• 文献检索
  • 文档翻译
  • 深度研究
  • 学术资讯
  • Suppr Zotero 插件Zotero 插件
  • 邀请有礼
  • 套餐&价格
  • 历史记录
应用&插件
Suppr Zotero 插件Zotero 插件浏览器插件Mac 客户端Windows 客户端微信小程序
定价
高级版会员购买积分包购买API积分包
服务
文献检索文档翻译深度研究API 文档MCP 服务
关于我们
关于 Suppr公司介绍联系我们用户协议隐私条款
关注我们

Suppr 超能文献

核心技术专利:CN118964589B侵权必究
粤ICP备2023148730 号-1Suppr @ 2026

文献检索

告别复杂PubMed语法,用中文像聊天一样搜索,搜遍4000万医学文献。AI智能推荐,让科研检索更轻松。

立即免费搜索

文件翻译

保留排版,准确专业,支持PDF/Word/PPT等文件格式,支持 12+语言互译。

免费翻译文档

深度研究

AI帮你快速写综述,25分钟生成高质量综述,智能提取关键信息,辅助科研写作。

立即免费体验

干式熟成牛肉分离物对牛肉肌浆蛋白的水解作用及其相关代谢途径。

Hydrolysis of Beef Sarcoplasmic Protein by Dry-Aged Beef-Isolated and Its Associated Metabolic Pathways.

作者信息

Liu Yujia, Sun Depeng, Peng Anqi, Li Tingyu, Li Hongmei, Mu Baide, Wang Juan, Cui Mingxun, Piao Chunxiang, Li Guanhao

机构信息

Key Innovation Laboratory for Deep and Intensive Processing of Yanbian High Quality Beef, Ministry of Agriculture and Rural Affairs, Yanji 133002, China.

College of Agriculture, Yanbian University, Yanji 133002, China.

出版信息

Foods. 2024 Mar 28;13(7):1038. doi: 10.3390/foods13071038.

DOI:10.3390/foods13071038
PMID:38611344
原文链接:https://pmc.ncbi.nlm.nih.gov/articles/PMC11011836/
Abstract

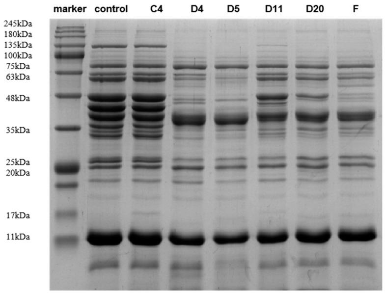
Yanbian cattle have a unique meat flavor, and high-grade meat is in short supply. Therefore, in this study, we aimed to improve the added value of Yanbian cattle low-fat meat and provide a theoretical reference for the subsequent development of an excellent starter. Rump meat from Yanbian cattle was dry-aged and then screened for protease-producing fungi. Three protease-producing fungi ( (D4 and D11), (D5), and (D20)) were isolated from 40 d dry-aged beef samples, and their ability to hydrolyze proteins was determined using bovine sarcoplasmic protein extract. SDS-PAGE showed that the ability of (D5) to degrade proteins was stronger than the other two fungi. In addition, the volatile component content of sarcoplasmic proteins in the D5 group was the highest (45.47%) and comprised the most species (26 types). Metabolic pathway analysis of the fermentation broth showed that phenylalanine, tyrosine, and tryptophan biosynthesis was the most closely related metabolic pathway in sarcoplasmic protein fermentation by (D5). Dry-aged beef-isolated serves as a potential starter culture for the fermentation of meat products.

摘要

延边黄牛具有独特的肉香味,高档牛肉供不应求。因此,在本研究中,我们旨在提高延边黄牛低脂肉的附加值,并为后续开发优良发酵剂提供理论参考。对延边黄牛的臀肉进行干腌,然后筛选产蛋白酶的真菌。从40天干腌牛肉样品中分离出三种产蛋白酶的真菌((D4和D11)、(D5)和(D20)),并使用牛肌浆蛋白提取物测定它们水解蛋白质的能力。SDS-PAGE显示,(D5)降解蛋白质的能力强于其他两种真菌。此外,D5组肌浆蛋白中的挥发性成分含量最高(45.47%),种类最多(26种)。发酵液的代谢途径分析表明,苯丙氨酸、酪氨酸和色氨酸生物合成是(D5)发酵肌浆蛋白时最密切相关的代谢途径。从干腌牛肉中分离出的(该词原文未完整给出)可作为肉类产品发酵的潜在发酵剂。

https://cdn.ncbi.nlm.nih.gov/pmc/blobs/7339/11011836/51c4d2768c5f/foods-13-01038-g007.jpg
https://cdn.ncbi.nlm.nih.gov/pmc/blobs/7339/11011836/384ef7fe0ada/foods-13-01038-g001.jpg
https://cdn.ncbi.nlm.nih.gov/pmc/blobs/7339/11011836/7da2de020917/foods-13-01038-g002.jpg
https://cdn.ncbi.nlm.nih.gov/pmc/blobs/7339/11011836/ac86c696d5ce/foods-13-01038-g003.jpg
https://cdn.ncbi.nlm.nih.gov/pmc/blobs/7339/11011836/d9cfb0f81f8d/foods-13-01038-g004.jpg
https://cdn.ncbi.nlm.nih.gov/pmc/blobs/7339/11011836/6580d8609e16/foods-13-01038-g005.jpg
https://cdn.ncbi.nlm.nih.gov/pmc/blobs/7339/11011836/deec1f721fd8/foods-13-01038-g006.jpg
https://cdn.ncbi.nlm.nih.gov/pmc/blobs/7339/11011836/51c4d2768c5f/foods-13-01038-g007.jpg
https://cdn.ncbi.nlm.nih.gov/pmc/blobs/7339/11011836/384ef7fe0ada/foods-13-01038-g001.jpg
https://cdn.ncbi.nlm.nih.gov/pmc/blobs/7339/11011836/7da2de020917/foods-13-01038-g002.jpg
https://cdn.ncbi.nlm.nih.gov/pmc/blobs/7339/11011836/ac86c696d5ce/foods-13-01038-g003.jpg
https://cdn.ncbi.nlm.nih.gov/pmc/blobs/7339/11011836/d9cfb0f81f8d/foods-13-01038-g004.jpg
https://cdn.ncbi.nlm.nih.gov/pmc/blobs/7339/11011836/6580d8609e16/foods-13-01038-g005.jpg
https://cdn.ncbi.nlm.nih.gov/pmc/blobs/7339/11011836/deec1f721fd8/foods-13-01038-g006.jpg
https://cdn.ncbi.nlm.nih.gov/pmc/blobs/7339/11011836/51c4d2768c5f/foods-13-01038-g007.jpg

相似文献

1
Hydrolysis of Beef Sarcoplasmic Protein by Dry-Aged Beef-Isolated and Its Associated Metabolic Pathways.干式熟成牛肉分离物对牛肉肌浆蛋白的水解作用及其相关代谢途径。
Foods. 2024 Mar 28;13(7):1038. doi: 10.3390/foods13071038.
2
Effect of Penicillium candidum and Penicillium nalgiovense and their combination on the physicochemical and sensory quality of dry-aged beef.白地霉和纳吉奥青霉及其组合对干腌牛肉理化和感官品质的影响。
Food Microbiol. 2022 Oct;107:104083. doi: 10.1016/j.fm.2022.104083. Epub 2022 Jun 22.
3
Identification of Microorganisms Associated with the Quality Improvement of Dry-Aged Beef Through Microbiome Analysis and DNA Sequencing, and Evaluation of Their Effects on Beef Quality.通过宏基因组分析和 DNA 测序鉴定与干制牛肉品质改善相关的微生物,并评估它们对牛肉品质的影响。
J Food Sci. 2019 Oct;84(10):2944-2954. doi: 10.1111/1750-3841.14813. Epub 2019 Sep 25.
4
Novel Transcription Factor CXRD Regulates Cellulase and Xylanase Biosynthesis in under Solid-State Fermentation.新型转录因子 CXRD 调控固态发酵中纤维素酶和木聚糖酶的生物合成。
Appl Environ Microbiol. 2023 Jun 28;89(6):e0036023. doi: 10.1128/aem.00360-23. Epub 2023 May 16.
5
Cellulase with high β-glucosidase activity by Penicillium oxalicum under solid state fermentation and its use in hydrolysis of cassava residue.草酸青霉固态发酵产高β-葡萄糖苷酶活性纤维素酶及其在木薯渣水解中的应用
World J Microbiol Biotechnol. 2017 Feb;33(2):37. doi: 10.1007/s11274-016-2200-7. Epub 2017 Jan 24.
6
Evidence of gushing induction by Penicillium oxalicum proteins.草酸青霉蛋白质引发喷涌的证据。
J Appl Microbiol. 2017 Mar;122(3):708-718. doi: 10.1111/jam.13366. Epub 2017 Jan 23.
7
Diversity and Characteristics of the Meat Microbiological Community on Dry Aged Beef.干式熟成牛肉的肉微生物群落的多样性与特征
J Microbiol Biotechnol. 2018 Jan 28;28(1):105-108. doi: 10.4014/jmb.1708.08065.
8
Widely Targeted Metabolomic Analysis Reveals Dynamic Metabolic Changes in Yanbian Cattle during Dry-Aging Process.广泛靶向代谢组学分析揭示延边黄牛干腌过程中的动态代谢变化。
Foods. 2024 Sep 11;13(18):2879. doi: 10.3390/foods13182879.
9
A Novel Chitosanase from Penicillium oxalicum M2 for Chitooligosaccharide Production: Purification, Identification and Characterization.一株草酸青霉来源的壳聚糖酶用于壳寡糖生产:酶的纯化、鉴定和性质研究。
Mol Biotechnol. 2022 Sep;64(9):947-957. doi: 10.1007/s12033-022-00461-9. Epub 2022 Mar 9.
10
Combined effects of Penicillium oxalicum and tricalcium phosphate on lead immobilization: Performance, mechanisms and stabilities.草酸青霉和磷酸三钙对铅的固定化的联合效应:性能、机制和稳定性。
Ecotoxicol Environ Saf. 2021 Dec 20;227:112880. doi: 10.1016/j.ecoenv.2021.112880. Epub 2021 Oct 13.

引用本文的文献

1
Widely Targeted Metabolomic Analysis Reveals Dynamic Metabolic Changes in Yanbian Cattle during Dry-Aging Process.广泛靶向代谢组学分析揭示延边黄牛干腌过程中的动态代谢变化。
Foods. 2024 Sep 11;13(18):2879. doi: 10.3390/foods13182879.

本文引用的文献

1
Isolation and characterization of coagulase negative staphylococci with high proteolytic activity from dry fermented sausages as a potential starter culture.从干发酵香肠中分离和鉴定具有高蛋白水解活性的凝固酶阴性葡萄球菌作为潜在的发酵剂。
Food Res Int. 2022 Dec;162(Pt A):111957. doi: 10.1016/j.foodres.2022.111957. Epub 2022 Sep 22.
2
Effect of Penicillium candidum and Penicillium nalgiovense and their combination on the physicochemical and sensory quality of dry-aged beef.白地霉和纳吉奥青霉及其组合对干腌牛肉理化和感官品质的影响。
Food Microbiol. 2022 Oct;107:104083. doi: 10.1016/j.fm.2022.104083. Epub 2022 Jun 22.
3
Characterizing the Flavor Precursors and Liberation Mechanisms of Various Dry-Aging Methods in Cull Beef Loins Using Metabolomics and Microbiome Approaches.
运用代谢组学和微生物组学方法表征淘汰牛腰肉中各种干式熟成方法的风味前体物质及释放机制
Metabolites. 2022 May 24;12(6):472. doi: 10.3390/metabo12060472.
4
Improving the Flavor of Fermented Sausage by Increasing Its Bacterial Quality via Inoculation with MSZ2 and YCC3.通过接种MSZ2和YCC3提高细菌质量来改善发酵香肠的风味
Foods. 2022 Mar 2;11(5):736. doi: 10.3390/foods11050736.
5
Dry-aging of beef as a tool to improve meat quality. Impact of processing conditions on the technical and organoleptic meat properties.牛肉干腌熟成作为改善肉质的一种手段。加工条件对牛肉的技术和感官特性的影响。
Adv Food Nutr Res. 2021;95:97-130. doi: 10.1016/bs.afnr.2020.10.001. Epub 2021 Feb 27.
6
Dry-aged beef manufactured in Japan: Microbiota identification and their effects on product characteristics.日本干式熟成牛肉:微生物组鉴定及其对产品特性的影响。
Food Res Int. 2021 Feb;140:110020. doi: 10.1016/j.foodres.2020.110020. Epub 2020 Dec 17.
7
Phenylhydrazone and Quinazoline Derivatives from the Cold-Seep-Derived Fungus .冷泉源真菌中的苯腙和喹唑啉衍生物。
Mar Drugs. 2020 Dec 28;19(1):9. doi: 10.3390/md19010009.
8
Proximate Composition, Amino Acid Profile, and Oxidative Stability of Slow-Growing Indigenous Chickens Compared with Commercial Broiler Chickens.与商业肉鸡相比,慢速生长本地鸡的近似成分、氨基酸谱和氧化稳定性
Foods. 2020 May 1;9(5):546. doi: 10.3390/foods9050546.
9
Identification of Microorganisms Associated with the Quality Improvement of Dry-Aged Beef Through Microbiome Analysis and DNA Sequencing, and Evaluation of Their Effects on Beef Quality.通过宏基因组分析和 DNA 测序鉴定与干制牛肉品质改善相关的微生物,并评估它们对牛肉品质的影响。
J Food Sci. 2019 Oct;84(10):2944-2954. doi: 10.1111/1750-3841.14813. Epub 2019 Sep 25.
10
Effect of NaCl substitutes on the physical, microbial and sensory characteristics of Harbin dry sausage.NaCl 替代品对哈尔滨干肠物理特性、微生物特性和感官特性的影响。
Meat Sci. 2019 Oct;156:205-213. doi: 10.1016/j.meatsci.2019.05.035. Epub 2019 Jun 3.