Suppr超能文献

心房起搏对左心房形态和功能参数的影响类似于房室失同步。

Atrial Pacing Negatively Affects Left Atrial Morphological and Functional Parameters Similarly to Atrioventricular Dyssynchrony.

机构信息

Department of Cardiology, Lithuanian University of Health Sciences, A. Mickeviciaus Str. 7, LT-44307 Kaunas, Lithuania.

Department of Cardiology, Hospital of Lithuanian University of Health Sciences Kaunas Clinics, Eiveniu Str. 2, LT-50161 Kaunas, Lithuania.

出版信息

Medicina (Kaunas). 2024 Mar 19;60(3):503. doi: 10.3390/medicina60030503.

Abstract

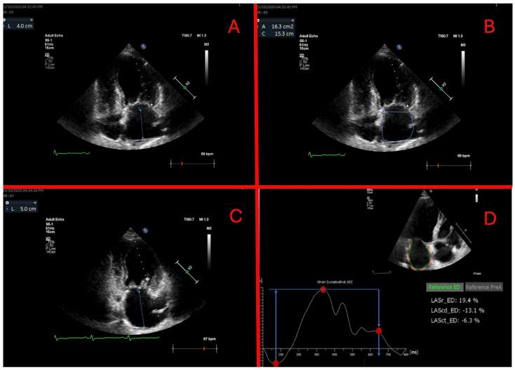
: Atrioventricular (AV) dyssynchrony as well as atrial and ventricular pacing affect left atrial (LA) function. We conducted a study evaluating the effect of atrial and ventricular pacing on LA morphological and functional changes after dual-chamber pacemaker implantation. : The study prospectively enrolled 121 subjects who had a dual-chamber pacemaker implanted due to sinus node disease (SND) or atrioventricular block (AVB). Subjects were divided into three groups based on indication and pacemaker programming: (1) SND DDDR 60; (2) AVB DDD 60 and (3) AVB DDD 40. Subjects were invited to one- and three-month follow-up visits. Three subsets based on pacing burden were analyzed: (1) high atrial (A) low ventricular (V); (2) high A, high V and (3) low A, high V. LA function was assessed from volumetric parameters and measured strains from echocardiography. : The high A, low V group consisted of 38 subjects; while high A, high V had 26 and low A, high V had 23. A significant decrease in reservoir and contractile LA strain parameters were only observed in the high A, low V pacing group after three months (reservoir 25.9 ± 10.3% vs. 21.1 ± 9.9%, = 0.003, contractile -14.0 ± 9.0% vs. -11.1 ± 7.8, = 0.018). While the re-established atrioventricular synchrony in the low A, high V group maintained reservoir LA strain at the baseline level after three months (21.4 ± 10.4% vs. 22.5 ± 10.4%, = 0.975); in the high A, high V group, a further trend to decrease was noted (20.3 ± 8.9% vs. 18.7 ± 8.3%, = 0.231). : High atrial pacing burden independently of atrioventricular dyssynchrony and ventricular pacing impairs LA functional and morphological parameters. Changes appear soon after pacemaker implantation and are maintained.

摘要

房室(AV)失同步以及心房和心室起搏会影响左心房(LA)功能。我们进行了一项研究,评估了双腔起搏器植入后心房和心室起搏对 LA 形态和功能变化的影响。

该研究前瞻性纳入了 121 例因窦性心动过缓(SND)或房室传导阻滞(AVB)而植入双腔起搏器的患者。根据适应证和起搏器程控,将患者分为三组:(1)SND DDDR 60;(2)AVB DDD 60;(3)AVB DDD 40。患者被邀请在 1 个月和 3 个月时进行随访。分析了基于起搏负担的三个亚组:(1)高心房(A)低心室(V);(2)高 A、高 V;(3)低 A、高 V。从容积参数和超声心动图测量的应变评估 LA 功能。

高 A、低 V 组有 38 例;高 A、高 V 组有 26 例,低 A、高 V 组有 23 例。仅在高 A、低 V 起搏组中,在 3 个月后观察到储备和收缩期 LA 应变参数显著下降(储备 25.9 ± 10.3%比 21.1 ± 9.9%, = 0.003,收缩-14.0 ± 9.0%比-11.1 ± 7.8%, = 0.018)。而在低 A、高 V 组中,重新建立的房室同步性在 3 个月后保持了储备 LA 应变的基线水平(21.4 ± 10.4%比 22.5 ± 10.4%, = 0.975);在高 A、高 V 组中,进一步下降的趋势明显(20.3 ± 8.9%比 18.7 ± 8.3%, = 0.231)。

高心房起搏负担独立于房室失同步和心室起搏,会损害 LA 的功能和形态参数。这些变化在起搏器植入后不久就出现,并持续存在。

https://cdn.ncbi.nlm.nih.gov/pmc/blobs/f76e/10972432/42f72a6b6f5a/medicina-60-00503-g002.jpg

文献AI研究员

20分钟写一篇综述,助力文献阅读效率提升50倍。

立即体验

用中文搜PubMed

大模型驱动的PubMed中文搜索引擎

马上搜索

文档翻译

学术文献翻译模型,支持多种主流文档格式。

立即体验