Suppr超能文献

起源于后床突的颅内骨软骨瘤:一例罕见病例报告及诊断挑战与文献综述

Intracranial osteochondroma arising from the posterior clinoid process: a rare case report with diagnostic challenges and comprehensive literature review.

作者信息

Thapa Bikash Raj, Katwal Shailendra

机构信息

Department of Radiology, National Trauma Center, Kathmandu.

Department of Radiology, Dadeldhura Subregional Hospital, Dadeldhura, Nepal.

出版信息

Ann Med Surg (Lond). 2024 Feb 28;86(4):2352-2356. doi: 10.1097/MS9.0000000000001855. eCollection 2024 Apr.

Abstract

INTRODUCTION AND IMPORTANCE

Intracranial osteochondroma is rare, presenting diagnostic challenges due to overlapping imaging findings with other pathologies. This case report highlights the significance of considering osteochondroma in calcified tumour differentials near bone.

CASE PRESENTATION

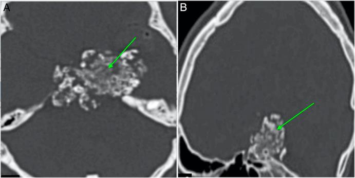
A 34-year-old man with vision deterioration and headaches had an MRI revealing a suprasellar lesion. Intraoperatively, a bony hard tumour was partially resected. Subsequent computed tomography (CT) confirmed a calcified mass contiguous with the posterior clinoid.

CLINICAL DISCUSSION

Reviewing 28 cases, skull base osteochondromas were common, with differential diagnoses including craniopharyngioma and meningioma. Surgical decision-making involved balancing complete resection for convexity and falx cases versus partial resection for skull base tumours due to proximity to critical structures.

CONCLUSION

Intracranial osteochondroma poses diagnostic challenges, especially near bone. Tailored surgical approaches are vital, with complete resection yielding good outcomes for convexity and falx cases. Close follow-up is crucial for monitoring recurrences and complications.

摘要

引言与重要性

颅内骨软骨瘤较为罕见,因其影像学表现与其他病变重叠而带来诊断挑战。本病例报告强调了在靠近骨骼的钙化肿瘤鉴别诊断中考虑骨软骨瘤的重要性。

病例介绍

一名34岁视力减退且头痛的男性,MRI显示鞍上病变。术中部分切除了一个骨质坚硬的肿瘤。随后的计算机断层扫描(CT)证实有一个与后床突相连的钙化肿块。

临床讨论

回顾28例病例,颅底骨软骨瘤较为常见,鉴别诊断包括颅咽管瘤和脑膜瘤。手术决策涉及在凸面和镰旁病例进行完整切除与因靠近关键结构而对颅底肿瘤进行部分切除之间进行权衡。

结论

颅内骨软骨瘤带来诊断挑战,尤其是在靠近骨骼处。量身定制的手术方法至关重要,完整切除对凸面和镰旁病例可产生良好效果。密切随访对于监测复发和并发症至关重要。

https://cdn.ncbi.nlm.nih.gov/pmc/blobs/d536/10990327/049bc3c9d919/ms9-86-2352-g001.jpg

文献AI研究员

20分钟写一篇综述,助力文献阅读效率提升50倍。

立即体验

用中文搜PubMed

大模型驱动的PubMed中文搜索引擎

马上搜索

文档翻译

学术文献翻译模型,支持多种主流文档格式。

立即体验