Suppr超能文献

双心室 Takotsubo 综合征合并心源性休克及室间隔破裂:一例报告

Biventricular Takotsubo syndrome complicated with cardiogenic shock and ventricular septal rupture: a case report.

作者信息

Paiva Mariana Sousa, Maltês Sérgio, Brízido Catarina, Madeira Márcio, Tralhão António

机构信息

Hospital de Santa Cruz, Centro Hospitalar de Lisboa Ocidental, Av. Prof. Dr. Reinaldo dos Santos, 2790-134 Carnaxide, Lisbon, Portugal.

出版信息

Eur Heart J Case Rep. 2024 Mar 22;8(4):ytae154. doi: 10.1093/ehjcr/ytae154. eCollection 2024 Apr.

Abstract

BACKGROUND

Takotsubo syndrome (TTS) mimics acute coronary syndromes but can lead to serious cardiac complications, emphasizing the need for improved understanding and management.

CASE SUMMARY

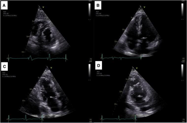
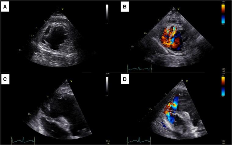
We describe a TTS case presented with cardiogenic shock due to ventricular septal rupture (VSR). Successful treatment involved mechanical circulatory support followed by VSR surgical closure.

DISCUSSION

Ventricular septal rupture is the rarest and deadliest complication associated with TTS. Prompt recognition and a multidisciplinary approach are crucial to achieve the best possible outcome.

摘要

背景

应激性心肌病(TTS)可模拟急性冠脉综合征,但可导致严重的心脏并发症,这凸显了加强理解和管理的必要性。

病例摘要

我们描述了一例因室间隔破裂(VSR)导致心源性休克的TTS病例。成功的治疗包括机械循环支持,随后进行VSR手术闭合。

讨论

室间隔破裂是与TTS相关的最罕见且最致命的并发症。迅速识别和多学科方法对于取得最佳结果至关重要。

https://cdn.ncbi.nlm.nih.gov/pmc/blobs/8102/10996925/4ec69101deca/ytae154f1.jpg

文献AI研究员

20分钟写一篇综述,助力文献阅读效率提升50倍。

立即体验

用中文搜PubMed

大模型驱动的PubMed中文搜索引擎

马上搜索

文档翻译

学术文献翻译模型,支持多种主流文档格式。

立即体验