Suppr超能文献

母鼠饮食中的蛋白质水平通过 mTORC1 信号调节后代的面部外观。

The level of protein in the maternal murine diet modulates the facial appearance of the offspring via mTORC1 signaling.

机构信息

Department of Physiology and Pharmacology, Karolinska Institutet, Stockholm, Sweden.

Department of Biosciences and Nutrition, Karolinska Institute, Flemingsberg, Sweden.

出版信息

Nat Commun. 2024 Mar 26;15(1):2367. doi: 10.1038/s41467-024-46030-3.

Abstract

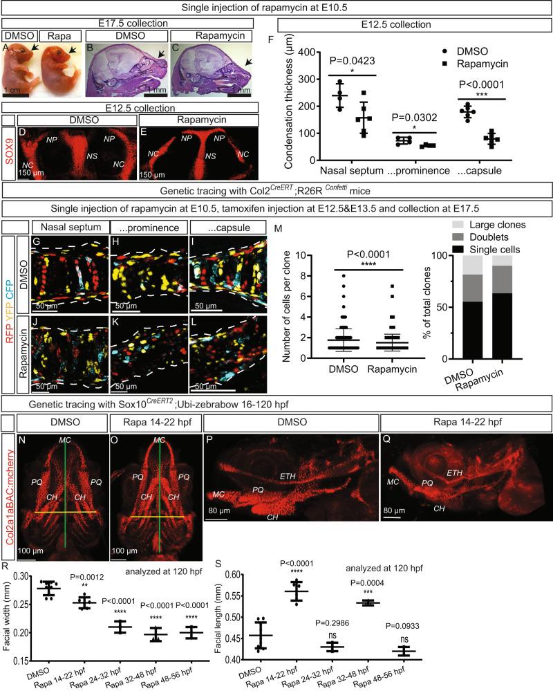
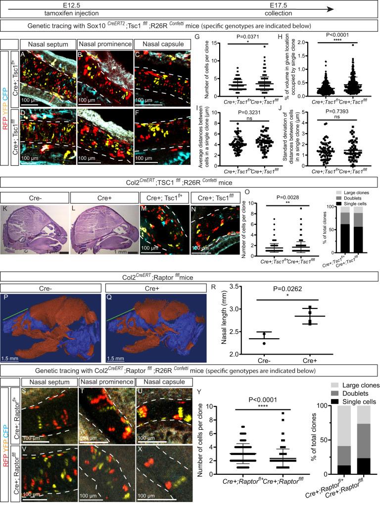
The development of craniofacial skeletal structures is fascinatingly complex and elucidation of the underlying mechanisms will not only provide novel scientific insights, but also help develop more effective clinical approaches to the treatment and/or prevention of the numerous congenital craniofacial malformations. To this end, we performed a genome-wide analysis of RNA transcription from non-coding regulatory elements by CAGE-sequencing of the facial mesenchyme of human embryos and cross-checked the active enhancers thus identified against genes, identified by GWAS for the normal range human facial appearance. Among the identified active cis-enhancers, several belonged to the components of the PI3/AKT/mTORC1/autophagy pathway. To assess the functional role of this pathway, we manipulated it both genetically and pharmacologically in mice and zebrafish. These experiments revealed that mTORC1 signaling modulates craniofacial shaping at the stage of skeletal mesenchymal condensations, with subsequent fine-tuning during clonal intercalation. This ability of mTORC1 pathway to modulate facial shaping, along with its evolutionary conservation and ability to sense external stimuli, in particular dietary amino acids, indicate that the mTORC1 pathway may play a role in facial phenotypic plasticity. Indeed, the level of protein in the diet of pregnant female mice influenced the activity of mTORC1 in fetal craniofacial structures and altered the size of skeletogenic clones, thus exerting an impact on the local geometry and craniofacial shaping. Overall, our findings indicate that the mTORC1 signaling pathway is involved in the effect of environmental conditions on the shaping of craniofacial structures.

摘要

颅面骨骼结构的发育过程非常复杂,阐明其潜在机制不仅能提供新的科学见解,还有助于开发更有效的临床方法来治疗和/或预防众多先天性颅面畸形。为此,我们通过对人类胚胎面部间充质的 CAGE 测序,对非编码调控元件的 RNA 转录进行了全基因组分析,并将由此鉴定出的活性增强子与通过 GWAS 鉴定出的、与正常范围人类面部外观相关的基因进行交叉核对。在所鉴定的活性顺式增强子中,有几个属于 PI3/AKT/mTORC1/自噬途径的组成部分。为了评估该途径的功能作用,我们在小鼠和斑马鱼中进行了遗传和药理学操作。这些实验表明,mTORC1 信号通路在骨骼间充质凝聚阶段调节颅面形态形成,随后在克隆内插阶段进行精细调整。mTORC1 通路调节面部形态形成的能力、其进化保守性以及感知外部刺激(特别是饮食氨基酸)的能力表明,mTORC1 通路可能在面部表型可塑性中发挥作用。事实上,处于妊娠阶段的雌性小鼠饮食中的蛋白质水平会影响胎儿颅面结构中 mTORC1 的活性,并改变成骨细胞克隆的大小,从而对局部几何形状和颅面形态形成产生影响。总的来说,我们的研究结果表明,mTORC1 信号通路参与了环境条件对颅面结构形成的影响。

https://cdn.ncbi.nlm.nih.gov/pmc/blobs/dcb0/10965948/bcceaceebbbf/41467_2024_46030_Fig1_HTML.jpg

文献AI研究员

20分钟写一篇综述,助力文献阅读效率提升50倍。

立即体验

用中文搜PubMed

大模型驱动的PubMed中文搜索引擎

马上搜索

文档翻译

学术文献翻译模型,支持多种主流文档格式。

立即体验