Suppr超能文献

蝶骨浆细胞瘤作为多发性骨髓瘤的首发表现——病例报告

Sphenoid plasmacytoma as initial presentation of multiple myeloma-case report.

作者信息

Chadli Sarra, Oudrhiri Mohammed Y, Maamar Mouna, Boutarbouch Mahjouba, Khibri Hajar, Haidouri Soukaina, Messaoud Ola, El-Aoufir Omar, Melhaoui Adyl, Ammouri Wafaa, Ouahabi Abdessamad, Harmouche Hicham, Adnaoui Mohammed, Tazi Mezalek Zoubida

机构信息

Internal Medicine, Ibn Sina University Hospital, Mohammed V University, 10100 Rabat, Morocco.

Neurosurgery HSR, Ibn Sina University Hospital, Mohammed V University, 10100 Rabat, Morocco.

出版信息

J Surg Case Rep. 2024 Apr 1;2024(4):rjae199. doi: 10.1093/jscr/rjae199. eCollection 2024 Apr.

Abstract

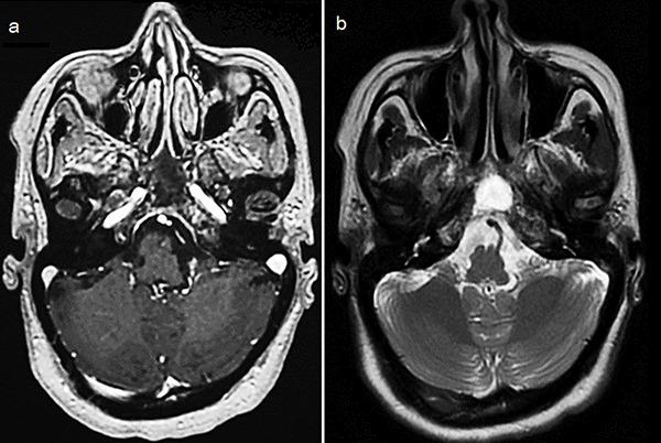
Plasmacytoma is a rare plasma cell neoplasm. Whether solitary or associated with multiple myeloma (MM), it rarely involves the skull base, particularly the sphenoid bone. We present a unique case of sphenoid bone plasmacytoma secondary to MM, highlighting diagnostic and therapeutic challenges. A 56-year-old female presented with headaches, vomiting, epistaxis, and cranial nerve deficits. Cerebral imaging revealed a 65-mm tumor infiltrating the sphenoid bone and adjacent structures. Subtotal resection was performed using an endoscopic nasal approach. Histopathology revealed plasmacytoma, and diagnostic workup confirmed MM. By the end of biological exploration, relapse of the sphenoid plasmacytoma was observed, and the patient was successfully treated with radiotherapy, immunochemotherapy, and autologous stem cell transplantation. After 18-month follow-up, sustained complete remission was confirmed. Although rare, the diagnosis of plasmacytoma should be considered in cases of skull base tumors. This localization is highly predictive of MM, warranting comprehensive investigations to initiate prompt and adequate management.

摘要

浆细胞瘤是一种罕见的浆细胞肿瘤。无论是孤立性还是与多发性骨髓瘤(MM)相关,它很少累及颅底,尤其是蝶骨。我们报告一例继发于MM的蝶骨浆细胞瘤的独特病例,突出诊断和治疗挑战。一名56岁女性出现头痛、呕吐、鼻出血和颅神经功能缺损。脑部影像学检查发现一个65毫米的肿瘤浸润蝶骨及相邻结构。采用鼻内镜入路进行了次全切除。组织病理学显示为浆细胞瘤,诊断检查证实为MM。在生物学检查结束时,观察到蝶骨浆细胞瘤复发,患者接受放疗、免疫化疗和自体干细胞移植后成功治愈。经过18个月的随访,确认持续完全缓解。尽管罕见,但在颅底肿瘤病例中应考虑浆细胞瘤的诊断。这种定位高度提示MM,需要进行全面检查以便及时进行充分治疗。

https://cdn.ncbi.nlm.nih.gov/pmc/blobs/ffd4/10987209/14aa2defcb3d/rjae199f1.jpg

文献AI研究员

20分钟写一篇综述,助力文献阅读效率提升50倍。

立即体验

用中文搜PubMed

大模型驱动的PubMed中文搜索引擎

马上搜索

文档翻译

学术文献翻译模型,支持多种主流文档格式。

立即体验