Suppr超能文献

固定剂和固定时间对猫卵巢组织形态学及免疫组织化学的影响

Effect of Fixatives and Fixation Period on Morphology and Immunohistochemistry of Feline Ovarian Tissue.

作者信息

Alkali Isa Mohammed, Colombo Martina, Rodak Olga, Nizanski Wojciech, Luvoni Gaia Cecilia

机构信息

Department of Veterinary Medicine and Animal Sciences, University of Milan, 26900 Lodi, Italy.

Department of Theriogenology, University of Maiduguri, Maiduguri 600230, Nigeria.

出版信息

Animals (Basel). 2024 Mar 7;14(6):825. doi: 10.3390/ani14060825.

Abstract

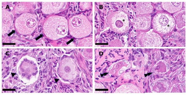
Fixatives and fixation protocol have a profound effect on both the morphology and epitope sensitivity of ovarian tissue, which hampers accurate ovarian tissue evaluation. We aimed to establish the most suitable fixation protocol for feline () ovarian tissue. Fragments (1.5 mm diameter) were punched from 1 mm-thick feline ovarian tissue, divided into three groups then fixed with three different fixatives (Bouin, neutral buffered formalin [NBF] and form acetic acid [new compound fixative formulation for ovarian tissue composed of 5% acetic acid in NBF]) for five fixation periods. Subsequently, fragments were processed and evaluated for the morphology and intensity of immunohistochemical signals against three antigens (Ki-67, MCM-7 and activated caspase-3). Proportions of grade 1 or morphologically intact follicles were significantly lower in NBF when compared with Bouin and form acetic acid fixatives. However, Bouin fixative had the lowest mean DAB intensity ( < 0.05) in all three antigen targets, while NBF had the highest ( < 0.05) in Ki-67 and caspase-3, but in MCM-7, it was no different from form acetic acid. In conclusion, form acetic acid maintained ovarian tissue architecture with excellent follicular morphology in the same manner as Bouin fixative, and it also maintained reasonable DAB signals similar to NBF, thus providing a better alternative for feline ovarian tissue studies.

摘要

固定剂和固定方案对卵巢组织的形态和表位敏感性都有深远影响,这妨碍了对卵巢组织的准确评估。我们旨在为猫科动物卵巢组织建立最合适的固定方案。从1毫米厚的猫科动物卵巢组织上冲压出直径1.5毫米的组织块,分成三组,然后用三种不同的固定剂(Bouin液、中性缓冲甲醛[NBF]和甲醛醋酸液[由5%醋酸与NBF组成的用于卵巢组织的新型复合固定剂配方])进行五种固定时间的固定。随后,对组织块进行处理,并针对三种抗原(Ki-67、MCM-7和活化的半胱天冬酶-3)评估免疫组化信号的形态和强度。与Bouin液和甲醛醋酸液固定剂相比,NBF固定的1级或形态完整卵泡的比例显著较低。然而Bouin固定剂在所有三个抗原靶点上的平均DAB强度最低(P<0.05),而NBF在Ki-67和半胱天冬酶-3上的平均DAB强度最高(P<0.05),但在MCM-7方面,它与甲醛醋酸液没有差异。总之,甲醛醋酸液与Bouin固定剂一样能保持卵巢组织结构并具有良好的卵泡形态,同时它也能保持与NBF相似的合理DAB信号,因此为猫科动物卵巢组织研究提供了更好的选择。

https://cdn.ncbi.nlm.nih.gov/pmc/blobs/c461/10967444/90cf39575084/animals-14-00825-g001.jpg

文献AI研究员

20分钟写一篇综述,助力文献阅读效率提升50倍。

立即体验

用中文搜PubMed

大模型驱动的PubMed中文搜索引擎

马上搜索

文档翻译

学术文献翻译模型,支持多种主流文档格式。

立即体验