Suppr超能文献

圈养杂交猩猩(种名待定)中的组织细胞肉瘤:形态学和免疫组化特征

Histiocytic Sarcoma in a Captive Hybrid Orangutan ( sp.): Morphological and Immunohistochemical Features.

作者信息

Galietta Valentina, Fonti Niccolò, Cocumelli Cristiano, Raso Caterina, Di Cerbo Pilar, Parisi Francesca, Bovi Emanuela, Parmigiani Raffaella, Pietrella Gabriele, Cersini Antonella, Friedrich Klaus G, Eleni Claudia

机构信息

Istituto Zooprofilattico Sperimentale del Lazio e della Toscana "M. Aleandri", Via Appia Nuova 1411, 00178 Roma, Italy.

Department of Veterinary Sciences, University of Pisa, Viale delle Piagge n.2, 56124 Pisa, Italy.

出版信息

Animals (Basel). 2024 Mar 10;14(6):852. doi: 10.3390/ani14060852.

Abstract

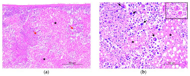
Histiocytic sarcoma (HS), an infrequent highly aggressive hematopoietic tumor, has been observed in diverse animal species, with isolated occurrences in non-human primates. This study describes the first case of disseminated HS in a 45-year-old female hybrid captive orangutan. The clinical profile mirrored symptoms seen in human HS cases, encompassing anorexia and ascites. Detailed histopathological examination demonstrated characteristic features of this tumor and immunohistochemistry, using markers such as Iba-1 and HLA-DR, confirmed the diagnosis. Significantly, the absence of CD163 and CD204 expression challenges their diagnostic utility in non-human primates. This investigation enhances our understanding of HS diagnosis in non-human primates, underscoring the necessity for standardized markers and diagnostic protocols.

摘要

组织细胞肉瘤(HS)是一种罕见的高度侵袭性造血肿瘤,已在多种动物物种中观察到,在非人类灵长类动物中也有个别病例。本研究描述了一例45岁雌性圈养杂交猩猩发生播散性HS的首例病例。临床症状与人类HS病例所见症状相似,包括厌食和腹水。详细的组织病理学检查显示了该肿瘤的特征性表现,免疫组织化学使用Iba-1和HLA-DR等标志物证实了诊断。值得注意的是,CD163和CD204表达的缺失对它们在非人类灵长类动物中的诊断效用提出了挑战。这项研究增进了我们对非人类灵长类动物HS诊断的理解,强调了标准化标志物和诊断方案的必要性。

https://cdn.ncbi.nlm.nih.gov/pmc/blobs/8225/10967491/fa4a7da2747e/animals-14-00852-g001.jpg

文献AI研究员

20分钟写一篇综述,助力文献阅读效率提升50倍。

立即体验

用中文搜PubMed

大模型驱动的PubMed中文搜索引擎

马上搜索

文档翻译

学术文献翻译模型,支持多种主流文档格式。

立即体验