Suppr超能文献

应对迟发性硬膜下血肿与新冠病毒肺炎的挑战:一例报告

Navigating the Challenges of Delayed Subdural Hemorrhage and COVID-19: A Case Report.

作者信息

Al Qahtani Saleh S, Alfaraj Dunya, Alzayer Mohammed O, Juma Zainab, Abdulla Mohamed, Faraj Husain, Juma Abdulla, Moussa Mohamed M

机构信息

Internal Medicine Department, Najran University Hospital, Najran, SAU.

Emergency Department, Imam Abdulrahman Bin Faisal University, Dammam, SAU.

出版信息

Cureus. 2024 Feb 25;16(2):e54853. doi: 10.7759/cureus.54853. eCollection 2024 Feb.

Abstract

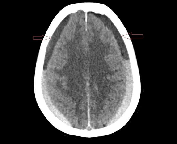
The delayed onset of posttraumatic subdural hemorrhage (SDH) represents non-specific clinical features, complicating the diagnostic process, especially in individuals predisposed due to pre-existing risk factors and comorbidities. This case report delineates the medical trajectory of a 61-year-old female patient who sustained a traumatic fall, initially displaying neither clinical nor radiological signs indicative of hemorrhage. However, three weeks post-injury, she developed altered mental status, cephalgia, and emesis. Diagnostic imaging unveiled a significant bilateral acute-on-chronic subdural hemorrhage exerting pronounced mass effect and leading to obliteration of the basal cisterns. Complicating her clinical picture was a concurrent SARS-CoV-2 infection and a medical history of hypertension. Emergent neurosurgical intervention was undertaken, encompassing the creation of bilateral burr holes for drainage and the placement of subdural drains. The patient was managed with the requisite medical therapies. Post-operatively, the patient regained consciousness and exhibited significant neurological improvement. Follow-up imaging demonstrated complete resolution of the subdural hemorrhage, and the patient achieved a full recovery of cognitive function. This case underscores the critical necessity for vigilant surveillance for delayed SDH in patients lacking initial radiographic findings and advocates for individualized therapeutic approaches in patients with concurrent pathologies. Prompt recognition, timely neurosurgical management, and care are pivotal to optimizing outcomes in delayed posttraumatic SDH cases.

摘要

创伤后硬膜下血肿(SDH)的延迟发生表现出非特异性临床特征,使诊断过程复杂化,尤其是在因既有危险因素和合并症而 predisposed 的个体中。本病例报告描述了一名61岁女性患者的医疗轨迹,该患者因创伤性跌倒入院,最初既无临床症状也无影像学迹象表明有出血。然而,受伤三周后,她出现了精神状态改变、头痛和呕吐。诊断性影像学检查发现双侧有明显的急性-on-慢性硬膜下血肿,产生了明显的占位效应并导致基底池闭塞。使她的临床情况复杂化的是同时感染了SARS-CoV-2以及有高血压病史。进行了紧急神经外科干预,包括双侧钻孔引流和放置硬膜下引流管。患者接受了必要的药物治疗。术后,患者恢复了意识并在神经功能方面有显著改善。随访影像学检查显示硬膜下血肿完全消退,患者认知功能完全恢复。本病例强调了对缺乏初始影像学表现的患者进行警惕性监测以发现延迟性SDH的至关重要性,并提倡对合并多种病症的患者采取个体化治疗方法。及时识别、及时的神经外科处理和护理对于优化创伤后延迟性SDH病例的治疗结果至关重要。

https://cdn.ncbi.nlm.nih.gov/pmc/blobs/7d3e/10964122/6b61d5489c34/cureus-0016-00000054853-i01.jpg

文献检索

告别复杂PubMed语法,用中文像聊天一样搜索,搜遍4000万医学文献。AI智能推荐,让科研检索更轻松。

立即免费搜索

文件翻译

保留排版,准确专业,支持PDF/Word/PPT等文件格式,支持 12+语言互译。

免费翻译文档

深度研究

AI帮你快速写综述,25分钟生成高质量综述,智能提取关键信息,辅助科研写作。

立即免费体验