Suppr超能文献

达托霉素诱发的嗜酸性粒细胞性肺炎

Eosinophilic Pneumonia Induced by Daptomycin.

作者信息

Ayala Torres Juan D, Noreña Brian, Suarez Poveda Alma Tatiana

机构信息

Radiology, Universidad de Antioquia, Medellín, COL.

出版信息

Cureus. 2024 Feb 27;16(2):e55095. doi: 10.7759/cureus.55095. eCollection 2024 Feb.

Abstract

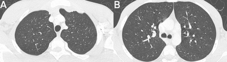
Daptomycin-induced eosinophilic pneumonia (DIEP) is a rare but serious complication associated with the use of this broad-spectrum antibiotic. We present the case of a teenager with a history of nasopharyngeal cancer who developed DIEP while receiving daptomycin to treat an infection associated with an implanted chamber catheter. Symptoms included recurrent dyspnea and peripheral eosinophilia, with radiological findings consistent with DIEP. The pathophysiology involves an immune response triggered by daptomycin, resulting in eosinophilic pulmonary inflammation. Diagnosis requires a thorough evaluation of medical history, clinical laboratory tests, and radiological findings. The main treatment involves discontinuation of daptomycin and, in severe cases, the use of steroids. It is essential to consider DIEP in patients with respiratory failure and bilateral pulmonary opacities who have used daptomycin and to suspect it in those with blood eosinophilia or in bronchoalveolar lavage.

摘要

达托霉素诱导的嗜酸性粒细胞性肺炎(DIEP)是一种与使用这种广谱抗生素相关的罕见但严重的并发症。我们报告了一名有鼻咽癌病史的青少年病例,该患者在接受达托霉素治疗与植入式腔静脉导管相关的感染时发生了DIEP。症状包括反复出现的呼吸困难和外周血嗜酸性粒细胞增多,影像学检查结果与DIEP一致。其病理生理学涉及由达托霉素触发的免疫反应,导致嗜酸性粒细胞性肺部炎症。诊断需要对病史、临床实验室检查和影像学检查结果进行全面评估。主要治疗方法包括停用达托霉素,在严重病例中使用类固醇。对于使用过达托霉素且出现呼吸衰竭和双侧肺部混浊的患者,必须考虑DIEP,对于有血嗜酸性粒细胞增多或支气管肺泡灌洗的患者应怀疑有DIEP。

https://cdn.ncbi.nlm.nih.gov/pmc/blobs/2826/10978459/54b923787c91/cureus-0016-00000055095-i01.jpg

相似文献

1
Eosinophilic Pneumonia Induced by Daptomycin.
Cureus. 2024 Feb 27;16(2):e55095. doi: 10.7759/cureus.55095. eCollection 2024 Feb.
2
Eosinophilic pneumonia caused by daptomycin: Six cases from two institutions and a review of the literature.
J Infect Chemother. 2017 Apr;23(4):245-249. doi: 10.1016/j.jiac.2016.09.001. Epub 2016 Dec 18.
4
Daptomycin-induced eosinophilic pneumonia.
JAAPA. 2024 Apr 1;37(4):1-4. doi: 10.1097/01.JAA.0001005632.20281.96. Epub 2024 Mar 26.
5
Clinical characteristics, management, and outcome of eosinophilic pneumonia associated with daptomycin.
Med Clin (Barc). 2023 Jan 5;160(1):17-22. doi: 10.1016/j.medcli.2022.03.017. Epub 2022 Jul 12.
6
Rare Lung Malignancy Mimic: A Case of Daptomycin-Induced Acute Eosinophilic Pneumonia.
Cureus. 2024 Mar 13;16(3):e56106. doi: 10.7759/cureus.56106. eCollection 2024 Mar.
7
Daptomycin eosinophilic pneumonia, a systematic review of the literature and case series.
Infection. 2024 Dec;52(6):2145-2168. doi: 10.1007/s15010-024-02349-z. Epub 2024 Jul 19.
8
Acute Eosinophilic Pneumonia: A Rare Complication of Daptomycin Therapy.
Cureus. 2020 Jan 28;12(1):e6803. doi: 10.7759/cureus.6803.
10
Daptomycin-induced eosinophilic pneumonia: Are there any risk factors?
Infect Dis Now. 2021 Oct;51(7):618-621. doi: 10.1016/j.idnow.2021.01.002. Epub 2021 Jan 9.

本文引用的文献

1
Daptomycin-Induced Eosinophilic Pneumonia: A Case Report and Systematic Review.
Chemotherapy. 2024;69(2):85-99. doi: 10.1159/000535190. Epub 2023 Nov 14.
2
Imaging features of hepatic arterial and venous flow abnormalities.
Clin Liver Dis (Hoboken). 2018 Jan 31;11(1):27-32. doi: 10.1002/cld.686. eCollection 2018 Jan.
3
Drug-induced eosinophilic pneumonia: A review of 196 case reports.
Medicine (Baltimore). 2018 Jan;97(4):e9688. doi: 10.1097/MD.0000000000009688.
4
Daptomycin-Induced Acute Eosinophilic Pneumonia: Late Onset and Quick Recovery.
Case Rep Pulmonol. 2017;2017:8525789. doi: 10.1155/2017/8525789. Epub 2017 Nov 1.
5
A Review of Clinical and Imaging Findings in Eosinophilic Lung Diseases.
AJR Am J Roentgenol. 2017 May;208(5):1002-1010. doi: 10.2214/AJR.16.17315. Epub 2017 Feb 22.
6
Imaging of Eosinophilic Lung Diseases.
Radiol Clin North Am. 2016 Nov;54(6):1151-1164. doi: 10.1016/j.rcl.2016.05.008. Epub 2016 Aug 12.
8
Lung involvement in hypereosinophilic syndromes.
Respir Med. 2011 Jan;105(1):114-21. doi: 10.1016/j.rmed.2010.09.011. Epub 2010 Oct 30.
9
Eosinophilic lung diseases: a clinical, radiologic, and pathologic overview.
Radiographics. 2007 May-Jun;27(3):617-37; discussion 637-9. doi: 10.1148/rg.273065051.
10
Drug-induced eosinophilic pneumonia: high-resolution CT findings in 14 patients.
AJR Am J Roentgenol. 2006 Feb;186(2):368-73. doi: 10.2214/AJR.04.1847.

文献AI研究员

20分钟写一篇综述,助力文献阅读效率提升50倍。

立即体验

用中文搜PubMed

大模型驱动的PubMed中文搜索引擎

马上搜索

文档翻译

学术文献翻译模型,支持多种主流文档格式。

立即体验