Suppr超能文献

噬血细胞性淋巴组织细胞增生症(一种罕见的潜在致命疾病)的诊断挑战:两个病例研究

Diagnostic Challenges in Hemophagocytic Lymphohistiocytosis, a Rare, Potentially Fatal Disease: Two Case Studies.

作者信息

Ionescu Marcela Daniela, Prajescu Bianca, Taras Roxana, Popescu Nicoleta, Vidlescu Ruxandra, Smarandoiu Mihaela, Rosca Loredana-Elena, Enculescu Augustina, Berghea Elena Camelia, Toma Claudia Lucia

机构信息

Department of Pediatrics, Carol Davila University of Medicine and Pharmacy, 020021 Bucharest, Romania.

Marie Curie Emergency Children's Hospital, 041451 Bucharest, Romania.

出版信息

J Clin Med. 2024 Mar 13;13(6):1643. doi: 10.3390/jcm13061643.

Abstract

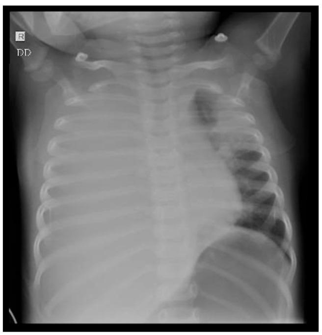
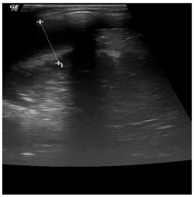
Hemophagocytic lymphohistiocytosis (HLH) is a rare, and potentially fatal, syndrome, characterized by immune system dysregulation, with excessive activation of the macrophages and cytotoxic T cells. It can be classified into primary (genetic) and secondary (acquired) forms. HLH presents with fever, hepatosplenomegaly, cytopenia, and hyperferritinemia, with involvement of various organs. The initial symptoms of HLH are non-specific, but as, if untreated, it can progress rapidly to multiorgan failure, timely diagnosis is essential. We present here two cases of HLH in infants that illustrate the importance of early diagnosis and appropriate treatment, along with a short review of HLH.

摘要

噬血细胞性淋巴组织细胞增生症(HLH)是一种罕见且可能致命的综合征,其特征为免疫系统失调,巨噬细胞和细胞毒性T细胞过度活化。它可分为原发性(遗传性)和继发性(获得性)形式。HLH表现为发热、肝脾肿大、血细胞减少和高铁蛋白血症,并累及多个器官。HLH的初始症状不具特异性,但如果不治疗,它可迅速进展为多器官功能衰竭,因此及时诊断至关重要。我们在此介绍两例婴儿HLH病例,阐述早期诊断和恰当治疗的重要性,并对HLH进行简要综述。

https://cdn.ncbi.nlm.nih.gov/pmc/blobs/6d78/10970797/6ea58868b839/jcm-13-01643-g002.jpg

文献AI研究员

20分钟写一篇综述,助力文献阅读效率提升50倍。

立即体验

用中文搜PubMed

大模型驱动的PubMed中文搜索引擎

马上搜索

文档翻译

学术文献翻译模型,支持多种主流文档格式。

立即体验