Suppr超能文献

3T 和 7T 磁共振成像在直接可视化手指屈肌腱滑车破裂中的比较:一项离体研究。

Comparison of 3T and 7T magnetic resonance imaging for direct visualization of finger flexor pulley rupture: an ex-vivo study.

机构信息

Institue of Radiology, Universitätsklinikum & Friedrich-Alexander-Universität Erlangen-Nürnberg (FAU), Erlangen, Germany.

Klinikum Fürth, Institute of Neuroradiology and Radiology, Fürth, Germany.

出版信息

Skeletal Radiol. 2024 Nov;53(11):2469-2476. doi: 10.1007/s00256-024-04671-x. Epub 2024 Apr 12.

Abstract

OBJECTIVE

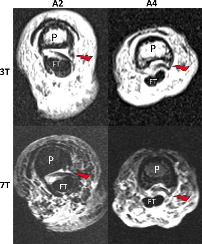
To compare image quality and diagnostic performance of 3T and 7T magnetic resonance imaging (MRI) for direct depiction of finger flexor pulleys A2, A3 and A4 before and after artificial pulley rupture in an ex-vivo model using anatomic preparation as reference.

MATERIALS AND METHODS

30 fingers from 10 human cadavers were examined at 3T and 7T before and after being subjected to iatrogenic pulley rupture. MRI protocols were comparable in duration, both lasting less than 22 min. Two experienced radiologists evaluated the MRIs. Image quality was graded according to a 4-point Likert scale. Anatomic preparation was used as gold standard.

RESULTS

In comparison, 7T versus 3T had a sensitivity and specificity for the detection of A2, A3 and A4 pulley lesions with 100% vs. 95%, respectively 98% vs. 100%. In the assessment of A3 pulley lesions sensitivity of 7T was superior to 3T MRI (100% vs. 83%), whereas specificity was lower (95% vs. 100%). Image quality assessed before and after iatrogenic rupture was comparable with 2.74 for 7T and 2.61 for 3T. Visualization of the A3 finger flexor pulley before rupture creation was significantly better for 7 T (p < 0.001). Interobserver variability showed substantial agreement at 3T (κ = 0.80) and almost perfect agreement at 7T (κ = 0.90).

CONCLUSION

MRI at 3T allows a comparable diagnostic performance to 7T for direct visualization and characterization of finger flexor pulleys before and after rupture, with superiority of 7T MRI in the visualization of the normal A3 pulley.

摘要

目的

比较 3T 和 7T 磁共振成像(MRI)在人工滑车破裂前后直接显示手指屈肌滑车 A2、A3 和 A4 的图像质量和诊断性能,以解剖准备为参考的离体模型。

材料和方法

10 具人体尸体的 30 个手指在 3T 和 7T 下进行检查,然后进行医源性滑车破裂。MRI 方案的持续时间相似,均少于 22 分钟。两位经验丰富的放射科医生对 MRI 进行了评估。根据 4 分李克特量表对图像质量进行分级。解剖准备用作金标准。

结果

相比之下,7T 与 3T 对 A2、A3 和 A4 滑车病变的检测具有 100%与 95%的敏感性和特异性,98%与 100%的特异性。在评估 A3 滑车病变时,7T 的敏感性优于 3T MRI(100%比 83%),但特异性较低(95%比 100%)。在人工破裂前后,7T 的图像质量评分为 2.74,3T 为 2.61。在破裂前,7T 可更好地显示 A3 手指屈肌滑车(p<0.001)。在 3T 下,观察者间变异性具有显著一致性(κ=0.80),在 7T 下具有几乎完美的一致性(κ=0.90)。

结论

3T MRI 可与 7T 相媲美,用于直接显示和描绘破裂前后手指屈肌滑车,7T MRI 在正常 A3 滑车的显示方面具有优势。

https://cdn.ncbi.nlm.nih.gov/pmc/blobs/22dc/11410841/4b79614db1af/256_2024_4671_Fig1_HTML.jpg

文献AI研究员

20分钟写一篇综述,助力文献阅读效率提升50倍。

立即体验

用中文搜PubMed

大模型驱动的PubMed中文搜索引擎

马上搜索

文档翻译

学术文献翻译模型,支持多种主流文档格式。

立即体验