Suppr超能文献

斯内登综合征:来自沙特阿拉伯的一例病例报告。

Sneddon Syndrome: A Case Report From Saudi Arabia.

作者信息

Madani Abdulaziz, Almutairi Hanadi M, Alshathry Yazeed H, Albinhar Turki, Barakeh Maha M

机构信息

Dermatology, King Saud University Medical City, Riyadh, SAU.

Department of Dermatology, King Saud University Medical City, Riyadh, SAU.

出版信息

Cureus. 2024 Mar 4;16(3):e55509. doi: 10.7759/cureus.55509. eCollection 2024 Mar.

Abstract

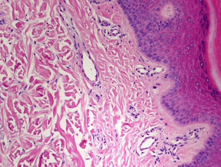
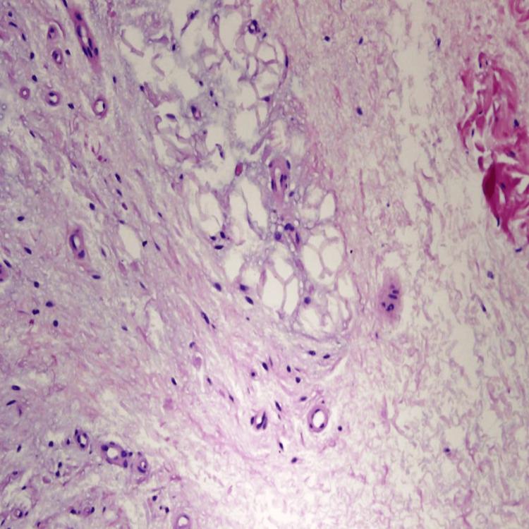
Sneddon syndrome, also known as livedo reticularis with cerebrovascular accidents, is a rare but chronic condition that affects blood vessels in the skin and brain. This syndrome is characterized by a net-like appearance on the skin, known as livedo reticularis, which occurs due to the constriction of blood vessels. In addition to skin manifestations, Sneddon syndrome is often associated with repeated neurological events, such as strokes or transient ischemic attacks. These neurological symptoms can vary in severity and can lead to various complications. Upon admission to the stroke unit, a 28-year-old female was found to have bilateral livedo reticularis affecting the soles and the dorsal sides of the hands. Patient evaluation is done through medical history, physical examination, routine laboratory tests, and other diagnostic procedures.

摘要

斯内登综合征,也称为伴有脑血管意外的网状青斑,是一种罕见的慢性疾病,会影响皮肤和大脑中的血管。这种综合征的特征是皮肤上出现网状外观,即网状青斑,这是由血管收缩引起的。除了皮肤表现外,斯内登综合征还常与反复的神经系统事件相关,如中风或短暂性脑缺血发作。这些神经症状的严重程度各不相同,并可能导致各种并发症。一名28岁女性入住卒中单元时,被发现双侧网状青斑累及足底和手背。通过病史、体格检查、常规实验室检查和其他诊断程序对患者进行评估。

https://cdn.ncbi.nlm.nih.gov/pmc/blobs/cf22/10990651/4e6872e66e4c/cureus-0016-00000055509-i01.jpg

文献AI研究员

20分钟写一篇综述,助力文献阅读效率提升50倍。

立即体验

用中文搜PubMed

大模型驱动的PubMed中文搜索引擎

马上搜索

文档翻译

学术文献翻译模型,支持多种主流文档格式。

立即体验