9(1):e87313. doi: 10.1371/journal.pone.0087313. eCollection 2014.
10
Effects of Shenlian extract on experimental atherosclerosis in ApoE-deficient mice based on ultrasound biomicroscopy.基于超声生物显微镜观察参莲提取物对载脂蛋白E基因敲除小鼠实验性动脉粥样硬化的影响
BMC Complement Altern Med. 2016 Nov 15;16(1):469. doi: 10.1186/s12906-016-1449-6.

本文引用的文献

1
Ischemic Heart Disease in Patients with Inflammatory Bowel Disease: Risk Factors, Mechanisms and Prevention.炎症性肠病患者的缺血性心脏病:危险因素、机制与预防
Life (Basel). 2022 Jul 24;12(8):1113. doi: 10.3390/life12081113.
2
P2Y1R Ligation Suppresses Th17 Cell Differentiation and Alleviates Colonic Inflammation in an AMPK-Dependent Manner.P2Y1R 配体通过依赖 AMPK 的方式抑制 Th17 细胞分化并缓解结肠炎症。
Front Immunol. 2022 Feb 10;13:820524. doi: 10.3389/fimmu.2022.820524. eCollection 2022.
3
Inflammatory Bowel Disease and Atherosclerotic Cardiovascular Disease: JACC Review Topic of the Week.
炎症性肠病与动脉粥样硬化性心血管疾病:美国心脏病学会评论专题之炎症性肠病周
J Am Coll Cardiol. 2020 Dec 15;76(24):2895-2905. doi: 10.1016/j.jacc.2020.10.027.
4
The role of coexisting cardiovascular disease on disease severity in patients with inflammatory bowel disease.并存的心血管疾病对炎症性肠病患者疾病严重程度的作用。
Eur J Gastroenterol Hepatol. 2020 Nov;32(11):1480-1481. doi: 10.1097/MEG.0000000000001767.
5
Obesity and Coronary Heart Disease: Epidemiology, Pathology, and Coronary Artery Imaging.肥胖与冠心病:流行病学、病理学与冠状动脉成像。
Curr Probl Cardiol. 2021 Mar;46(3):100655. doi: 10.1016/j.cpcardiol.2020.100655. Epub 2020 Jul 22.
6
The role of coexisting cardiovascular disease on disease severity in patients with inflammatory bowel disease.炎症性肠病患者共存心血管疾病对疾病严重程度的影响。
Eur J Gastroenterol Hepatol. 2020 May;32(5):581-587. doi: 10.1097/MEG.0000000000001674.
7
A preclinical ultrasound method for the assessment of vascular disease progression in murine models.一种用于评估小鼠模型中血管疾病进展的临床前超声方法。
Ultrasound. 2019 May;27(2):85-93. doi: 10.1177/1742271X18793919. Epub 2018 Aug 7.
8
Risk of Myocardial Infarction in Inflammatory Bowel Disease: A Population-based National Study.炎症性肠病患者心肌梗死的风险:一项基于人群的全国性研究。
Inflamm Bowel Dis. 2019 May 4;25(6):1080-1087. doi: 10.1093/ibd/izy354.
9
Inflammatory bowel disease and cardiovascular disease incidence and mortality: A meta-analysis.炎症性肠病与心血管疾病的发病和死亡:荟萃分析。
Eur J Prev Cardiol. 2018 Oct;25(15):1623-1631. doi: 10.1177/2047487318792952. Epub 2018 Aug 3.
10
Genistein induces macrophage polarization and systemic cytokine to ameliorate experimental colitis.染料木黄酮诱导巨噬细胞极化并全身性细胞因子改善实验性结肠炎。
PLoS One. 2018 Jul 19;13(7):e0199631. doi: 10.1371/journal.pone.0199631. eCollection 2018.