Suppr超能文献

采用血管腔内释放亚当斯-德威斯夹及髂腔静脉重建术治疗下肢严重肿胀。

Endovascular release of an Adams-DeWeese clip and iliocaval reconstruction for debilitating lower extremity swelling.

作者信息

Sung Eric, Ramirez Joel L, Zarkowsky Devin

机构信息

Division of Vascular and Endovascular Surgery, Department of Surgery, Boston Medical Center, Boston University Chobanian and Avedisian School of Medicine, Boston, MA.

Division of Vascular and Endovascular Surgery, Department of Surgery, University of California, San Francisco, San Francisco, CA.

出版信息

J Vasc Surg Cases Innov Tech. 2024 Feb 14;10(3):101445. doi: 10.1016/j.jvscit.2024.101445. eCollection 2024 Jun.

Abstract

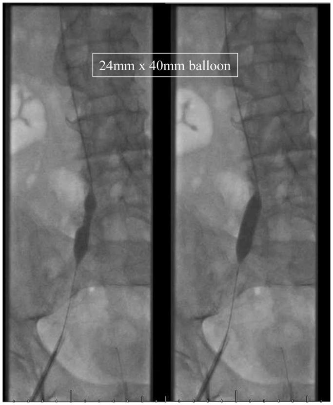
More than 10 million cases of venous thromboembolisms are reported on an annual basis and are major contributors to morbidity and mortality. Studies have found that ≤90% of pulmonary embolisms originate from the abdominal and lower extremity veins. The mainstay of venous thromboembolism treatment has been, and still continues to be, anticoagulation. However, for patients for whom anticoagulation is contraindicated or has failed, physicians have turned to surgical innovations such as inferior vena cava (IVC) filters to create partial interruption of the IVC. Before the invention of IVC filters, the Adams-DeWeese clip was developed to create caval interruption, which allowed for venous return while preventing pulmonary emboli from distal veins. We report a case of endovascular release of a long-term Adams-DeWeese clip, which had caused IVC occlusion and debilitating bilateral lower extremity swelling.

摘要

每年报告的静脉血栓栓塞病例超过1000万,是发病和死亡的主要原因。研究发现,≤90%的肺栓塞起源于腹部和下肢静脉。静脉血栓栓塞治疗的主要方法一直是且仍然是抗凝治疗。然而,对于抗凝治疗禁忌或失败的患者,医生已转向诸如下腔静脉(IVC)滤器等手术创新方法,以部分中断下腔静脉。在IVC滤器发明之前,Adams-DeWeese夹被开发用于造成腔静脉中断,在防止远端静脉肺栓塞的同时允许静脉回流。我们报告了一例长期植入的Adams-DeWeese夹血管内释放的病例,该夹子导致了下腔静脉阻塞和双侧下肢严重肿胀。

https://cdn.ncbi.nlm.nih.gov/pmc/blobs/ee7e/10951536/413d989c1701/gr1.jpg

文献检索

告别复杂PubMed语法,用中文像聊天一样搜索,搜遍4000万医学文献。AI智能推荐,让科研检索更轻松。

立即免费搜索

文件翻译

保留排版,准确专业,支持PDF/Word/PPT等文件格式,支持 12+语言互译。

免费翻译文档

深度研究

AI帮你快速写综述,25分钟生成高质量综述,智能提取关键信息,辅助科研写作。

立即免费体验