Department of Cardiac Surgery, Frankel Cardiovascular Center, The University of Michigan, Ann Arbor, MI 48109, USA.
Department of Cardiac Surgery, Frankel Cardiovascular Center, The University of Michigan, Ann Arbor, MI 48109, USA.
Cell Rep. 2024 Apr 23;43(4):114054. doi: 10.1016/j.celrep.2024.114054. Epub 2024 Apr 4.
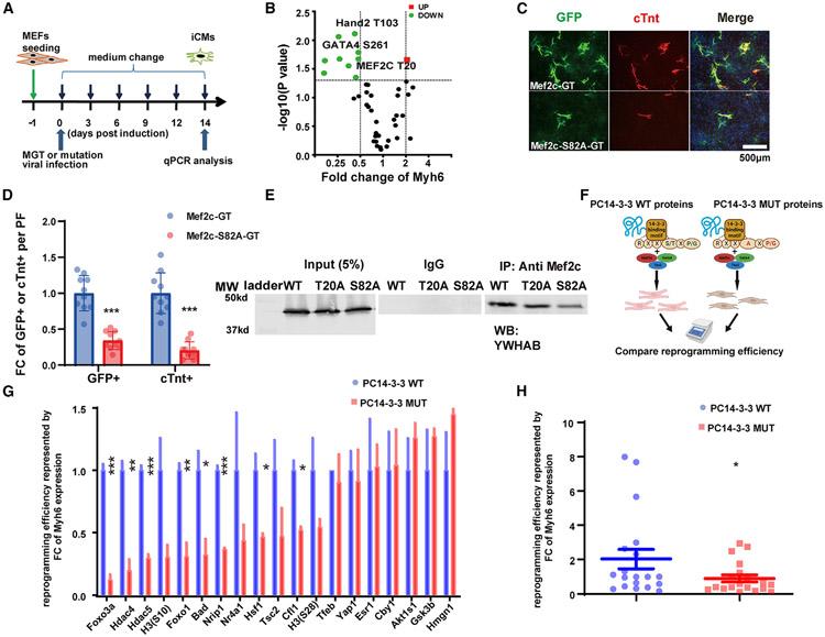
Cell fate conversion is associated with extensive post-translational modifications (PTMs) and architectural changes of sub-organelles, yet how these events are interconnected remains unknown. We report here the identification of a phosphorylation code in 14-3-3 binding motifs (PC14-3-3) that greatly stimulates induced cardiomyocyte (iCM) formation from fibroblasts. PC14-3-3 is identified in pivotal functional proteins for iCM reprogramming, including transcription factors and chromatin modifiers. Akt1 kinase and protein phosphatase 2A are the key writer and key eraser of the PC14-3-3 code, respectively. PC14-3-3 activation induces iCM formation with the presence of only Tbx5. In contrast, PC14-3-3 inhibition by mutagenesis or inhibitor-mediated code removal abolishes reprogramming. We discover that key PC14-3-3-embedded factors, such as histone deacetylase 4 (Hdac4), Mef2c, and Foxo1, form Hdac4-organized inhibitory nuclear condensates. PC14-3-3 activation disrupts Hdac4 condensates to promote cardiac gene expression. Our study suggests that sub-organelle dynamics regulated by a PTM code could be a general mechanism for stimulating cell reprogramming.
细胞命运转变与亚细胞器的广泛翻译后修饰(PTMs)和结构变化有关,但这些事件如何相互关联尚不清楚。我们在这里报告了在 14-3-3 结合基序(PC14-3-3)中发现的磷酸化密码,该密码极大地刺激了成纤维细胞向诱导型心肌细胞(iCM)的形成。PC14-3-3 被鉴定为 iCM 重编程的关键功能蛋白,包括转录因子和染色质修饰因子。Akt1 激酶和蛋白磷酸酶 2A 分别是 PC14-3-3 密码的关键写入器和关键擦除器。Akt1 激酶和蛋白磷酸酶 2A 分别是 PC14-3-3 密码的关键写入器和关键擦除器。PC14-3-3 的激活诱导了 iCM 的形成,而只有 Tbx5 存在。相比之下,通过突变或抑制剂介导的密码去除抑制 PC14-3-3 会阻止重编程。我们发现,关键的 PC14-3-3 嵌入因子,如组蛋白去乙酰化酶 4(Hdac4)、Mef2c 和 Foxo1,形成了 Hdac4 组织的抑制性核凝聚物。PC14-3-3 的激活破坏了 Hdac4 凝聚物,从而促进了心脏基因的表达。我们的研究表明,受 PTM 密码调控的亚细胞器动力学可能是刺激细胞重编程的一种普遍机制。