Suppr超能文献

手部皮肤结核的管理——罕见且致残:一例报告

Management of cutaneous tuberculosis in hand - Rare and disabling: A case report.

作者信息

Soedjana Hardisiswo, Riestiano Betha Egih, Hasibuan Lisa Y, Harianti Selvy

机构信息

Division of Plastic Reconstructive and Aesthetic Surgery, Department of Surgery, Faculty of Medicine, Universitas Padjadjaran, Bandung, Indonesia.

Division of Plastic Reconstructive and Aesthetic Surgery, Department of Surgery, Faculty of Medicine, Universitas Padjadjaran, Bandung, Indonesia.

出版信息

Int J Surg Case Rep. 2024 May;118:109631. doi: 10.1016/j.ijscr.2024.109631. Epub 2024 Apr 5.

Abstract

INTRODUCTION AND IMPORTANCE

Cutaneous Tuberculosis (CTB), elicited by the Mycobacterium tuberculosis complex, manifests dermatologically. The scarcity of bacilli within CTB lesions renders their detection challenging. This study presents a case of CTB, underscoring its rarity and the potential for severe complications that can deteriorate patient quality of life. It aims to highlight the importance of CTB identification in dermatological diagnoses due to its capacity to cause considerable morbidity and affect patients' psychosocial health.

CASE PRESENTATION

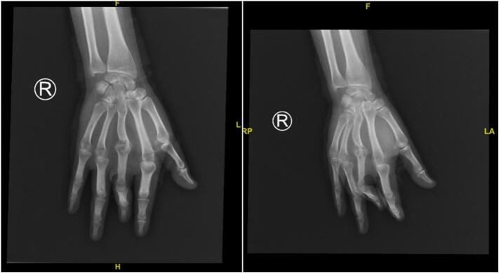
An 18-year-old patient presented with a painful, well-defined reddish plaque on the right palm, originating five years prior, accompanied by contractures of the middle finger. The tender lesion, characterized by an irregular surface, exhibited purulent discharge upon light touch through fissures along its periphery. Management involved necrotomy, debridement, and tissue biopsy for diagnostic and reconstructive purposes.

CLINICAL DISCUSSION

CTB exhibits a wide range of clinical presentations, often resembling other dermatological infections, which complicates its diagnosis. Accurate diagnosis necessitates an integrated approach involving clinical assessment, the tuberculin skin test, histopathological analysis, and bacteriological investigations. The therapeutic regimen includes multidrug anti-tuberculosis treatment, with surgical intervention reserved for specific cases.

CONCLUSION

Long-term complications of untreated CTB encompass significant contractures, scarring, and the onset of carcinomas and sarcomas. Prompt diagnosis facilitates timely and effective treatment, averting these sequelae and yielding high patient satisfaction.

摘要

引言与重要性

由结核分枝杆菌复合群引起的皮肤结核(CTB)在皮肤方面表现出症状。CTB病变中杆菌数量稀少,使得其检测具有挑战性。本研究报告了一例CTB病例,强调了其罕见性以及可能导致严重并发症,进而降低患者生活质量。旨在突出CTB在皮肤病诊断中的重要性,因为它能够导致相当大的发病率并影响患者的心理社会健康。

病例介绍

一名18岁患者右手掌出现一个疼痛、边界清晰的红色斑块,始于五年前,伴有中指挛缩。这个触痛的病变表面不规则,沿周边裂隙轻触时有脓性分泌物。治疗包括坏死组织切除、清创以及为诊断和重建目的进行的组织活检。

临床讨论

CTB表现出广泛的临床症状,常常类似于其他皮肤感染,这使其诊断变得复杂。准确诊断需要综合临床评估、结核菌素皮肤试验、组织病理学分析和细菌学检查等方法。治疗方案包括多药抗结核治疗,特定情况下可进行手术干预。

结论

未经治疗的CTB的长期并发症包括严重挛缩、瘢痕形成以及癌和肉瘤的发生。及时诊断有助于及时有效的治疗,避免这些后遗症并获得较高的患者满意度。

https://cdn.ncbi.nlm.nih.gov/pmc/blobs/379f/11017280/4bffbb156369/gr2.jpg

文献AI研究员

20分钟写一篇综述,助力文献阅读效率提升50倍。

立即体验

用中文搜PubMed

大模型驱动的PubMed中文搜索引擎

马上搜索

文档翻译

学术文献翻译模型,支持多种主流文档格式。

立即体验