Division of Plant Science and Technology, University of Missouri, Columbia, MO 65211, USA.
Departamento de Biología Molecular e Ingeniería Bioquímica, Centro Andaluz de Biología del Desarrollo, Universidad Pablo de Olavide/Consejo Superior de Investigaciones Científicas/Junta de Andalucía, 41013 Sevilla, Spain.
Int J Mol Sci. 2024 Mar 19;25(6):3443. doi: 10.3390/ijms25063443.
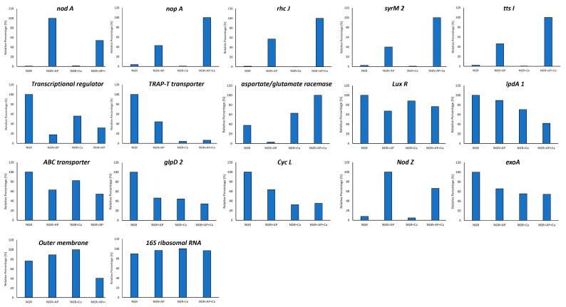
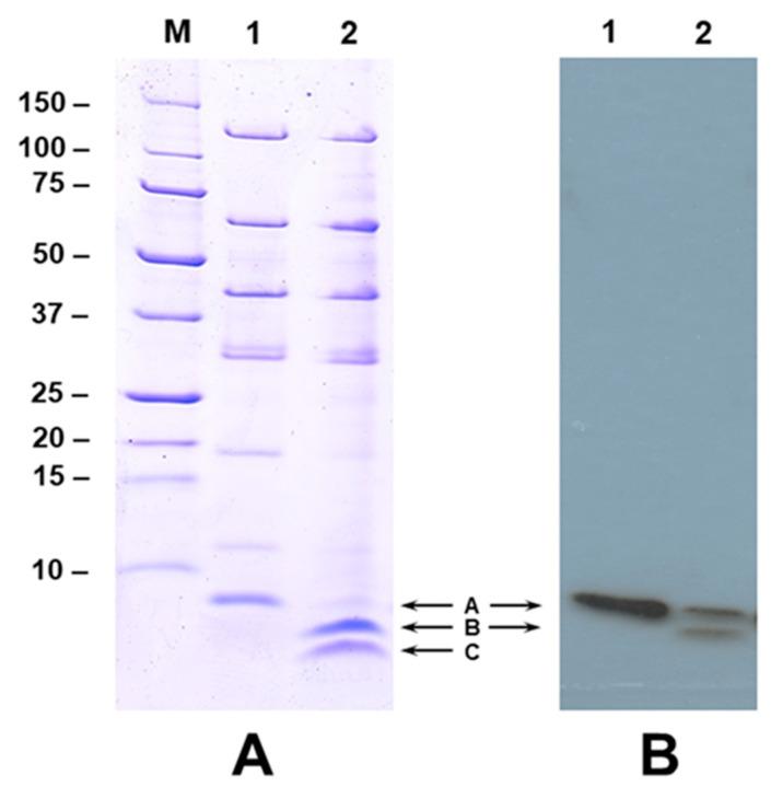
The type III secretion system (T3SS) is a key factor for the symbiosis between rhizobia and legumes. In this study, we investigated the effect of calcium on the expression and secretion of T3SS effectors (T3Es) in NGR234, a broad host range rhizobial strain. We performed RNA-Seq analysis of NGR234 grown in the presence of apigenin, calcium, and apigenin plus calcium and compared it with NGR234 grown in the absence of calcium and apigenin. Calcium treatment resulted in a differential expression of 65 genes, most of which are involved in the transport or metabolism of amino acids and carbohydrates. Calcium had a pronounced effect on the transcription of a gene (NGR_b22780) that encodes a putative transmembrane protein, exhibiting a 17-fold change when compared to NGR234 cells grown in the absence of calcium. Calcium upregulated the expression of several sugar transporters, permeases, aminotransferases, and oxidoreductases. Interestingly, calcium downregulated the expression of , genes that are required for the synthesis of nod factors. A gene encoding a putative outer membrane protein (OmpW) implicated in antibiotic resistance and membrane integrity was also repressed by calcium. We also observed that calcium reduced the production of nodulation outer proteins (T3Es), especially NopA, the main subunit of the T3SS pilus. Additionally, calcium mediated the cleavage of NopA into two smaller isoforms, which might affect the secretion of other T3Es and the symbiotic establishment. Our findings suggest that calcium regulates the T3SS at a post-transcriptional level and provides new insights into the role of calcium in rhizobia-legume interactions.
III 型分泌系统(T3SS)是根瘤菌与豆科植物共生的关键因素。在这项研究中,我们研究了钙对广泛宿主范围根瘤菌菌株 NGR234 中 T3SS 效应器(T3E)表达和分泌的影响。我们对在芹菜素、钙和芹菜素加钙存在下生长的 NGR234 进行了 RNA-Seq 分析,并将其与缺乏钙和芹菜素的 NGR234 生长进行了比较。钙处理导致 65 个基因的差异表达,其中大多数基因参与氨基酸和碳水化合物的运输或代谢。钙对编码假定跨膜蛋白的基因(NGR_b22780)的转录有显著影响,与缺乏钙的 NGR234 细胞相比,其表达水平变化了 17 倍。钙上调了几个糖转运蛋白、渗透酶、转氨酶和氧化还原酶的表达。有趣的是,钙下调了 nod 因子合成所需基因的表达。编码假定外膜蛋白(OmpW)的基因也被钙抑制,该基因参与抗生素抗性和膜完整性。我们还观察到钙减少了结瘤外蛋白(T3E)的产生,特别是 T3SS 菌毛的主要亚基 NopA。此外,钙介导了 NopA 切割成两个较小的同工型,这可能会影响其他 T3E 的分泌和共生建立。我们的研究结果表明,钙在转录后水平上调节 T3SS,并为钙在根瘤菌-豆科植物相互作用中的作用提供了新的见解。