• 文献检索
  • 文档翻译
  • 深度研究
  • 学术资讯
  • Suppr Zotero 插件Zotero 插件
  • 邀请有礼
  • 套餐&价格
  • 历史记录
应用&插件
Suppr Zotero 插件Zotero 插件浏览器插件Mac 客户端Windows 客户端微信小程序
定价
高级版会员购买积分包购买API积分包
服务
文献检索文档翻译深度研究API 文档MCP 服务
关于我们
关于 Suppr公司介绍联系我们用户协议隐私条款
关注我们

Suppr 超能文献

核心技术专利:CN118964589B侵权必究
粤ICP备2023148730 号-1Suppr @ 2026

文献检索

告别复杂PubMed语法,用中文像聊天一样搜索,搜遍4000万医学文献。AI智能推荐,让科研检索更轻松。

立即免费搜索

文件翻译

保留排版,准确专业,支持PDF/Word/PPT等文件格式,支持 12+语言互译。

免费翻译文档

深度研究

AI帮你快速写综述,25分钟生成高质量综述,智能提取关键信息,辅助科研写作。

立即免费体验

冠状动脉栓塞与心肌梗死,病例报告。

Coronary Artery Embolism and Myocardial Infarction, case report.

作者信息

Narváez Orozco Alejandro, Navarro Navajas Alberto, Cardona Buitrago Carolina, Senior-Sánchez Juan M, Ortiz Uribe Juan Camilo, Delgado Restrepo Juan Andrés

机构信息

Universidad de Antioquia, Hospital Universitario San Vicente Fundación, Antioquia, Colombia. Universidad de Antioquia Universidad de Antioquia Hospital Universitario San Vicente Fundación Antioquia Colombia.

Sección de Cardiología, Departamento de Medicina Interna, Grupo para el Estudio de las Enfermedades Cardiovasculares, Universidad de Antioquia. Antioquia, Colombia. Universidad de Antioquia Sección de Cardiología, Departamento de Medicina Interna, Grupo para el Estudio de las Enfermedades Cardiovasculares Universidad de Antioquia Antioquia Colombia.

出版信息

Arch Peru Cardiol Cir Cardiovasc. 2024 Mar 19;5(1):45-49. doi: 10.47487/apcyccv.v5i1.347. eCollection 2024 Jan-Mar.

DOI:10.47487/apcyccv.v5i1.347
PMID:38596603
原文链接:https://pmc.ncbi.nlm.nih.gov/articles/PMC10999311/
Abstract

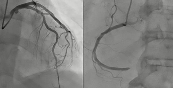
Coronary embolism (CE) is a rare cause of non-atherosclerotic acute coronary syndrome (ACS). The clinical presentation is similar to ACS, and the diagnosis is supported by Shibata criteria. Atrial fibrillation is the main reported etiology in CE cases. Management includes percutaneous intervention with thromboaspiration and anticoagulation. The following case is a description of a patient with acute chest pain and recently diagnosed atrial fibrillation (AF) with a rapid ventricular response, is described. A thrombotic lesion in the distal right coronary artery (RCA) of embolic origin, was documented. Successful mechanical thromboaspiration was performed; intravascular ultrasound (IVUS) showed no thrombus, dissection, or atherosclerotic plaque. CE is an underdiagnosed cause of ACS; diagnosis relies on Shibata criteria, and patients experience worse outcomes in follow-up.

摘要

冠状动脉栓塞(CE)是引起非动脉粥样硬化性急性冠状动脉综合征(ACS)的罕见原因。其临床表现与ACS相似,Shibata标准有助于诊断。心房颤动是CE病例中主要的报告病因。治疗包括经皮血栓抽吸介入治疗和抗凝治疗。以下病例描述了一名患有急性胸痛且近期诊断为心房颤动(AF)伴快速心室反应的患者。记录显示右冠状动脉(RCA)远端存在栓塞性血栓病变。成功进行了机械血栓抽吸;血管内超声(IVUS)显示无血栓、夹层或动脉粥样硬化斑块。CE是ACS的一个诊断不足的病因;诊断依赖于Shibata标准,且患者在随访中预后较差。

https://cdn.ncbi.nlm.nih.gov/pmc/blobs/0cc5/10999311/4ebaa5da3ef9/apcyccv-5-45-gf2.jpg
https://cdn.ncbi.nlm.nih.gov/pmc/blobs/0cc5/10999311/d18428c9f0db/apcyccv-5-45-gf1.jpg
https://cdn.ncbi.nlm.nih.gov/pmc/blobs/0cc5/10999311/4ebaa5da3ef9/apcyccv-5-45-gf2.jpg
https://cdn.ncbi.nlm.nih.gov/pmc/blobs/0cc5/10999311/d18428c9f0db/apcyccv-5-45-gf1.jpg
https://cdn.ncbi.nlm.nih.gov/pmc/blobs/0cc5/10999311/4ebaa5da3ef9/apcyccv-5-45-gf2.jpg

相似文献

1
Coronary Artery Embolism and Myocardial Infarction, case report.冠状动脉栓塞与心肌梗死,病例报告。
Arch Peru Cardiol Cir Cardiovasc. 2024 Mar 19;5(1):45-49. doi: 10.47487/apcyccv.v5i1.347. eCollection 2024 Jan-Mar.
2
Coronary artery embolism and acute coronary syndrome: A critical appraisal of existing data.冠状动脉栓塞和急性冠状动脉综合征:对现有数据的批判性评价。
Trends Cardiovasc Med. 2024 Jan;34(1):50-56. doi: 10.1016/j.tcm.2022.07.004. Epub 2022 Jul 19.
3
Left ventricular mural thrombus and dual coronary embolization associated with hyperthyroid cardiomyopathy and atrial fibrillation: a case report.左心室壁血栓与双冠状动脉栓塞合并甲状腺功能亢进性心肌病和心房颤动:一例报告
BMC Cardiovasc Disord. 2017 May 19;17(1):128. doi: 10.1186/s12872-017-0565-7.
4
Acute Myocardial Infarction Due to Coronary Artery Embolism in a 22-Year-Old Woman with Mitral Stenosis with Atrial Fibrillation Under Warfarinization: Successful Management with Anticoagulation.一名22岁二尖瓣狭窄伴心房颤动且正在接受华法林治疗的女性因冠状动脉栓塞导致急性心肌梗死:抗凝治疗成功。
Am J Case Rep. 2017 Apr 7;18:361-366. doi: 10.12659/ajcr.902250.
5
A Suspected Case of Acute Embolic Myocardial Infarction Following Direct-Current Cardioversion of Atrial Fibrillation.一例心房颤动直流电复律后疑似急性栓塞性心肌梗死病例
Am J Case Rep. 2018 Nov 2;19:1306-1310. doi: 10.12659/AJCR.911469.
6
Acute Coronary Syndrome (ACS) due to Coronary Artery Embolism in a Patient with Atrial Fibrillation.心房颤动患者冠状动脉栓塞所致急性冠状动脉综合征
Case Rep Cardiol. 2019 Oct 10;2019:9347198. doi: 10.1155/2019/9347198. eCollection 2019.
7
Clinical features and prognosis of acute myocardial infarction caused by non-tumor origin coronary artery embolism.非肿瘤源性冠状动脉栓塞致急性心肌梗死的临床特征及预后。
Am J Emerg Med. 2020 Jun;38(6):1185-1191. doi: 10.1016/j.ajem.2020.03.043. Epub 2020 Mar 24.
8
Simultaneously Presented Acute Ischemic Stroke and Non-ST Elevation Myocardial Infarction in a Patient with Paroxysmal Atrial Fibrillation.阵发性心房颤动患者同时发生急性缺血性脑卒中与非 ST 段抬高型心肌梗死。
Korean Circ J. 2013 Nov;43(11):766-9. doi: 10.4070/kcj.2013.43.11.766. Epub 2013 Nov 30.
9
Prevalence, Clinical Features, and Prognosis of Acute Myocardial Infarction Attributable to Coronary Artery Embolism.冠状动脉栓塞所致急性心肌梗死的患病率、临床特征和预后。
Circulation. 2015 Jul 28;132(4):241-50. doi: 10.1161/CIRCULATIONAHA.114.015134. Epub 2015 Jun 25.
10
Atrial Fibrillation Related Coronary Embolism: Diagnosis in the Focus.心房颤动相关性冠状动脉栓塞:聚焦诊断
J Pers Med. 2023 Apr 30;13(5):780. doi: 10.3390/jpm13050780.

引用本文的文献

1
Successful Aspiration Thrombectomy for Cocaine-Induced Right Coronary Artery Embolism Secondary to Left Ventricular Thrombus: A Case Report and Literature Review.成功进行抽吸血栓切除术治疗继发于左心室血栓的可卡因诱导的右冠状动脉栓塞:病例报告及文献综述
Clin Case Rep. 2025 Apr 23;13(5):e70432. doi: 10.1002/ccr3.70432. eCollection 2025 May.
2
Cardiac MRI-detected acute myocardial infarction without coronary obstruction caused by embolism in an atrial fibrillation patient: A case report.心脏磁共振成像检测到的房颤患者因栓塞导致无冠状动脉阻塞的急性心肌梗死:一例报告
Radiol Case Rep. 2025 Mar 8;20(5):2476-2481. doi: 10.1016/j.radcr.2025.02.020. eCollection 2025 May.

本文引用的文献

1
Coronary artery embolism and acute coronary syndrome: A critical appraisal of existing data.冠状动脉栓塞和急性冠状动脉综合征:对现有数据的批判性评价。
Trends Cardiovasc Med. 2024 Jan;34(1):50-56. doi: 10.1016/j.tcm.2022.07.004. Epub 2022 Jul 19.
2
Cardiocerebral Infarction: A Single Institutional Series.脑心梗死:单中心系列。
J Stroke Cerebrovasc Dis. 2021 Jul;30(7):105831. doi: 10.1016/j.jstrokecerebrovasdis.2021.105831. Epub 2021 Apr 30.
3
Fourth universal definition of myocardial infarction (2018).心肌梗死的第四次全球定义(2018年)。
Eur Heart J. 2019 Jan 14;40(3):237-269. doi: 10.1093/eurheartj/ehy462.
4
Coronary Embolus: An Underappreciated Cause of Acute Coronary Syndromes.冠状动脉栓子:急性冠状动脉综合征的一个被低估的病因。
JACC Cardiovasc Interv. 2018 Jan 22;11(2):172-180. doi: 10.1016/j.jcin.2017.08.057.
5
Coronary Embolism Among ST-Segment-Elevation Myocardial Infarction Patients: Mechanisms and Management.ST 段抬高型心肌梗死患者中的冠状动脉栓塞:机制与处理。
Circ Cardiovasc Interv. 2018 Jan;11(1):e005587. doi: 10.1161/CIRCINTERVENTIONS.117.005587.
6
Extracranial Systemic Embolic Events in Patients With Nonvalvular Atrial Fibrillation: Incidence, Risk Factors, and Outcomes.非瓣膜性心房颤动患者的颅外系统栓塞事件:发生率、危险因素和结局。
Circulation. 2015 Sep 1;132(9):796-803. doi: 10.1161/CIRCULATIONAHA.114.013243. Epub 2015 Jul 29.
7
Prevalence, Clinical Features, and Prognosis of Acute Myocardial Infarction Attributable to Coronary Artery Embolism.冠状动脉栓塞所致急性心肌梗死的患病率、临床特征和预后。
Circulation. 2015 Jul 28;132(4):241-50. doi: 10.1161/CIRCULATIONAHA.114.015134. Epub 2015 Jun 25.
8
Atrial fibrillation and the risk of myocardial infarction.心房颤动与心肌梗死风险。
JAMA Intern Med. 2014 Jan;174(1):107-14. doi: 10.1001/jamainternmed.2013.11912.
9
Plaque rupture and morphological characteristics of the culprit lesion in acute coronary syndromes without significant angiographic lesion: analysis by intravascular ultrasound.急性冠状动脉综合征中无明显血管造影病变的罪犯病变的斑块破裂及形态学特征:血管内超声分析
Ann Cardiol Angeiol (Paris). 2012 Feb;61(1):20-6. doi: 10.1016/j.ancard.2011.07.011. Epub 2011 Aug 22.
10
Mechanisms of myocardial infarction in women without angiographically obstructive coronary artery disease.女性非血管造影阻塞性冠状动脉疾病性心肌梗死的发病机制。
Circulation. 2011 Sep 27;124(13):1414-25. doi: 10.1161/CIRCULATIONAHA.111.026542. Epub 2011 Sep 6.