• 文献检索
  • 文档翻译
  • 深度研究
  • 学术资讯
  • Suppr Zotero 插件Zotero 插件
  • 邀请有礼
  • 套餐&价格
  • 历史记录
应用&插件
Suppr Zotero 插件Zotero 插件浏览器插件Mac 客户端Windows 客户端微信小程序
定价
高级版会员购买积分包购买API积分包
服务
文献检索文档翻译深度研究API 文档MCP 服务
关于我们
关于 Suppr公司介绍联系我们用户协议隐私条款
关注我们

Suppr 超能文献

核心技术专利:CN118964589B侵权必究
粤ICP备2023148730 号-1Suppr @ 2026

文献检索

告别复杂PubMed语法,用中文像聊天一样搜索,搜遍4000万医学文献。AI智能推荐,让科研检索更轻松。

立即免费搜索

文件翻译

保留排版,准确专业,支持PDF/Word/PPT等文件格式,支持 12+语言互译。

免费翻译文档

深度研究

AI帮你快速写综述,25分钟生成高质量综述,智能提取关键信息,辅助科研写作。

立即免费体验

LUC7L3是SRSF1的下游因子,可防止基因组不稳定。

LUC7L3 is a downstream factor of SRSF1 and prevents genomic instability.

作者信息

Zhang Xiaqing, Guo Jing, Shi Xin, Zhou Xin, Chen Qiang

机构信息

Department of Gastrointestinal Surgery, Medical Research Institute, Zhongnan Hospital of Wuhan University, Wuhan University, Wuhan, 430071, China.

Frontier Science Center for Immunology and Metabolism, Medical Research Institute, Wuhan University, Wuhan, 430071, China.

出版信息

Cell Insight. 2024 Mar 23;3(3):100170. doi: 10.1016/j.cellin.2024.100170. eCollection 2024 Jun.

DOI:10.1016/j.cellin.2024.100170
PMID:38590928
原文链接:https://pmc.ncbi.nlm.nih.gov/articles/PMC10999515/
Abstract

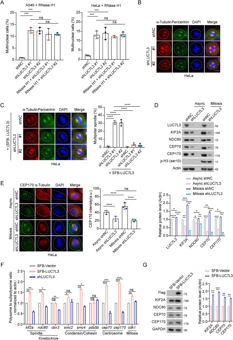
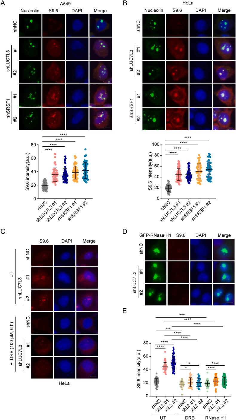
The RNA-binding protein LUC7L3 is the human homolog of yeast U1 small nuclear RNA (snRNA)-related splicing factor Luc7p. While the primary function of LUC7L3 as an RNA-binding protein is believed to be involved in RNA metabolism, particularly in the splicing process, its exact role and other functions are still not fully understood. In this study, we aimed to elucidate the role of LUC7L3 and its impact on cell proliferation. Our study revealed that LUC7L3 depletion impairs cell proliferation compared to the other Luc7p paralogs, resulting in cell apoptosis and senescence. We explored the underlying mechanisms and found that LUC7L3 depletion leads to R-loop accumulation, DNA replication stress, and genome instability. Furthermore, we discovered that LUC7L3 depletion caused abnormalities in spindle assembly, leading to the formation of multinuclear cells. This was attributed to the dysregulation of protein translation of spindle-associated proteins. Additionally, we investigated the interplay between LUC7L3 and SRSF1 and identified SRSF1 as an upper stream regulator of LUC7L3, promoting the translation of LUC7L3 protein. These findings highlight the importance of LUC7L3 in maintaining genome stability and its relationship with SRSF1 in this regulatory pathway.

摘要

RNA结合蛋白LUC7L3是酵母U1小核RNA(snRNA)相关剪接因子Luc7p的人类同源物。虽然LUC7L3作为一种RNA结合蛋白的主要功能被认为参与RNA代谢,特别是在剪接过程中,但其确切作用和其他功能仍未完全了解。在本研究中,我们旨在阐明LUC7L3的作用及其对细胞增殖的影响。我们的研究表明,与其他Luc7p旁系同源物相比,LUC7L3的缺失会损害细胞增殖,导致细胞凋亡和衰老。我们探究了其潜在机制,发现LUC7L3的缺失会导致R环积累、DNA复制应激和基因组不稳定。此外,我们发现LUC7L3的缺失会导致纺锤体组装异常,导致多核细胞的形成。这归因于纺锤体相关蛋白的蛋白质翻译失调。此外,我们研究了LUC7L3与SRSF1之间的相互作用,并确定SRSF1是LUC7L3的上游调节因子,促进LUC7L3蛋白的翻译。这些发现突出了LUC7L3在维持基因组稳定性中的重要性及其在该调节途径中与SRSF1的关系。

https://cdn.ncbi.nlm.nih.gov/pmc/blobs/eb60/10999515/0f16b4865b19/gr7.jpg
https://cdn.ncbi.nlm.nih.gov/pmc/blobs/eb60/10999515/53bc4c53893e/ga1.jpg
https://cdn.ncbi.nlm.nih.gov/pmc/blobs/eb60/10999515/15c05321e41d/gr1.jpg
https://cdn.ncbi.nlm.nih.gov/pmc/blobs/eb60/10999515/9228eec0ce09/gr2.jpg
https://cdn.ncbi.nlm.nih.gov/pmc/blobs/eb60/10999515/31b7278d1f27/gr3.jpg
https://cdn.ncbi.nlm.nih.gov/pmc/blobs/eb60/10999515/7bb473e51e14/gr4.jpg
https://cdn.ncbi.nlm.nih.gov/pmc/blobs/eb60/10999515/0d46d604fbb4/gr5.jpg
https://cdn.ncbi.nlm.nih.gov/pmc/blobs/eb60/10999515/14d9680b8adc/gr6.jpg
https://cdn.ncbi.nlm.nih.gov/pmc/blobs/eb60/10999515/0f16b4865b19/gr7.jpg
https://cdn.ncbi.nlm.nih.gov/pmc/blobs/eb60/10999515/53bc4c53893e/ga1.jpg
https://cdn.ncbi.nlm.nih.gov/pmc/blobs/eb60/10999515/15c05321e41d/gr1.jpg
https://cdn.ncbi.nlm.nih.gov/pmc/blobs/eb60/10999515/9228eec0ce09/gr2.jpg
https://cdn.ncbi.nlm.nih.gov/pmc/blobs/eb60/10999515/31b7278d1f27/gr3.jpg
https://cdn.ncbi.nlm.nih.gov/pmc/blobs/eb60/10999515/7bb473e51e14/gr4.jpg
https://cdn.ncbi.nlm.nih.gov/pmc/blobs/eb60/10999515/0d46d604fbb4/gr5.jpg
https://cdn.ncbi.nlm.nih.gov/pmc/blobs/eb60/10999515/14d9680b8adc/gr6.jpg
https://cdn.ncbi.nlm.nih.gov/pmc/blobs/eb60/10999515/0f16b4865b19/gr7.jpg

相似文献

1
LUC7L3 is a downstream factor of SRSF1 and prevents genomic instability.LUC7L3是SRSF1的下游因子,可防止基因组不稳定。
Cell Insight. 2024 Mar 23;3(3):100170. doi: 10.1016/j.cellin.2024.100170. eCollection 2024 Jun.
2
Exon-independent recruitment of SRSF1 is mediated by U1 snRNP stem-loop 3.SRSF1 的exon 非依赖性募集由 U1 snRNP 茎环 3 介导。
EMBO J. 2022 Jan 4;41(1):e107640. doi: 10.15252/embj.2021107640. Epub 2021 Nov 15.
3
SRSF1 Is Crucial for Maintaining Satellite Cell Homeostasis During Skeletal Muscle Growth and Regeneration.SRSF1对骨骼肌生长和再生过程中维持卫星细胞稳态至关重要。
J Cachexia Sarcopenia Muscle. 2024 Dec;15(6):2629-2641. doi: 10.1002/jcsm.13607. Epub 2024 Oct 9.
4
LUC7L3/CROP inhibits replication of hepatitis B virus via suppressing enhancer II/basal core promoter activity.LUC7L3/CROP 通过抑制增强子 II/基本核心启动子活性来抑制乙型肝炎病毒的复制。
Sci Rep. 2016 Nov 18;6:36741. doi: 10.1038/srep36741.
5
SRSF1 Prevents DNA Damage and Promotes Tumorigenesis through Regulation of DBF4B Pre-mRNA Splicing.SRSF1 通过调控 DBF4B 前体 mRNA 的剪接来预防 DNA 损伤并促进肿瘤发生。
Cell Rep. 2017 Dec 19;21(12):3406-3413. doi: 10.1016/j.celrep.2017.11.091.
6
Emerging functions of SRSF1, splicing factor and oncoprotein, in RNA metabolism and cancer.SRSF1(一种剪接因子和癌蛋白)在RNA代谢及癌症中的新功能。
Mol Cancer Res. 2014 Sep;12(9):1195-204. doi: 10.1158/1541-7786.MCR-14-0131. Epub 2014 May 7.
7
SRSF1 RNA Recognition Motifs Are Strong Inhibitors of HIV-1 Replication.SRSF1 RNA识别基序是HIV-1复制的强效抑制剂。
J Virol. 2015 Jun;89(12):6275-86. doi: 10.1128/JVI.00693-15. Epub 2015 Apr 8.
8
Splicing factor SRSF1 controls autoimmune-related molecular pathways in regulatory T cells distinct from FoxP3.剪接因子 SRSF1 通过不同于 FoxP3 的调控性 T 细胞控制自身免疫相关的分子途径。
Mol Immunol. 2022 Dec;152:140-152. doi: 10.1016/j.molimm.2022.10.017. Epub 2022 Nov 8.
9
A proposed molecular mechanism for pathogenesis of severe RNA-viral pulmonary infections.一种严重 RNA 病毒肺部感染发病机制的分子机制假说。
F1000Res. 2020 Aug 7;9:943. doi: 10.12688/f1000research.25390.2. eCollection 2020.
10
The RNA-binding protein SRSF1 is a key cell cycle regulator via stabilizing NEAT1 in glioma.RNA 结合蛋白 SRSF1 通过稳定神经内泌瘤相关转录本 1(NEAT1)在神经胶质瘤中是一个关键的细胞周期调控因子。
Int J Biochem Cell Biol. 2019 Aug;113:75-86. doi: 10.1016/j.biocel.2019.06.003. Epub 2019 Jun 11.

引用本文的文献

1
TOPO-seq reveals DNA topology-induced off-target activity by Cas9 and base editors.TOPO-seq揭示了DNA拓扑结构诱导的Cas9和碱基编辑器的脱靶活性。
Nat Chem Biol. 2025 Apr 2. doi: 10.1038/s41589-025-01867-7.

本文引用的文献

1
Alternative splicing of BCL-x is controlled by RBM25 binding to a G-quadruplex in BCL-x pre-mRNA.BCL-x 的可变剪接受 RBM25 与 BCL-x 前体 mRNA 中 G-四链体的结合所控制。
Nucleic Acids Res. 2023 Nov 10;51(20):11239-11257. doi: 10.1093/nar/gkad772.
2
MEN1 is a regulator of alternative splicing and prevents R-loop-induced genome instability through suppression of RNA polymerase II elongation.MEN1 是可变剪接的调节剂,通过抑制 RNA 聚合酶 II 的延伸来防止 R 环引起的基因组不稳定性。
Nucleic Acids Res. 2023 Aug 25;51(15):7951-7971. doi: 10.1093/nar/gkad548.
3
Transcription-replication conflicts in primordial germ cells necessitate the Fanconi anemia pathway to safeguard genome stability.
原始生殖细胞中的转录-复制冲突需要范可尼贫血途径来保障基因组稳定性。
Proc Natl Acad Sci U S A. 2022 Aug 23;119(34):e2203208119. doi: 10.1073/pnas.2203208119. Epub 2022 Aug 15.
4
DDX18 prevents R-loop-induced DNA damage and genome instability via PARP-1.DDX18 通过 PARP-1 防止 R 环诱导的 DNA 损伤和基因组不稳定性。
Cell Rep. 2022 Jul 19;40(3):111089. doi: 10.1016/j.celrep.2022.111089.
5
RNase H1, the Gold Standard for R-Loop Detection.RNase H1,R 环检测的金标准。
Methods Mol Biol. 2022;2528:91-114. doi: 10.1007/978-1-0716-2477-7_7.
6
Structural basis of R-loop recognition by the S9.6 monoclonal antibody.S9.6 单克隆抗体识别 R 环的结构基础。
Nat Commun. 2022 Mar 28;13(1):1641. doi: 10.1038/s41467-022-29187-7.
7
The RNA-binding protein LUC7L2 mediates MITA/STING intron retention to negatively regulate innate antiviral response.RNA结合蛋白LUC7L2介导MITA/STING内含子保留以负向调节先天性抗病毒反应。
Cell Discov. 2021 Jun 22;7(1):46. doi: 10.1038/s41421-021-00277-y.
8
The splicing factor XAB2 interacts with ERCC1-XPF and XPG for R-loop processing.剪接因子 XAB2 与 ERCC1-XPF 和 XPG 相互作用,参与 R 环的处理。
Nat Commun. 2021 May 26;12(1):3153. doi: 10.1038/s41467-021-23505-1.
9
The SWI/SNF chromatin remodeling complex helps resolve R-loop-mediated transcription-replication conflicts.SWI/SNF 染色质重塑复合物有助于解决 R 环介导的转录-复制冲突。
Nat Genet. 2021 Jul;53(7):1050-1063. doi: 10.1038/s41588-021-00867-2. Epub 2021 May 13.
10
Loss of LUC7L2 and U1 snRNP subunits shifts energy metabolism from glycolysis to OXPHOS.缺失 LUC7L2 和 U1 snRNP 亚基会将能量代谢从糖酵解转移到 OXPHOS。
Mol Cell. 2021 May 6;81(9):1905-1919.e12. doi: 10.1016/j.molcel.2021.02.033. Epub 2021 Apr 13.