Suppr超能文献

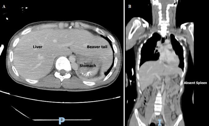
Beaver tail liver and congenital asplenia in a polytrauma patient.

作者信息

Alrahmani Ahmad, Chowdhury Sharfuddin

机构信息

Trauma and Acute Care Surgery Unit, Department of Surgery, College of Medicine, King Saud University, Riyadh, Saudi Arabia.

Trauma Center, King Saud Medical City, Riyadh, Saudi Arabia.

出版信息

Pan Afr Med J. 2024 Jan 17;47:18. doi: 10.11604/pamj.2024.47.18.42531. eCollection 2024.

Abstract
摘要
https://cdn.ncbi.nlm.nih.gov/pmc/blobs/6786/10957729/5c42acb9d27b/PAMJ-47-18-g001.jpg

文献AI研究员

20分钟写一篇综述,助力文献阅读效率提升50倍。

立即体验

用中文搜PubMed

大模型驱动的PubMed中文搜索引擎

马上搜索

文档翻译

学术文献翻译模型,支持多种主流文档格式。

立即体验