Suppr超能文献

阴道分娩后硬膜外导管断裂

Broken Epidural Catheter After Vaginal Delivery.

作者信息

Alfadhel Abdulrahman, Turkistany Hafiza, Alkinani Amer A, Kabbani Nasib, Alabdullah Alwateen F

机构信息

Obstetrics and Gynecology, King Abdulaziz Medical City, Riyadh, SAU.

Anesthesia, King Abdulaziz Medical City, Riyadh, SAU.

出版信息

Cureus. 2024 Feb 27;16(2):e55013. doi: 10.7759/cureus.55013. eCollection 2024 Feb.

Abstract

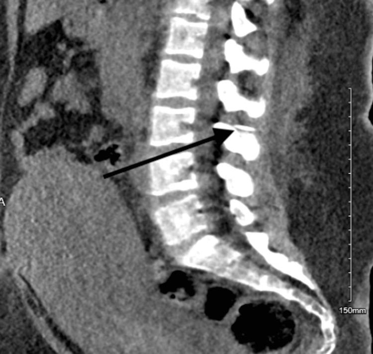
The breakage of the epidural catheter is an alarming, rare, yet well-known complication. Despite the advances in modern imaging technologies, visualization of the broken catheter remains challenging, and surgical intervention might be necessary to remove the broken catheter. We report a case of a broken epidural catheter post-vaginal delivery, which was managed by surgical intervention.

摘要

硬膜外导管断裂是一种令人担忧、罕见但广为人知的并发症。尽管现代成像技术有所进步,但可视化断裂的导管仍然具有挑战性,可能需要手术干预来取出断裂的导管。我们报告一例阴道分娩后硬膜外导管断裂的病例,该病例通过手术干预进行了处理。

https://cdn.ncbi.nlm.nih.gov/pmc/blobs/3e71/10973924/20661f79fb4f/cureus-0016-00000055013-i01.jpg

文献AI研究员

20分钟写一篇综述,助力文献阅读效率提升50倍。

立即体验

用中文搜PubMed

大模型驱动的PubMed中文搜索引擎

马上搜索

文档翻译

学术文献翻译模型,支持多种主流文档格式。

立即体验