Suppr超能文献

缺血性病因导致的无治疗性粥样硬化性冠状动脉疾病的左心室游离壁破裂:病例系列。

Left ventricular free wall rupture caused by myocardial ischemia without treatable atherosclerotic coronary disease: a case series.

机构信息

Department of Cardiac and Cardiovascular Surgery, Philipps University of Marburg, Baldingerstrasse 1, 35041, Marburg, Germany.

School of Medicine, Philipps University of Marburg, Marburg, Germany.

出版信息

J Cardiothorac Surg. 2024 Apr 12;19(1):202. doi: 10.1186/s13019-024-02690-2.

Abstract

BACKGROUND

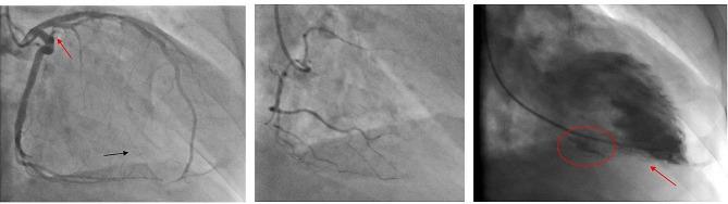
The clinical presentation of left ventricular free wall rupture (LVFWR) varies ranging from uneventful condition to congestive heart failure. Here we report two cases of LVFWR with different clinical presentation and notable outcome. A 53-year-old male presenting emergently with signs of myocardial infarction received immediate coronary angiography and thoracic CT-scan showing occlusion of the first marginal coronary branch without possibility of revascularization and minimal pericardial extravasation. Under ICU surveillance, LVFWR occurred 24 h later and was treated by pericardiocentesis and ECMO support followed by immediate uncomplicated surgical repair. Postoperative therapy-refractory vasoplegia and electromechanical dissociation caused fulminant deterioration and the early death of the patient. The second case is a 76-year old male brought to the emergency room after sudden syncope, clinical sings of pericardial tamponade and suspicion of a type A acute aortic dissection. Immediate CT-angiography excluded aortic dissection and revealed massive pericardial effusion and a hypoperfused myocardial area on the territory of the first marginal branch. Immediate sternotomy under mechanical resuscitation enabled removal of the massive intrapericardial clot and revealed LVFWR. After an uncomplicated surgical repair, an uneventful postoperative course, the patient was discharged with sinus rhythm and good biventricular function. One year after the operation, he is living at home, symptom free.

DISCUSSION

Whereas the younger patient, who was clinically stable at hospital admission received delayed surgery and did not survive treatment, the older patient, clinically unstable at presentation, went into immediate surgery and had a flawless postoperative course. Thus, early surgical repair of LVFWR leads to best outcome and treating LVFWR as a high emergency regardless of the symptoms improve survival.

摘要

背景

左心室游离壁破裂(LVFWR)的临床表现多种多样,从无症状到充血性心力衰竭不等。在这里,我们报告了两例具有不同临床表现和显著结局的 LVFWR 病例。一名 53 岁男性因心肌梗死的迹象紧急就诊,立即进行了冠状动脉造影和胸部 CT 扫描,显示第一边缘冠状动脉分支闭塞,无法再通,心包积血量较少。在 ICU 监测下,24 小时后发生 LVFWR,并进行了心包穿刺和 ECMO 支持,随后立即进行了简单的手术修复。术后治疗性血管扩张和电机械分离导致病情迅速恶化,患者早期死亡。第二例是一名 76 岁男性,突发晕厥后被送往急诊室,临床征象为心包填塞,怀疑为急性 A 型主动脉夹层。立即进行 CT 血管造影排除了主动脉夹层,并显示大量心包积液和第一边缘支供血区的低灌注心肌区域。在机械复苏下立即进行胸骨切开术,可清除大量心包积血,并发现 LVFWR。在进行了简单的手术后,患者术后恢复顺利,窦性节律和双心室功能良好。术后一年,他在家中生活,无任何症状。

讨论

尽管年轻患者在入院时临床稳定,但接受了延迟手术,未能幸存治疗,而老年患者在就诊时临床不稳定,立即进行了手术,术后恢复顺利。因此,早期手术修复 LVFWR 可获得最佳结果,并将 LVFWR 视为高度紧急情况,无论症状是否改善,均可提高生存率。

https://cdn.ncbi.nlm.nih.gov/pmc/blobs/3dd7/11010315/a269e89978dc/13019_2024_2690_Fig1_HTML.jpg

文献AI研究员

20分钟写一篇综述,助力文献阅读效率提升50倍。

立即体验

用中文搜PubMed

大模型驱动的PubMed中文搜索引擎

马上搜索

文档翻译

学术文献翻译模型,支持多种主流文档格式。

立即体验