• 文献检索
  • 文档翻译
  • 深度研究
  • 学术资讯
  • Suppr Zotero 插件Zotero 插件
  • 邀请有礼
  • 套餐&价格
  • 历史记录
应用&插件
Suppr Zotero 插件Zotero 插件浏览器插件Mac 客户端Windows 客户端微信小程序
定价
高级版会员购买积分包购买API积分包
服务
文献检索文档翻译深度研究API 文档MCP 服务
关于我们
关于 Suppr公司介绍联系我们用户协议隐私条款
关注我们

Suppr 超能文献

核心技术专利:CN118964589B侵权必究
粤ICP备2023148730 号-1Suppr @ 2026

文献检索

告别复杂PubMed语法,用中文像聊天一样搜索,搜遍4000万医学文献。AI智能推荐,让科研检索更轻松。

立即免费搜索

文件翻译

保留排版,准确专业,支持PDF/Word/PPT等文件格式,支持 12+语言互译。

免费翻译文档

深度研究

AI帮你快速写综述,25分钟生成高质量综述,智能提取关键信息,辅助科研写作。

立即免费体验

芦丁对铜诱导的多发性硬化症小鼠的神经保护作用。

Neuroprotective effects of rutin against cuprizone-induced multiple sclerosis in mice.

机构信息

Department of Pharmacology and Toxicology, Faculty of Pharmacy, Assiut University, Asyût, 71526, Egypt.

Department of Anatomy and Histology, School of Veterinary Medicine, Badr University in Assiut, New Nasser City, West of Assiut, Asyût, Egypt.

出版信息

Inflammopharmacology. 2024 Apr;32(2):1295-1315. doi: 10.1007/s10787-024-01442-x. Epub 2024 Mar 21.

DOI:10.1007/s10787-024-01442-x
PMID:38512652
原文链接:https://pmc.ncbi.nlm.nih.gov/articles/PMC11006763/
Abstract

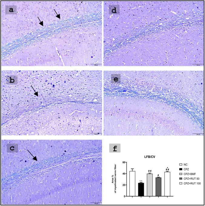
Multiple sclerosis (MS) is a chronic inflammatory neurodegenerative disease of the central nervous system that injures the myelin sheath, provoking progressive axonal degeneration and functional impairments. No efficient therapy is available at present to combat such insults, and hence, novel safe and effective alternatives for MS therapy are extremely required. Rutin (RUT) is a flavonoid that exhibits antioxidant, anti-inflammatory, and neuroprotective effects in several brain injuries. The present study evaluated the potential beneficial effects of two doses of RUT in a model of pattern-III lesion of MS, in comparison to the conventional standard drug; dimethyl fumarate (DMF). Demyelination was induced in in male adult C57BL/6 mice by dietary 0.2% (w/w) cuprizone (CPZ) feeding for 6 consecutive weeks. Treated groups received either oral RUT (50 or 100 mg/kg) or DMF (15 mg/kg), along with CPZ feeding, for 6 consecutive weeks. Mice were then tested for behavioral changes, followed by biochemical analyses and histological examinations of the corpus callosum (CC). Results revealed that CPZ caused motor dysfunction, demyelination, and glial activation in demyelinated lesions, as well as significant oxidative stress, and proinflammatory cytokine elevation. Six weeks of RUT treatment significantly improved locomotor activity and motor coordination. Moreover, RUT considerably improved remyelination in the CC of CPZ + RUT-treated mice, as revealed by luxol fast blue staining and transmission electron microscopy. Rutin also significantly attenuated CPZ-induced oxidative stress and inflammation in the CC of tested animals. The effect of RUT100 was obviously more marked than either that of DMF, regarding most of the tested parameters, or even its smaller tested dose. In silico docking revealed that RUT binds tightly within NF-κB at the binding site of the protein-DNA complex, with a good negative score of -6.79 kcal/mol. Also, RUT-Kelch-like ECH-associated protein 1 (Keap1) model clarifies the possible inhibition of Keap1-Nrf2 protein-protein interaction. Findings of the current study provide evidence for the protective effect of RUT in CPZ-induced demyelination and behavioral dysfunction in mice, possibly by modulating NF-κB and Nrf2 signaling pathways. The present study may be one of the first to indicate a pro-remyelinating effect for RUT, which might represent a potential additive benefit in treating MS.

摘要

多发性硬化症(MS)是一种中枢神经系统的慢性炎症性神经退行性疾病,会损伤髓鞘,引发进行性轴突变性和功能障碍。目前尚无有效的治疗方法来对抗这种损伤,因此,非常需要寻找治疗多发性硬化症的新型安全有效的替代方法。芦丁(RUT)是一种类黄酮,在多种脑损伤中具有抗氧化、抗炎和神经保护作用。本研究评估了两种剂量的 RUT 在多发性硬化症 III 型病变模型中的潜在有益作用,并与传统标准药物富马酸二甲酯(DMF)进行了比较。通过连续 6 周的饮食 0.2%(w/w)铜锌螯合物(CPZ)喂养,诱导雄性成年 C57BL/6 小鼠脱髓鞘。治疗组在连续 6 周的 CPZ 喂养期间,分别接受口服 RUT(50 或 100mg/kg)或 DMF(15mg/kg)治疗。然后,对小鼠进行行为变化测试,随后对胼胝体(CC)进行生化分析和组织学检查。结果表明,CPZ 导致脱髓鞘病变中的运动功能障碍、脱髓鞘和神经胶质激活,以及显著的氧化应激和促炎细胞因子升高。6 周的 RUT 治疗显著改善了运动活动和运动协调。此外,RUT 可显著改善 CPZ+RUT 治疗组小鼠 CC 中的髓鞘再生,如卢索快速蓝染色和透射电子显微镜所示。芦丁还显著减轻了 CPZ 诱导的测试动物 CC 中的氧化应激和炎症。与大多数测试参数甚至其较小的测试剂量相比,RUT100 的作用更为明显。基于结构的对接显示,RUT 与 NF-κB 紧密结合,位于蛋白质-DNA 复合物的结合位点,具有良好的负评分-6.79kcal/mol。此外,RUT-Kelch 样 ECH 相关蛋白 1(Keap1)模型阐明了 Keap1-Nrf2 蛋白-蛋白相互作用可能被抑制。本研究为 RUT 在 CPZ 诱导的脱髓鞘和小鼠行为功能障碍中的保护作用提供了证据,这可能是通过调节 NF-κB 和 Nrf2 信号通路来实现的。本研究可能是首次表明 RUT 具有促髓鞘形成作用的研究之一,这可能在治疗多发性硬化症方面具有潜在的附加益处。

https://cdn.ncbi.nlm.nih.gov/pmc/blobs/5c6d/11006763/027d726ea38d/10787_2024_1442_Fig9_HTML.jpg
https://cdn.ncbi.nlm.nih.gov/pmc/blobs/5c6d/11006763/9e07ee589c94/10787_2024_1442_Fig1_HTML.jpg
https://cdn.ncbi.nlm.nih.gov/pmc/blobs/5c6d/11006763/d29cc5bfc774/10787_2024_1442_Fig2_HTML.jpg
https://cdn.ncbi.nlm.nih.gov/pmc/blobs/5c6d/11006763/34cbade53f31/10787_2024_1442_Fig3_HTML.jpg
https://cdn.ncbi.nlm.nih.gov/pmc/blobs/5c6d/11006763/45d7df980259/10787_2024_1442_Fig4_HTML.jpg
https://cdn.ncbi.nlm.nih.gov/pmc/blobs/5c6d/11006763/3a5bd21e2ab3/10787_2024_1442_Fig5_HTML.jpg
https://cdn.ncbi.nlm.nih.gov/pmc/blobs/5c6d/11006763/0332ca1dc27e/10787_2024_1442_Fig6_HTML.jpg
https://cdn.ncbi.nlm.nih.gov/pmc/blobs/5c6d/11006763/1b580df75251/10787_2024_1442_Fig7_HTML.jpg
https://cdn.ncbi.nlm.nih.gov/pmc/blobs/5c6d/11006763/868102bce8e6/10787_2024_1442_Fig8_HTML.jpg
https://cdn.ncbi.nlm.nih.gov/pmc/blobs/5c6d/11006763/027d726ea38d/10787_2024_1442_Fig9_HTML.jpg
https://cdn.ncbi.nlm.nih.gov/pmc/blobs/5c6d/11006763/9e07ee589c94/10787_2024_1442_Fig1_HTML.jpg
https://cdn.ncbi.nlm.nih.gov/pmc/blobs/5c6d/11006763/d29cc5bfc774/10787_2024_1442_Fig2_HTML.jpg
https://cdn.ncbi.nlm.nih.gov/pmc/blobs/5c6d/11006763/34cbade53f31/10787_2024_1442_Fig3_HTML.jpg
https://cdn.ncbi.nlm.nih.gov/pmc/blobs/5c6d/11006763/45d7df980259/10787_2024_1442_Fig4_HTML.jpg
https://cdn.ncbi.nlm.nih.gov/pmc/blobs/5c6d/11006763/3a5bd21e2ab3/10787_2024_1442_Fig5_HTML.jpg
https://cdn.ncbi.nlm.nih.gov/pmc/blobs/5c6d/11006763/0332ca1dc27e/10787_2024_1442_Fig6_HTML.jpg
https://cdn.ncbi.nlm.nih.gov/pmc/blobs/5c6d/11006763/1b580df75251/10787_2024_1442_Fig7_HTML.jpg
https://cdn.ncbi.nlm.nih.gov/pmc/blobs/5c6d/11006763/868102bce8e6/10787_2024_1442_Fig8_HTML.jpg
https://cdn.ncbi.nlm.nih.gov/pmc/blobs/5c6d/11006763/027d726ea38d/10787_2024_1442_Fig9_HTML.jpg

相似文献

1
Neuroprotective effects of rutin against cuprizone-induced multiple sclerosis in mice.芦丁对铜诱导的多发性硬化症小鼠的神经保护作用。
Inflammopharmacology. 2024 Apr;32(2):1295-1315. doi: 10.1007/s10787-024-01442-x. Epub 2024 Mar 21.
2
Neuroprotective Effects of Telmisartan and Nifedipine Against Cuprizone-Induced Demyelination and Behavioral Dysfunction in Mice: Roles of NF-κB and Nrf2.替米沙坦和硝苯地平对铜绿假单胞菌诱导的小鼠脱髓鞘和行为功能障碍的神经保护作用:NF-κB 和 Nrf2 的作用。
Inflammation. 2021 Aug;44(4):1629-1642. doi: 10.1007/s10753-021-01447-6. Epub 2021 Mar 11.
3
Metformin Therapy Attenuates Pro-inflammatory Microglia by Inhibiting NF-κB in Cuprizone Demyelinating Mouse Model of Multiple Sclerosis.二甲双胍通过抑制 NF-κB 治疗多发性硬化症脱髓鞘模型 Cuprizone 中的促炎小胶质细胞。
Neurotox Res. 2021 Dec;39(6):1732-1746. doi: 10.1007/s12640-021-00417-y. Epub 2021 Sep 27.
4
Remyelinating activities of Carvedilol or alpha lipoic acid in the Cuprizone-Induced rat model of demyelination.Carvedilol 或 α-硫辛酸在脱髓鞘的 Cuprizone 诱导的大鼠模型中的髓鞘再生活性。
Int Immunopharmacol. 2023 May;118:110125. doi: 10.1016/j.intimp.2023.110125. Epub 2023 Apr 5.
5
Coenzyme Q10 enhances remyelination and regulate inflammation effects of cuprizone in corpus callosum of chronic model of multiple sclerosis.辅酶 Q10 增强多发性硬化症慢性模型胼胝体中的髓鞘再生和调节炎症作用。
J Mol Histol. 2021 Feb;52(1):125-134. doi: 10.1007/s10735-020-09929-x. Epub 2020 Nov 27.
6
Neuroprotective effect of linagliptin against cuprizone-induced demyelination and behavioural dysfunction in mice: A pivotal role of AMPK/SIRT1 and JAK2/STAT3/NF-κB signalling pathway modulation.利拉鲁肽对铜蓝蛋白诱导的小鼠脱髓鞘和行为功能障碍的神经保护作用:AMPK/SIRT1 和 JAK2/STAT3/NF-κB 信号通路调节的关键作用。
Toxicol Appl Pharmacol. 2018 Aug 1;352:153-161. doi: 10.1016/j.taap.2018.05.035. Epub 2018 Jun 1.
7
Mesenchymal Stem Cells Ameliorate Cuprizone-Induced Demyelination by Targeting Oxidative Stress and Mitochondrial Dysfunction.间充质干细胞通过靶向氧化应激和线粒体功能障碍改善铜离子螯合剂诱导的脱髓鞘
Cell Mol Neurobiol. 2021 Oct;41(7):1467-1481. doi: 10.1007/s10571-020-00910-6. Epub 2020 Jun 27.
8
Calorie restriction promotes remyelination in a Cuprizone-Induced demyelination mouse model of multiple sclerosis.热量限制可促进多发性硬化症的 Cuprizone 诱导脱髓鞘模型中的髓鞘再生。
Metab Brain Dis. 2020 Oct;35(7):1211-1224. doi: 10.1007/s11011-020-00597-0. Epub 2020 Jul 7.
9
Cordycepin (3'-deoxyadenosine) promotes remyelination via suppression of neuroinflammation in a cuprizone-induced mouse model of demyelination.虫草素(3'-脱氧腺苷)通过抑制脱髓鞘模型小鼠的神经炎症促进髓鞘再生。
Int Immunopharmacol. 2019 Oct;75:105777. doi: 10.1016/j.intimp.2019.105777. Epub 2019 Jul 26.
10
Phosphodiesterase-5 inhibition promotes remyelination by MCP-1/CCR-2 and MMP-9 regulation in a cuprizone-induced demyelination model.磷酸二酯酶-5 抑制通过 MCP-1/CCR-2 调节和 MMP-9 促进髓鞘再生在 cuprizone 诱导的脱髓鞘模型中。
Exp Neurol. 2016 Jan;275 Pt 1:143-53. doi: 10.1016/j.expneurol.2015.10.013. Epub 2015 Oct 26.

引用本文的文献

1
Molecular mechanisms of neuroprotective effect of rutin.芦丁神经保护作用的分子机制
Front Pharmacol. 2025 Jun 3;16:1599167. doi: 10.3389/fphar.2025.1599167. eCollection 2025.
2
Protective effect of the Quercetin on experimental cuprizone-induced multiple sclerosis in male C57BL/6 mice.槲皮素对实验性铜离子螯合剂诱导的雄性C57BL/6小鼠多发性硬化症的保护作用。
Curr Res Physiol. 2025 May 23;8:100146. doi: 10.1016/j.crphys.2025.100146. eCollection 2025.
3
The neuroprotective potential of Gerbera Jamesonii in a neuronal demyelination rat model through the modulation of interleukins, cyclooxygenase and tumor necrosis factor-α.

本文引用的文献

1
Genetic models of cleavage-reduced and soluble TREM2 reveal distinct effects on myelination and microglia function in the cuprizone model.遗传型 TREM2 截断和可溶性突变可显著影响氯化铜诱导的少突胶质细胞损伤和小胶质细胞功能。
J Neuroinflammation. 2023 Feb 8;20(1):29. doi: 10.1186/s12974-022-02671-z.
2
Combination Therapy of Mesenchymal Stem Cell Transplantation and Astrocyte Ablation Improve Remyelination in a Cuprizone-Induced Demyelination Mouse Model.间质干细胞移植联合星形胶质细胞消融改善杯状藻诱导脱髓鞘模型中的髓鞘再生。
Mol Neurobiol. 2022 Dec;59(12):7278-7292. doi: 10.1007/s12035-022-03036-6. Epub 2022 Sep 29.
3
通过调节白细胞介素、环氧化酶和肿瘤坏死因子-α,非洲菊在神经元脱髓鞘大鼠模型中的神经保护潜力。
Inflammopharmacology. 2025 Apr 17. doi: 10.1007/s10787-025-01742-w.
4
Neuroprotective effects of ghrelin in cuprizone-induced rat model of multiple sclerosis.胃饥饿素在铜离子螯合剂诱导的大鼠多发性硬化模型中的神经保护作用。
Metab Brain Dis. 2025 Apr 11;40(4):176. doi: 10.1007/s11011-025-01603-z.
5
Berberine-loaded iron oxide nanoparticles alleviate cuprizone-induced astrocytic reactivity in a rat model of multiple sclerosis.负载黄连素的氧化铁纳米颗粒减轻了铜离子螯合剂诱导的多发性硬化大鼠模型中的星形胶质细胞反应性。
Biometals. 2025 Feb;38(1):203-229. doi: 10.1007/s10534-024-00648-4. Epub 2024 Nov 14.
6
Antioxidant Therapies in the Treatment of Multiple Sclerosis.抗氧化疗法治疗多发性硬化症。
Biomolecules. 2024 Oct 8;14(10):1266. doi: 10.3390/biom14101266.
7
Pirfenidone mitigates demyelination and electrophysiological alterations in multiple sclerosis: Targeting NF-κB, sirt1, and neurotrophic genes.吡非尼酮减轻多发性硬化症中的脱髓鞘和电生理改变:靶向核因子κB、沉默信息调节因子1和神经营养基因。
Naunyn Schmiedebergs Arch Pharmacol. 2025 Apr;398(4):4019-4036. doi: 10.1007/s00210-024-03496-8. Epub 2024 Oct 15.
8
Rutin alleviates psoriasis-related inflammation in keratinocytes by regulating the JAK2/STAT3 signaling.芦丁通过调节 JAK2/STAT3 信号通路缓解角质形成细胞银屑病相关炎症。
Skin Res Technol. 2024 Aug;30(8):e70011. doi: 10.1111/srt.70011.
Repurposing the cardiac glycoside digoxin to stimulate myelin regeneration in chemically-induced and immune-mediated mouse models of multiple sclerosis.
将心脏糖苷类药物地高辛重新用于刺激多发性硬化症的化学诱导和免疫介导的小鼠模型中的髓鞘再生。
Glia. 2022 Oct;70(10):1950-1970. doi: 10.1002/glia.24231. Epub 2022 Jul 9.
4
Oligodendrocyte death and myelin loss in the cuprizone model: an updated overview of the intrinsic and extrinsic causes of cuprizone demyelination.寡突胶质细胞死亡和髓鞘丢失在铜诱导模型中的作用:铜诱导脱髓鞘的内在和外在原因的最新综述。
Mol Neurodegener. 2022 May 7;17(1):34. doi: 10.1186/s13024-022-00538-8.
5
Neuroprotective effect of liraglutide in an experimental mouse model of multiple sclerosis: role of AMPK/SIRT1 signaling and NLRP3 inflammasome.利拉鲁肽对实验性多发性硬化症小鼠模型的神经保护作用:AMPK/SIRT1 信号通路和 NLRP3 炎性小体的作用。
Inflammopharmacology. 2022 Jun;30(3):919-934. doi: 10.1007/s10787-022-00956-6. Epub 2022 Apr 1.
6
The roles of microglia and astrocytes in phagocytosis and myelination: Insights from the cuprizone model of multiple sclerosis.小胶质细胞和星形胶质细胞在吞噬作用和髓鞘形成中的作用:多发性硬化症的铜绿假单胞菌模型的见解。
Glia. 2022 Jul;70(7):1215-1250. doi: 10.1002/glia.24148. Epub 2022 Feb 2.
7
Rutin ameliorates malaria pathogenesis by modulating inflammatory mechanism: an in vitro and in vivo study.芦丁通过调节炎症机制改善疟疾发病机制:体外和体内研究。
Inflammopharmacology. 2022 Feb;30(1):159-171. doi: 10.1007/s10787-021-00920-w. Epub 2022 Jan 21.
8
Differential Role of p53 in Oligodendrocyte Survival in Response to Various Stresses: Experimental Autoimmune Encephalomyelitis, Cuprizone Intoxication or White Matter Stroke.不同应激条件下 p53 在少突胶质细胞存活中的差异作用:实验性自身免疫性脑脊髓炎、铜中毒或脑白质卒中。
Int J Mol Sci. 2021 Nov 26;22(23):12811. doi: 10.3390/ijms222312811.
9
Autoimmunity and long-term safety and efficacy of alemtuzumab for multiple sclerosis: Benefit/risk following review of trial and post-marketing data.自身免疫与阿仑单抗治疗多发性硬化症的长期安全性和有效性:临床试验和上市后数据回顾的获益/风险评估。
Mult Scler. 2022 Apr;28(5):842-846. doi: 10.1177/13524585211061335. Epub 2021 Dec 9.
10
Early and unrestricted access to high-efficacy disease-modifying therapies: a consensus to optimize benefits for people living with multiple sclerosis.早期且无限制地获得高效疾病修正疗法:为多发性硬化症患者优化获益的共识。
J Neurol. 2022 Mar;269(3):1670-1677. doi: 10.1007/s00415-021-10836-8. Epub 2021 Oct 9.