Department of Radiology, Chengdu Fifth People's Hospital, 33# Ma Shi Street, Chengdu, 611130, China.
Department of Cardiology, Chengdu Fifth People's Hospital, 33# Ma Shi Street, Chengdu, 611130, China.
BMC Cardiovasc Disord. 2024 Apr 9;24(1):203. doi: 10.1186/s12872-024-03859-2.
In patients with hypertrophic cardiomyopathy (HCM), ischemic myocardial fibrosis assessed by late gadolinium enhancement (I-LGE) using cardiovascular magnetic resonance (CMR) have been reported. However, the clinical significance of I-LGE has not been completely understood. We aim to evaluate the I-LGE differ phenotypically from HCM without LGE or nonischemic myocardial fibrosis assessed by late gadolinium enhancement (NI-LGE) in the left ventricle (LV).
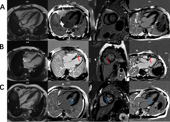
The patients with HCM whom was underwent CMR were enrolled, using cine cardiac magnetic resonance to evaluate LV function and LGE to detect the myocardial fibrosis. Three groups were assorted: 1) HCM without LGE; 2) HCM with LGE involved the subendocardial layer was defined as I-LGE; 3) HCM with LGE not involved the subendocardial layer was defined as NI-LGE.
We enrolled 122 patients with HCM in the present study. LGE was detected in 58 of 122 (48%) patients with HCM, and 22 (18%) of patients reported I-LGE. HCM with I-LGE had increased higher left ventricular mass index (LVMI) (P < 0.0001) than HCM with NI-LGE or without LGE. In addition, HCM with I-LGE had a larger LV end- systolic volume (P = 0.045), lower LV ejection fraction (LVEF) (P = 0.026), higher LV myocardial mass (P < 0.001) and thicker LV wall (P < 0.001) more than HCM without LGE alone. The I-LGE were significantly associated with LVEF (OR: 0.961; P = 0.016), LV mass (OR: 1.028; P < 0.001), and maximal end-diastolic LVWT (OR: 1.567; P < 0.001). On multivariate analysis, LVEF (OR: 0.948; P = 0.013) and maximal end-diastolic LVWT (OR: 1.548; P = 0.001) were associated with higher risk for I-LGE compared to HCM without LGE. Noticeably, the maximal end-diastolic LVWT (OR: 1.316; P = 0.011) was the only associated with NI-LGE compared to HCM without LGE.
I-LGE is not uncommon in patients with HCM. HCM with I-LGE was associated with significant LV hypertrophy, extensive LGE and poor LV ejection fraction. We should consider focal ischemic myocardial fibrosis when applying LGE to risk stratification for HCM.
在肥厚型心肌病(HCM)患者中,心血管磁共振(CMR)检测到的延迟钆增强(I-LGE)可评估缺血性心肌纤维化。然而,I-LGE 的临床意义尚未完全明确。我们旨在评估 I-LGE 在左心室(LV)方面与无 LGE 或无缺血性心肌纤维化(NI-LGE)的 HCM 患者存在差异。
本研究纳入了接受 CMR 检查的 HCM 患者,使用电影心脏磁共振评估 LV 功能,使用 LGE 检测心肌纤维化。将患者分为三组:1)无 LGE 的 HCM;2)LGE 累及心内膜下层的 HCM 定义为 I-LGE;3)LGE 不累及心内膜下层的 HCM 定义为 NI-LGE。
本研究共纳入了 122 例 HCM 患者,其中 58 例(48%)患者的 HCM 存在 LGE,22 例(18%)患者报告有 I-LGE。与 NI-LGE 或无 LGE 的 HCM 相比,I-LGE 的 HCM 患者左心室质量指数(LVMI)更高(P<0.0001)。此外,I-LGE 的 HCM 患者 LV 收缩末期容积更大(P=0.045),LV 射血分数(LVEF)更低(P=0.026),LV 心肌质量更大(P<0.001),LV 壁更厚(P<0.001)。I-LGE 与 LVEF(OR:0.961;P=0.016)、LV 质量(OR:1.028;P<0.001)和最大 LV 舒张末期室壁厚度(OR:1.567;P<0.001)显著相关。多变量分析显示,与无 LGE 的 HCM 相比,LVEF(OR:0.948;P=0.013)和最大 LV 舒张末期室壁厚度(OR:1.548;P=0.001)与 I-LGE 的发生风险更高相关。值得注意的是,与无 LGE 的 HCM 相比,最大 LV 舒张末期室壁厚度(OR:1.316;P=0.011)是与 NI-LGE 唯一相关的因素。
I-LGE 在 HCM 患者中并不少见。I-LGE 的 HCM 患者与显著的 LV 肥厚、广泛的 LGE 和较差的 LVEF 相关。在对 HCM 进行 LGE 风险分层时,我们应该考虑局灶性缺血性心肌纤维化。