• 文献检索
  • 文档翻译
  • 深度研究
  • 学术资讯
  • Suppr Zotero 插件Zotero 插件
  • 邀请有礼
  • 套餐&价格
  • 历史记录
应用&插件
Suppr Zotero 插件Zotero 插件浏览器插件Mac 客户端Windows 客户端微信小程序
定价
高级版会员购买积分包购买API积分包
服务
文献检索文档翻译深度研究API 文档MCP 服务
关于我们
关于 Suppr公司介绍联系我们用户协议隐私条款
关注我们

Suppr 超能文献

核心技术专利:CN118964589B侵权必究
粤ICP备2023148730 号-1Suppr @ 2026

文献检索

告别复杂PubMed语法,用中文像聊天一样搜索,搜遍4000万医学文献。AI智能推荐,让科研检索更轻松。

立即免费搜索

文件翻译

保留排版,准确专业,支持PDF/Word/PPT等文件格式,支持 12+语言互译。

免费翻译文档

深度研究

AI帮你快速写综述,25分钟生成高质量综述,智能提取关键信息,辅助科研写作。

立即免费体验

脐部病变的皮肤镜检查——一项系统评价

Dermoscopy of Umbilical Lesions-A Systematic Review.

作者信息

Żółkiewicz Jakub, Sławińska Martyna, Maińska Urszula, Nowicki Roman J, Sobjanek Michał, Thomas Luc

机构信息

Department of Dermatology, Venereology and Allergology, Faculty of Medicine, Medical University of Gdańsk, 80-214 Gdańsk, Poland.

Department of Dermatology, Centre Hospitalier Lyon Sud, 69495 Lyon, France.

出版信息

J Clin Med. 2024 Mar 20;13(6):1790. doi: 10.3390/jcm13061790.

DOI:10.3390/jcm13061790
PMID:38542014
原文链接:https://pmc.ncbi.nlm.nih.gov/articles/PMC10970748/
Abstract

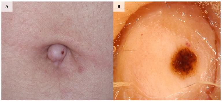
: The umbilicus is a fibrous remnant located in the centre of the abdomen. Various entities may be encountered in this special anatomical location; however, little is known about their dermoscopic presentation. The aim of this study was to provide a comprehensive summary of existing evidence on dermoscopic features of umbilical lesions. : Studies assessing dermoscopic images of umbilical lesions were included in this study. No age, ethnicity or skin phototype restrictions were applied. Papers assessing lesions outside of the umbilical area, lacking dermoscopic images and/or dermoscopic description and not related to the topic were excluded. Embase, Medline and Cochrane Library were searched from inception to the end of May 2023. The Joanna Briggs Institute critical appraisal tools were used to evaluate the risk of bias of the selected studies. The quality and the level of evidence of included studies were assessed according to the Oxford 2011 Levels of Evidence. Thirty-four studies reporting a total of 39 lesions met the inclusion criteria and were included in qualitative analysis. : A qualitative synthesis of the following entities was performed: melanoma, nevi, basal cell carcinoma, fibroepithelioma of Pinkus, Sister Mary Joseph nodule, mycosis fungoides, dermatofibroma, endometriosis, epidermal cyst, granuloma, intravascular papillary endothelial hyperplasia, lichen planus, omphalolith, seborrheic keratosis, and syringoma. : Dermoscopy is a non-invasive technique that may be useful in the differential diagnosis of umbilical lesions. The main limitations of this study were lack of a high level of evidence in the studies and the lack of uniformity in applied dermoscopic terminology between included studies.

摘要

脐是位于腹部中央的纤维性残余物。在这个特殊的解剖位置可能会遇到各种病变;然而,关于它们的皮肤镜表现却知之甚少。本研究的目的是全面总结脐部病变皮肤镜特征的现有证据。

本研究纳入了评估脐部病变皮肤镜图像的研究。未设置年龄、种族或皮肤光型限制。排除评估脐部区域以外病变、缺乏皮肤镜图像和/或皮肤镜描述以及与主题无关的论文。检索了截至2023年5月底的Embase、Medline和Cochrane图书馆。使用乔安娜·布里格斯研究所的批判性评估工具来评估所选研究的偏倚风险。根据2011年牛津证据水平评估纳入研究的质量和证据水平。34项共报告39个病变的研究符合纳入标准并纳入定性分析。

对以下病变进行了定性综合分析

黑色素瘤、痣、基底细胞癌、Pinkus纤维上皮瘤、玛丽·约瑟夫修女结节、蕈样肉芽肿、皮肤纤维瘤、子宫内膜异位症、表皮囊肿、肉芽肿、血管内乳头状内皮增生、扁平苔藓、脐石、脂溢性角化病和汗管瘤。

皮肤镜检查是一种非侵入性技术,可能有助于脐部病变的鉴别诊断。本研究的主要局限性在于研究中缺乏高水平证据,以及纳入研究之间应用的皮肤镜术语缺乏一致性。

https://cdn.ncbi.nlm.nih.gov/pmc/blobs/65d3/10970748/36c2d174eb21/jcm-13-01790-g007.jpg
https://cdn.ncbi.nlm.nih.gov/pmc/blobs/65d3/10970748/63d974acb2e3/jcm-13-01790-g001.jpg
https://cdn.ncbi.nlm.nih.gov/pmc/blobs/65d3/10970748/3e43f646c145/jcm-13-01790-g002.jpg
https://cdn.ncbi.nlm.nih.gov/pmc/blobs/65d3/10970748/b0b07293cca4/jcm-13-01790-g003.jpg
https://cdn.ncbi.nlm.nih.gov/pmc/blobs/65d3/10970748/fa6f9895f5f0/jcm-13-01790-g004.jpg
https://cdn.ncbi.nlm.nih.gov/pmc/blobs/65d3/10970748/64c046a5d783/jcm-13-01790-g005.jpg
https://cdn.ncbi.nlm.nih.gov/pmc/blobs/65d3/10970748/f862cc9fa0fb/jcm-13-01790-g006.jpg
https://cdn.ncbi.nlm.nih.gov/pmc/blobs/65d3/10970748/36c2d174eb21/jcm-13-01790-g007.jpg
https://cdn.ncbi.nlm.nih.gov/pmc/blobs/65d3/10970748/63d974acb2e3/jcm-13-01790-g001.jpg
https://cdn.ncbi.nlm.nih.gov/pmc/blobs/65d3/10970748/3e43f646c145/jcm-13-01790-g002.jpg
https://cdn.ncbi.nlm.nih.gov/pmc/blobs/65d3/10970748/b0b07293cca4/jcm-13-01790-g003.jpg
https://cdn.ncbi.nlm.nih.gov/pmc/blobs/65d3/10970748/fa6f9895f5f0/jcm-13-01790-g004.jpg
https://cdn.ncbi.nlm.nih.gov/pmc/blobs/65d3/10970748/64c046a5d783/jcm-13-01790-g005.jpg
https://cdn.ncbi.nlm.nih.gov/pmc/blobs/65d3/10970748/f862cc9fa0fb/jcm-13-01790-g006.jpg
https://cdn.ncbi.nlm.nih.gov/pmc/blobs/65d3/10970748/36c2d174eb21/jcm-13-01790-g007.jpg

相似文献

1
Dermoscopy of Umbilical Lesions-A Systematic Review.脐部病变的皮肤镜检查——一项系统评价
J Clin Med. 2024 Mar 20;13(6):1790. doi: 10.3390/jcm13061790.
2
Benign Umbilical Tumors Resembling Sister Mary Joseph Nodule.类似玛丽·约瑟夫修女结节的良性脐部肿瘤。
Clin Med Insights Oncol. 2021 Mar 24;15:1179554921995022. doi: 10.1177/1179554921995022. eCollection 2021.
3
Accuracy of Dermoscopic Criteria for the Diagnosis of Melanoma In Situ.皮肤镜检查标准对原位黑色素瘤诊断的准确性。
JAMA Dermatol. 2018 Apr 1;154(4):414-419. doi: 10.1001/jamadermatol.2017.6447.
4
Dermoscopy of inflamed seborrheic keratosis: A great mimic of malignancy.炎症性脂溢性角化病的皮肤镜检查:恶性肿瘤的巨大伪装者。
Australas J Dermatol. 2022 Feb;63(1):53-61. doi: 10.1111/ajd.13781. Epub 2021 Dec 27.
5
Dermoscopic Features of Basal Cell Carcinoma on the Lower Limbs: A Chameleon!下肢基底细胞癌的皮肤镜特征:变色龙!
Dermatology. 2017;233(6):482-488. doi: 10.1159/000487300. Epub 2018 Mar 22.
6
Dermoscopic Features of Giant Molluscum Contagiosum in a Patient with Acquired Immunodeficiency Syndrome.获得性免疫缺陷综合征患者巨大传染性软疣的皮肤镜特征
Acta Dermatovenerol Croat. 2020 Dec;28(7):233-235.
7
Computer-assisted diagnosis techniques (dermoscopy and spectroscopy-based) for diagnosing skin cancer in adults.用于诊断成人皮肤癌的计算机辅助诊断技术(基于皮肤镜检查和光谱学)。
Cochrane Database Syst Rev. 2018 Dec 4;12(12):CD013186. doi: 10.1002/14651858.CD013186.
8
[Dermoscopic characterization of 3 cases of fibroepithelioma of Pinkus].3例平卡斯纤维上皮瘤的皮肤镜特征
Actas Dermosifiliogr. 2009 Dec;100(10):899-902.
9
Dermoscopy of cutaneous adnexal tumours: a systematic review of the literature.皮肤附属器肿瘤的皮肤镜检查:文献系统综述。
J Eur Acad Dermatol Venereol. 2022 Sep;36(9):1524-1540. doi: 10.1111/jdv.18210. Epub 2022 May 25.
10
Unusual Clinical Presentation of Giant Extragenital Condyloma.巨大外阴外生性湿疣的不寻常临床表现。
Acta Dermatovenerol Croat. 2020 Dec;28(7):240-241.

引用本文的文献

1
Recent Research Trends against Skin Carcinoma - An Overview.针对皮肤癌的最新研究趋势综述。
Curr Pharm Des. 2024;30(34):2685-2700. doi: 10.2174/0113816128307653240710044902.

本文引用的文献

1
Umbilical lichen planus induced by nivolumab.纳武单抗诱发的脐部扁平苔藓。
An Bras Dermatol. 2023 Sep-Oct;98(5):712-714. doi: 10.1016/j.abd.2021.09.022. Epub 2023 May 8.
2
Basal cell carcinoma of the umbilicus associated with sweat gland structures: Two case reports.脐部基底细胞癌伴汗腺结构:两例报告。
Medicine (Baltimore). 2023 Feb 22;102(8):e33128. doi: 10.1097/MD.0000000000033128.
3
A case of basal cell carcinoma arising in the umbilicus.一例发生于脐部的基底细胞癌。
An Bras Dermatol. 2023 Mar-Apr;98(2):243-244. doi: 10.1016/j.abd.2021.05.023. Epub 2022 Dec 23.
4
Dermatoscopy of Umbilical Granuloma.脐肉芽肿的皮肤镜检查
Indian Dermatol Online J. 2020 Sep 19;13(4):551-552. doi: 10.4103/idoj.IDOJ_171_20. eCollection 2022 Jul-Aug.
5
Omphalolith: An underdiagnosed entity.脐石:一种诊断不足的病症。
Clin Case Rep. 2022 Oct 11;10(10):e6443. doi: 10.1002/ccr3.6443. eCollection 2022 Oct.
6
Revising the JBI quantitative critical appraisal tools to improve their applicability: an overview of methods and the development process.修订 JBI 定量批判性评价工具以提高其适用性:方法概述和开发过程。
JBI Evid Synth. 2023 Mar 1;21(3):478-493. doi: 10.11124/JBIES-22-00125.
7
Mycosis fungoides mimicking a nodule of Sister Mary Joseph.蕈样肉芽肿伪装成玛丽·约瑟夫结节。
JAAD Case Rep. 2022 Apr 18;25:9-12. doi: 10.1016/j.jdcr.2022.04.008. eCollection 2022 Jul.
8
Umbilical Endometriosis: A New Dermoscopic Pattern.脐部子宫内膜异位症:一种新的皮肤镜表现。
Dermatol Pract Concept. 2022 Jan 1;12(1):e2022023. doi: 10.5826/dpc.1201a23. eCollection 2022 Feb.
9
Syringoma Localized to the Umbilicus.局限于脐部的汗管瘤
Ann Dermatol. 2020 Oct;32(5):434-436. doi: 10.5021/ad.2020.32.5.434. Epub 2020 Sep 29.
10
Benign Umbilical Tumors Resembling Sister Mary Joseph Nodule.类似玛丽·约瑟夫修女结节的良性脐部肿瘤。
Clin Med Insights Oncol. 2021 Mar 24;15:1179554921995022. doi: 10.1177/1179554921995022. eCollection 2021.