Suppr超能文献

荧光原位杂交技术检测到胶质母细胞瘤中 EGFR/CEP7 高多倍体与 EGFR 扩增是相互独立且不同的。

EGFR/CEP7 high polysomy is separate and distinct from EGFR amplification in glioblastoma as determined by fluorescence in situ hybridization.

机构信息

Institute for Experimental Pathology, ARUP Laboratories, Salt Lake City, Utah, USA.

Department of Pathology, University of Utah and ARUP Laboratories, Salt Lake City, Utah, USA.

出版信息

J Neuropathol Exp Neurol. 2024 Apr 19;83(5):338-344. doi: 10.1093/jnen/nlae028.

Abstract

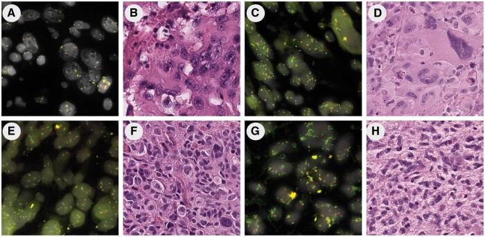
EGFR amplification in gliomas is commonly defined by an EGFR/CEP7 ratio of ≥2. In testing performed at a major reference laboratory, a small subset of patients had ≥5 copies of both EGFR and CEP7 yet were not amplified by the EGFR/CEP7 ratio and were designated high polysomy cases. To determine whether these tumors are more closely related to traditionally defined EGFR-amplified or nonamplified gliomas, a retrospective search identified 22 out of 1143 (1.9%) gliomas with an average of ≥5 copies/cell of EGFR and CEP7 with an EGFR/CEP7 ratio of <2 displaying high polysomy. Of these cases, 4 had insufficient clinicopathologic data to include in additional analysis, 15 were glioblastomas, 2 were IDH-mutant astrocytomas, and 1 was a high-grade glial neoplasm, NOS. Next-generation sequencing available on 3 cases demonstrated one with a TERT promoter mutation, TP53 mutations in all cases, and no EGFR mutations or amplifications, which most closely matched the nonamplified cases. The median overall survival times were 42.86, 66.07, and 41.14 weeks for amplified, highly polysomic, and nonamplified, respectively, and were not significantly different (p =  0.3410). High chromosome 7 polysomic gliomas are rare but our data suggest that they may be biologically similar to nonamplified gliomas.

摘要

在神经胶质瘤中,EGFR 扩增通常通过 EGFR/CEP7 比值≥2 来定义。在一家主要参考实验室进行的检测中,一小部分患者的 EGFR 和 CEP7 均有≥5 个拷贝,但 EGFR/CEP7 比值未扩增,被指定为高多倍体病例。为了确定这些肿瘤与传统定义的 EGFR 扩增或非扩增神经胶质瘤的关系更密切,通过回顾性搜索,在 1143 例神经胶质瘤中确定了 22 例(1.9%),这些肿瘤的平均 EGFR 和 CEP7 拷贝数≥5/细胞,EGFR/CEP7 比值<2,但显示高多倍体。在这些病例中,有 4 例由于临床病理数据不足而无法纳入进一步分析,有 15 例为胶质母细胞瘤,2 例为 IDH 突变星形细胞瘤,1 例为高级别神经胶质瘤,NOS。对 3 例进行的下一代测序显示,1 例存在 TERT 启动子突变,所有病例均存在 TP53 突变,无 EGFR 突变或扩增,与非扩增病例最为匹配。扩增组、高多倍体组和非扩增组的总生存期中位数分别为 42.86、66.07 和 41.14 周,差异无统计学意义(p=0.3410)。高染色体 7 多倍体神经胶质瘤很少见,但我们的数据表明它们可能在生物学上与非扩增神经胶质瘤相似。

https://cdn.ncbi.nlm.nih.gov/pmc/blobs/a0d1/11029461/d90ab29fda95/nlae028f1.jpg

文献AI研究员

20分钟写一篇综述,助力文献阅读效率提升50倍。

立即体验

用中文搜PubMed

大模型驱动的PubMed中文搜索引擎

马上搜索

文档翻译

学术文献翻译模型,支持多种主流文档格式。

立即体验